Кровь – это ткань в жидком состоянии. Жидкое физическое состояние не умаляет ее качеств как полноценного органа человека. Она столь же значима как нервная, мышечная и костная ткани. Кровоток состоит из вещества, соединяющего клетки, – плазмы и других компонентов. По эволюционным законам эти стволовые клетки преобразовывались, утрачивая отличительные признаки.
Неизменившиеся составные кровотока могут оставаться в изначальном виде на протяжении всей жизни организма.
К трансформирующимся компонентам, которые по законам существования и развития человеческого тела потеряли клеточные признаки, причисляются эритроциты. Именно на них возлагается главнейшая функция – доставка ко всем тканям и органам кислорода с углекислым газом. Поскольку у эритроцитов отсутствует ядро, они не являются клетками.
Определение количества
Стоит еще раз подчеркнуть, что в норме нормобласты должны в крови отсутствовать, то есть говорить о каком-то количественном показателе здесь не приходится. Он должен равняться нулю. Однако помните, что исключением из этого правила являются новорожденные дети.
Такие клетки в крови у ребенка в первые дни жизни обнаруживаются запросто, и пугаться здесь не стоит. Дело в том, что причины такого появления кроются в усиленной продукции эритропоэтина в период первых дней жизни. Это приводит к тому, что красные клетки крови и гемоглобин растут в количестве. Новорожденному потребуется порядка нескольких дней для снижения таких показателей.
Нормобласты в крови обнаруживаются у детей в период между вторым и третьим месяцами жизни. Причины все те же – усиленный эритропоэтин. Педиатр вас, скорее всего, успокоит при получении такого анализа, поскольку это физиологическая норма.
После нескольких таких всплесков бласты станут сокращаться в анализе ребенка. За достаточно быстрое время их количество приблизиться к показателю взрослого человека, соответственно, нормобласты станут аномалией для ребенка, обнаружение их станет возможным только в миелограмме.
Именно из-за такого отсутствия в крови многие не придают должного значения данному компоненту своего организма. Дело в том, что такие клетки появляются в анализе только в силу наличия патологии. При этом всегда патологии связаны в той или иной степени с работой костного мозга.
Название нормобласт большинство врачей в настоящее время не используют из-за некоторой неверной интерпретации. Молодой врач может употребить слово нормоцит, однако означать это будет то же самое.
Как правило, лейкоз делится на два вида. Это распространенный лейкоз и острый лейкоз. Подобное разделение зависит не только от клинического прохождения, но и в связи с параметрами опухоли в клеточном составе. Также отличаются характеристики анализа крови. Врачами острый лейкоз характеризируется как некое образование, где молодые клетки это основа клеточного слоя.
Когда уже случай довольно развитый, в кровяной системе выделяются определенные клетки развивающего типа и определенное количество довольно зрелых компонентов. Врачи наименуют данную принадлежность «провалом лейкемии», когда клетки не могут перейти из одной формы в другую. А в анализе заболевшего нет эозинофилов и базофилов.
Если различные параметры моментально начинают изменяться в анализе крови, значит, образовались тромбоциты. Если заболевший имеет мегакариобластной лейкоз, следовательно, тромбоциты в значимой форме превышают текущую норму. В случае критического лейкемического лейкоза для того, чтобы правильно определить состав крови применяют способ лейкоконцентрации. Он, как правило, базируется на седиментации определенных форменных компонентов.
Возможные причины
Заболевание характеризуется стремительным спадом числа эритроцитов в крови, что губительно, поскольку возникает кислородное голодание в органах и тканях. Раковыми заболеваниями и лейкозом страдают люди, которые подвергались радиоактивному воздействию на ядерных испытаниях, техногенных катастрофах. Еще причиной могут стать бензол, пестициды и мн. др. Лечение таких болезней проводится химиотерапией, другие варианты облегчения состояния не дают должного эффекта.
Эритроциты
Что представляют собой нормобласты?
Бластные клетки – это промежуточная форма эритроцитов (красных кровяных телец), отвечающих за насыщение тканей тела кислородом, а также выведение из организма углекислого газа. Данные вещества формируются, как и все форменные элементы крови, в костном мозге. Иссиня-фиолетовые клетки на данном этапе развития активно обогащаются гемоглобином, который провоцирует уменьшение ядра. Когда оно полностью растворится, нормобласты приобретут более миниатюрные размеры и преобразуются в ретикулоциты розоватого оттенка.

Они, в свою очередь, покидают свою обитель, поступая непосредственно в кровоток, где на протяжении 1–3 дней избавляются от ненужных органоидов (митохондрий, эндоплазматической сети). Ретикулоциты уже могут осуществлять перенос кислорода, однако их функциональность значительно повышается после полноценного превращения в эритроциты двояковогнутой формы.
Нередко специалисты при расшифровке показателей упоминают нормоциты или бластоциты. Необходимо запомнить, что эти термины являются медицинской интерпретацией нормобластов.
Если уровень содержания бластов в крови достаточно повышен, организм может быть поражен следующими заболеваниями:
- остеосаркома;
- патология Ди Гульермо;
- острый эритролейкоз;
- миелобластная анемия;
- рак костного мозга;
- глиобластома;
- множественные метастазы;
- лимфобластный лейкоз;
- талассемия;
- гепатома;
- экстрамедуллярное кроветворение;
- мегалобластическое малокровие;
- гипопластическая анемия;
- бронхогенная карцинома.
Иногда причиной появления нормобластов в анализе крови является гемолиз – болезнь, характеризующаяся патологическим разрушением эритроцитов с выделением в кровь гемоглобина. Когда организм человека теряет важнейших переносчиков углекислого газа и кислорода, развивается гипоксия. Для того чтобы избежать необратимых последствий, на помощь иммунной системе костный мозг посылает нормобласты, которые временно замещают своих более зрелых «собратьев».
Нередко количество нормоцитов диагностируется у женщин после обильных менструаций или тяжелых родов, которые повлекли за собой повреждение внутренних органов. Если пациент ранее перенес инфекционное заболевание, в результатах его общего анализа крови, скорее всего, тоже обнаружатся нормоциты.

Снижение числа нормоцитов
Так как наличие нормоцитов в крови – отклонение от нормы, то снижения их числа быть не может. Речь идет о понижении содержания в кровиа эритроцитов, или «последователей» нормобластов. В иных случаях возникает разбавление эритроцитов большим объемом плазмы (неподтвержденное, либо незначительное понижение содержания красных кровяных телец), существует угроза настоящего сбоя синтеза красных телец.
Все вышесказанное – описание и симптомы болезней костномозговой ткани вследствие радиационного воздействия или по причине железодефицита.
Подготовка к диагностике
Анализ крови на РФМК расшифровка
Получив результаты общего анализа, лечащий врач никогда не будет оценивать лишь один его параметр, не обращая внимания на остальные.
Для того чтобы баланс количественного содержания всех форменных элементов крови помимо нормобластов не был искусственно нарушен, следует на протяжении нескольких дней перед диагностикой придерживаться некоторых правил подготовки.
За неделю до процедуры нужно сообщить специалисту перечень принимаемых препаратов, чтобы он мог оценить степень их воздействия на состав крови. Если некоторые медикаменты вызывают нежелательные изменения, их использование временно приостанавливается. За 3–4 дня из рациона изымаются вредные продукты и напитки, особенно фастфуд, алкоголь, маринады, жирная и жареная пища.
Также необходимо на 1–2 дня прекратить спортивные занятия, бег и плавание не являются исключением. Посещать медицинское учреждение следует натощак. Курить перед диагностикой запрещается. Если пациент спешно пришел в клинику, ему обязательно нужно отдышаться, прежде чем заходить в кабинет.
Не рекомендуется накануне забора крови злоупотреблять кондитерскими изделиями – превышение дневной дозировки сладостей влечет за собой ложный результат исследования
Бластные клетки в анализе крови не имеют нормы. В хорошем состоянии организма, когда отсутствуют стрессы и заболевания, стандартным количеством таких элементов в костном мозге будет 1 %. Они постепенно заменяют «отработавшие свое» элементы, и кроветворный орган восполняет эту недостачу, не превышая нормы.
В случае стресса, вирусной или бактериальной инфекции, костный мозг увеличит количество бластных телец до 10%. В исключительных случаях количество может быть немного больше. Любые другие показатели означают отклонения в работе системы.
Если число бластных телец доходит до 20% – это означает, что развивается такое заболевание, как острый лейкоз. Они бывают разных видов и форм, протекают быстро и относятся к раковым заболеваниям. Такое отклонение может проявиться совершенно неожиданно, даже у тех, кто в жизни не болел ничем серьезным.
Что значат бластные клетки в анализе крови, норма которых превышена? На самом деле такие тельца в «незрелом» виде не должны выходить за пределы костного мозга. Туда отправляются полностью сформировавшиеся по предназначению элементы, которые готовы выполнять свою функцию. Если бласты в крови, это свидетельствует о запущенном раке.
Из вышесказанного можно сделать выводы:
- Бластные тельца должны отсутствовать в крови, их нормальное место обитание – костный мозг.
- В обычном состоянии такие элементы не должны превышать 1% от количества крови.
- До 10% бластных телец находится в костном мозге во время острой необходимости (болезни, инфекции).
- Более 20 % в костном мозге и нахождение деформиованных бласт в крови означают наличие острого лейкоза.
Точный диагноз, определяющий наличие лейкоза, можно поставить и до попадания бласт в кровь. Для этого достаточно общего клинического анализа крови, на котором виден уровень эритроцитов и другие сопутствующие показатели.
Своевременная диагностика увеличивает шансы на успешное лечение
Заболеть острым лейкозом может человек, кошка, собака или другое живое существо, имеющее соответствующее строение тела. В любом случае это серьезное раковое заболевание, которое требует немедленного лечения. Шансы на успешный исход зависят от стадии заболевания, состояния и здоровья больного, вида лейкоза.
Анализ крови – главное и первое исследование, которое назначают врачи при поступлении пациента в больницу. Он полно, быстро и дешево выдает объем информации о состоянии больного. Однако такие анализы различны, один из вариантов — исследование на количество бластных телец. Что это, зачем они нужны и какой нормальный уровень в крови? Разберемся!
Кровь – важнейшая жидкость в организме человека. Выполняет множество функций,: от питания до защиты органов от инфекций и бактерий. За каждую «задачу» отвечают клетки крови, например: эритроциты – красные кровяные тельца, доставляют кислород в уголки человеческого тела.
Предшественниками элементов крови являются бласты. Развиваются в спинном мозге и по мере необходимости превращаются в эритроциты, лейкоциты и так далее. Здоровые тельца готовы «преобразиться» во время острых кризисов в больших количествах, появляясь в крови в виде защитных или других клеток.
Острый лейкоз — следствие нарушения в работе кроветворения на сначальных стадиях. В нормальном состоянии бластные клетки превращаются в функциональные клетки крови и выполняют свою миссию. Каждое такое тельце сразу после «появления на свет» имеет свою линию развития. Например: для эритроцитов «производятся» один вид таких клеток, а для лейкоцитов — другой и так далее.
Когда кроветворная система дает сбой, и создание здоровых базовых клеток нарушается, тельца ведут себя по-другому. Они не превращаются в «рабочие» клетки – только потребляют полезные вещества и размножаются. Со временем заменяют здоровые клетки и проникают в кости, разрушая их, не поставляя полезных веществ. Резко снижается количество полезных клеток, падает гемоглобин, тромбоциты и лейкоциты.
Обозначаться могут, например: острый В-лимфобластный лейкоз, что подразумевает сбой в создании бластов на уровне «производства» таких элементов, как В-лимфоциты или острый монобластный лейкоз, который возник при проблемах в создании моноцитов. В зависимости от степени сложности и вида лейкоза прогнозы на излечение пациента разные.
Если число бластных телец доходит до 20% — это означает, что развивается такое заболевание, как острый лейкоз. Они бывают разных видов и форм, протекают быстро и относятся к раковым заболеваниям. Такое отклонение может проявиться совершенно неожиданно, даже у тех, кто в жизни не болел ничем серьезным.
Заболеть острым лейкозом может человек, кошка, собака или другое живое существо, имеющее соответствующее строение тела. В любом случае это серьезное раковое заболевание, которое требует немедленного лечения. Шансы на успешный исход зависят от стадии заболевания, состояния и здоровья больного, вида лейкоза.
Методы лечения
Поскольку острый лейкоз быстро прогрессирующее заболевание, лечение его нужно начинать незамедлительно. Для выполнения терапии больной помещается в специализированный гематологический стационар. В обычных больницах вы не найдете ни соответствующего оборудования, ни персонала с нужными навыками.
Размещаются больные в количестве не более двух человек. В каждой палате присутствует туалет и душ
Очень важно соблюсти нормы вентиляции. Это нужно, чтобы как можно быстрее удалять из воздуха микробные тела
Любые из них могут быть опасны для больного, особенно когда им проходится курс химиотерапии.
Именно она и является главным лечением. С помощью химиотерапии можно избавить человеческий организм от лейкозных клеток посредством их уничтожения. Кроме этого, используются методы дополнительной работы. В зависимости от того, как себя чувствует больной, можно использовать переливание кровяных компонентов, необходимо выполнять профилактические меры для исключения инфекционных осложнений, уменьшать проявление интоксикации.
На сегодняшний день для острого лейкоза применяется двухэтапная схема лечения. Первым этапом является индукция ремиссии. Под такой индукционной терапией понимается именно «химия». На первом этапе врачи предпринимают все возможное, чтобы уничтожить как можно большее количество лейкозных клеток. Это позволяет достичь полной ремиссии.
После того как этот этап пройден, начинается следующий блок химиотерапии. Она обеспечивает отсутствие рецидива. На данном этапе лечения можно использовать три различных подхода:
- консолидацию;
- интенсификацию;
- поддерживающую терапию.
Консолидационное использование возможно после того, как зафиксирована ремиссия полного типа. Проведение должно выполняться по тем программам, которые применялись на первом этапе лечения.
Интенсификацией подразумевается использование химиотерапии с более активным составом, чем применялась на первом этапе. В качестве поддерживающего варианта используются химиотерапевтические препараты, дозы которых куда меньше, в сравнении с первым этапом. Однако действие ее предполагает использование в более длинный временной промежуток.
Кроме обычных методов лечения, можно пользоваться и другими подходами терапевтического значения. Чаще всего предлагается четыре варианта. Это высокодозная химиотерапия, которая предполагает в дальнейшем трансплантацию стволовых клеток кроветворного типа. Можно выполнить трансфузию лимфоцитов донора, провести немиелоаблативную трансплантацию тех же стволовых клеток, что и в первом случае. Также используются последние наработки в области лекарственных препаратов.
β-Фракция содержит трансферрин, гемопексин , компоненты комплемента, Ig и липопротеины (ЛП).
Увеличение фракции β-глобулинов выявляют при первичных и вторичных гиперлипопротеинемиях (ГЛП) (особенно II типа), заболеваниях печени, нефротическом синдроме, кровоточащей язве желудка, гипотиреозе.
Пониженные величины содержания β-глобулинов выявляют при гипо-β-липопротеинемии.
γ-Фракция содержит Ig (IgG, IgA, IgM, IgD, IgE), поэтому повышение содержания γ-глобулинов отмечают при реакции системы иммунитета, когда происходит выработка АТ и аутоантител: при вирусных и бактериальных инфекциях, воспалении, коллагенозах, деструкции тканей и ожогах.
Повышение содержания в крови γ-глобулинов также наблюдают при ревматоидном артрите, СКВ, хроническом лимфолейкозе, эндотелиоме, остеосаркоме, кандидамикозе.
Уменьшение содержания γ-глобулинов бывает первичным и вторичным. Различают три основных вида первичных гипогаммаглобулинемий: физиологическую (у детей в возрасте 3−5 мес), врождённую и идиопатическую. Причинами вторичных гипогаммаглобулинемий могут быть многочисленные заболевания и состояния, приводящие к истощению иммунной системы.
Сопоставление направленности изменений содержания альбуминов и глобулинов с изменениями общего содержания белка даёт основание для заключения, что гиперпротеинемия чаще связана с гиперглобулинемиями, в то время как гипопротеинемия обычно обусловлена гипоальбуминемией.
В последние годы всё больше внимания уделяют определению содержания преальбуминов , особенно у тяжёлых реанимационных больных, находящихся на парентеральном питании. Снижение концентрации преальбуминов — ранний и чувствительный тест белковой недостаточности в организме больного.
1.Острые и хронические воспалительные заболевания (инфекции, диффузные заболевания соединительной ткани, коллагенозы, аутоиммунные заболевания).
2.Подозрение на миеломную болезнь и другие моноклональные гаммапатии.
3.Нарушения питания и синдром мальабсорбции.
4.Скрининговые обследования.
| стадия | описание | СКФ, мл/мин |
| 1 | Признаки нефропатии, нормальная СКФ | {amp}gt; 90 |
| 2 | Признаки нефропатии, легкое снижение СКФ | 60 – 89 |
| 3А | Умеренное снижение СКФ | 45 – 59 |
| 3Б | Выраженное снижение СКФ | 30 – 44 |
| 4 | Тяжелое снижение СКФ | 15 – 29 |
| 5 | Терминальная хроническая почечная недостаточность | {amp}lt; 15 |
Стадии 3—5 соответствуют определению хронической почечной недостаточности (снижение СКФ 60 и менее мл/мин). Стадия 5 соответствует терминальной хронической почечной недостаточности (уремия). Стадии заболевания :1.Полиурическая (стадия компенсации, латентная, доазотемическая) — клинические проявления, связанные с основным заболеванием, а также полиурия,никтурия и изостенурия. 2.
Стадия клинических проявлений (Азотемическая, олигоанурическая) — появление интоксикации: анорексия, неврологические нарушения (головная боль,апатия, снижение зрения, бессонница), боли в костях и суставах, зуд. Появляются диспептические нарушения — диарея, рвота. Со стороны сердечно-сосудистой системы — тахикардия, аритмия. 3.
Стадия декомпенсации — присоединяются стоматиты, гингивиты, плевриты, перикардиты, отёк лёгких. 4.Терминальная (уремическая, анурическая) стадия. Исход обычно летальный, единственный выход в этой ситуации радикальная пересадка почки. Также эту стадию можно отсрочить пожизненным гемодиализом.
Анализ крови при лейкозе
Острый лейкоз – следствие нарушения в работе кроветворения на сначальных стадиях. В нормальном состоянии бластные клетки превращаются в функциональные клетки крови и выполняют свою миссию. Каждое такое тельце сразу после «появления на свет» имеет свою линию развития. Например: для эритроцитов «производятся» один вид таких клеток, а для лейкоцитов – другой и так далее.
Такая болезнь лимфобластная и миелобластная – в зависимости от того, какой тип клеток стал «виновником» заболевания. Подразделяются на другие, более мелкие категории, в зависимости от предназначения поврежденных бластных элементов.
Острый лимфобластный лейкоз
Все лейкозы можно разделить на два вида – острые и хронические. При остром лейкозе происходит поражение молодых клеток крови 2 или 3 поколения, реже 4 поколения. А вот хронический лейкоз выражается в поражении зрелых клеток или созревающих лейкоцитов.
Существует несколько названий лейкозов. Происходят они от тех названий клеток крови, которые поражаются в этом случае. Например, лимфобластный лейкоз – это поражение лимфобластов. Миелобластный лейкоз – поражение миелобластов. В норме бластных клеток в крови не должно быть вообще. Но если они есть, то это значит, что костный мозг просто не справляется из-за болезни со своими функциями.
Бластные клетки очень сильно отличаются от нормальных клеток крови. При этом они в несколько раз превышают их в размере, но иногда бывают и меньше нормы. К тому же анализ крови при лейкозе может показать такое состояние клеток крови, как анизоцитоз, то есть одинаковые по названию клетки крови имеют совершенно разные размеры.
Именно по количеству бластных клеток в крови и определяется стадия и выраженность лейкоза. При остром лейкозе бласты в крови занимают лидирующие позиции – их может находиться в кровяном русле до 60 процентов от общего числа всех клеток. При этом могут полностью отсутствовать промежуточные формы клеток. Такое состояние организма называется лейкемический провал.
Анализ крови при лейкозе также показывает очень сильную анемию и снижение или полное отсутствие таких клеток крови, как тромбоциты.
При хроническом лейкозе бластные клетки в крови могут и не обнаружиться. А если они там есть, то их содержится как правило не долее 10%. Здесь нет лейкемического провала. То есть присутствуют как промиелоциты, так и миелоциты. К тому же в крови обнаруживается базофилия и эозинофилия, что выявляется одновременно. Ну, а сама анемия прогрессирует при хроническом лейкозе довольно таки медленно.
Сам же диагноз острый или хронический лейкоз ставится только после анализа крови. При этом не придётся сдавать какой-то особый или дорогостоящий анализ. Достаточно сдать кровь из пальца, а через несколько часов получить результат. Делается такой анализ в любой лаборатории.
Отклонение от нормы
После того как эритроциты потеряли последнюю связь со своим первым «домом», они начинают именоваться ретикулоцитами. Примерно в срок двух суток они поставляются в кровеносное русло, где теряется ретикулум. Только после этого они становятся полноценными эритроцитами, готовыми к работе на благо человеческого организма.
Из данного пути можно сделать нехитрый вывод – при нормальном функционировании костного мозга появления таких недоразвитых эритроцитов в крови невозможно. Чаще всего причиной такого появления становится лейкоз.
Медики выделяют огромное количество форм данного заболевания, поэтому обозначить стоит наиболее распространенные. В частности, об остром лейкозе. При его протекании в крови человека обнаруживается большое количество молодых бластных клеток. Чаще всего в более чем половине случаев речь идет о развитии именно миелобластной формы острого лейкоза.
Чаще всего проявляется такое заболевание:
- проблемами с остановкой кровотечения;
- повышенной утомляемостью;
- бледными кожными покровами;
- подверженностью инфекционным заболеваниям.
Конечно, такие симптомы характерны для огромного числа заболеваний, именно поэтому и требуется тщательная диагностика. Начинается все с врачебного осмотра, также выполняется анализ крови общий и биохимический, необходимо исследовать и мозг костного типа.
Для анализа осуществляется забор костного мозга из грудины, можно использовать также и подвздошную кость. Если острый лейкоз действительно присутствует, то лаборант отметит замещение, при котором нормальных клеток станет меньше, чем бластов. Кроме этого, необходимо выполнить специальное исследование иммунологической направленности.
При исследованиях цитогенетического типа можно выявить специфические повреждения хромосом, что также важно для определения подвида заболевания и его агрессивности. В ряде случаев врач может назначать молекулярно-генетическую диагностику, с помощью которой возможно выявление генетических нарушений на уровне молекулы.
Иногда врач может настоять на диагностике спинномозговой жидкости. Это требуется для определения присутствия в ней опухолевых клеток. Такая информация может быть важной при разработке соответствующего лечебного плана.
https://youtube.com/watch?v=YXGLLJkYs7w
Вторым по распространенности является острый лимфобластный лейкоз. Такое заболевание характерно для детей.
Эритроциты
Как проводят забор крови?
Как правило, для процедуры ОАК требуется капиллярная кровь из безымянного пальца. После того как его подушечка будет продезинфицирована медицинским спиртом, производится безболезненный прокол с помощью автоматического скарификатора. Периодически сжимая палец у ногтевой пластины, лаборант набирает около 2–3 мл биоматериала с помощью стеклянного капилляра.
Когда пробы крови будут распределены по емкостям, ранку снова дезинфицируют и накладывают на нее стерильный ватный диск. Намного реже для лабораторного исследования берут венозную кровь из локтевого сосуда. В таком случае сначала накладывают на плечо жгут и обрабатывают место пункции, после чего иглу вакуумной системы или одноразового шприца вводят в вену.
Угол наклона иглы постепенно уменьшают, облегчая забор материала. Как только процедура завершится, к области прокола прижимают марлевый тампон, выводят иглу из сосуда и снимают жгут. Придерживать ватку нужно до тех пор, пока ранка не закупорится кровяным сгустком, иначе в области сгиба образуется болезненная подкожная гематома.
Терапия эритромиелоза
Разобравшись с тем, что такое нормобласты в крови, что это значит для детей и взрослых, следует выделить, что повышенные показатели этих кровяных тел могут напрямую указывать на наличие такого серьезного заболевания, как эритромиелоз.
Это заболевание характеризуется наличием следующей симптоматики:
- сильная слабость;
- образование кровоподтеков;
- болезненные ощущения в костях;
- понижение веса;
- трудности с дыханием;
- образование грибковой инфекции.
При отсутствии качественной терапии патология может стать провокатором образования очагового типа некроза селезенки, отечности лимфатических узлов, выделения крови из носа и десен, а также кровоизлияний в сетчатку глаза.
Подобные осложнения развиваются в качестве последствия того, что содержащие ядро клетки проникают по кровеносной системе во внутренние органы, пищеварительную и половую систему, попадают в кожные покрова и мышцы.
В ряде случаев болезни, которые характеризуются повышенным уровнем нормобластов, приблизительно через полгода или даже быстрее, вызывают летальный исход.
Терапия этого опасного заболевания заключается в осуществлении нескольких сеансов химической или лучевой терапии. Кроме этого, пациенту могут пересаживать стволовые клетки.
Изредка у людей может обнаруживаться хроническая форма эритромиелоза. Диагностировать эту патологию достаточно сложно, поскольку, несмотря на наличие опухоли, содержащие ядра эритроциты не проникают в кровь.
Подтвердить представленный диагноз можно при детальном изучении состояния внутренних органов, поскольку печень и селезенка увеличены в размерах, развивается опухание лимфатических узлов.
Такая форма болезни выделяется длительным течением (на протяжении 2-3 лет). Для избавления пациента от патологии доктора выполняют многократное переливание массы из эритроцитов. Альтернативным методом терапии признается введение специальной лекарственной сыворотки, но больший эффект достигается за счет трансплантации стволовых клеток.
Подробный путь клеток крови
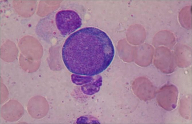
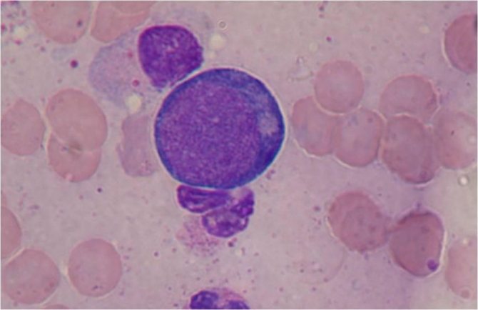
Чтобы разобраться, в чем опасность обнаружения нормобластов, стоит рассмотреть подробную схему их образования. Первой клеткой, которая различима под микроскопом является эритробласт. Для него характерно ядро округлой формы, нежная сетчатая структура хроматина. Обычно присутствует два-четыре небольших по размеру ядрышек.
На этом этапе просветления между ядрами не различимы. В общем анализе крови такой компонент указываться не будет. Дело в том, что он только зародился и еще не покидает своего первого пристанища – костного мозга.
Вторая стадия получила название пронормоцит. В ее рамках очень молодая клетка становится чуть меньше по размеру и одновременно с этим стартует замена ядерной структуры. Это необходимо для того, чтобы впоследствии процесс отбрасывания ядра был более простым.
Для этого оно проходит процесс огрубения, ядрышки небольшого размера теряются, внутри можно заметить легкое просветление перинуклеарного типа. В рамках этой стадии пронормоцит крайне тяжело дифференцировать в миелограмме, поскольку черты первого варианта им еще не утрачены, а новые не приобретены.
Непосредственно бласты образуются на третьей стадии работы костного мозга. К этому моменту неузнаваемая клеточная структура меняется и образуется нормобласт. В нем появляется большое количество гемоглобина, концентрация которого выполняется вокруг ядра, после чего распространяется на всю цитоплазму.
Как только этот компонент получен в достаточном количестве, нормобласт или нормоцит переходит в форму оксифильного. Цитоплазма занимает почти весь объем, значимость ядра теряется, поэтому размер его становится совсем маленьким. Внешне в микроскопе лаборанты видят некое подобие вишневой косточки с грубыми формами.
Последней стадией является непосредственно рождение эритроцита. В течение некоторого времени нормобласты остаются в небольшом количестве, однако, как только они лишаются своего ядра, клетка превращается в эритроцит, из которого можно вычленить определенную наследственную информацию. В течение 24 часов ею окончательно покидается клетка, несмотря на то, что именно клеткой она больше не является.
Назначение миелограммы
Для определения причины увеличения количества нормобластов в крови довольно часто назначают проведение миелограммы. Анализ представляет собой изучение состояния мазка, взятого из костного мозга посредством проведения биопсии. Процедура осуществляется под местным наркозом. Пункцию выполняют в зоне грудины или подвздошной кости.
Для проведения процедуры не требуется специальной подготовки или каких-либо ограничений. Если человек осуществляет прием медикаментозных препаратов, то перед процедурой он в обязательном порядке должен сообщить об этом доктору, а если существует возможность, временно прекратить употребление лекарственных средств. Результат исследования можно получить уже по прошествии нескольких часов.
Всегда ли повышенный уровень – признак патологии?
Вовсе нет. Например, нормобласты в общем анализе крови у абсолютно здоровых младенцев до 3–4 месяцев – вполне допустимое явление, связанное с активным физиологическим формированием маленького организма. У детей старшего возраста бластоциты должны наблюдаться лишь в области костного мозга, а не в крови.
При подобных обстоятельствах бластные клетки будут свидетельствовать о наличии функциональности защитных механизмов. Более того, люди иногда получают неутешительные результаты, которые перечеркивались показателями повторной диагностики. Поэтому не стоит переживать, увидев тревожные цифры на бланке, нужно спокойно посетить специалиста с целью их подтверждения или опровержения.
Наличие, или повышение
Возникновение, или наличие бластов в крови интерпретируется специалистами как патология. А увеличение их числа – угрожающий знак, сигнализирующий о болезнях с негативными преобразованиями в костном мозге.
Подобные показатели анализов – безотлагательная причина посещения онколога или специалиста по крови. Неукоснительно требуется проведение ряда диагностических мероприятий. К примеру: повторное исследование крови, рентгенография и МРТ. Повышенный показатель – опасное обстоятельство. Здесь важна каждая минута, поскольку речь идет о лейкозе.
Лейкоз



