Флегмона является опасным, острым воспалительным заболеванием, требующим немедленного хирургического и антибактериального лечения. При снижении иммунитета и занесении микроорганизмов в места повреждения кожи и слизистых, они проникают внутрь организма и начинают активно развиваться во внутриклеточном пространстве. Организм, реагируя на возбудитель, создает внутри тела человека скопление гноя. Гнойные массы нужно обязательно вывести наружу, и для этой цели проводится хирургическое вскрытие воспаления.
Флегмона — что это такое
Это воспаление гнойного характера представляет угрозу не только для здоровья, но и для жизни человека.
Процессы протекают стремительно — начавшись с покраснения и болезненной припухлости на кожных покровах, флегмона ведет себя, как агрессивный захватчик, увеличивает зону поражения.
От флегмоны могут пострадать и лицо (веко, челюсть, щека), и туловище, и конечности человека.
Характер заболевания может быть идиопатическим (самостоятельным, не имеющим привязки к каким-то другим заболеваниям) либо представлять собой осложнение после гнойно-воспалительной болезни (к примеру, сепсиса или карбункулеза).
Процессы начинаются с наружных слоев эпидермиса, затем переходят на подкожную ткань.
Если гнойное воспаление клетчатки происходит в непосредственной близости от какого-либо органа, специалисты обозначают проблему при помощи слова «пара», что в переводе с греческого означает «около, возле» — например, «парапроктит» (воспаление в районе прямой кишки), «паранефрит» (возле почек), параоссальная флегмона (под трапециевидной и ромбовидной мышцами).
В качестве обобщающего термина используется название «параорганная флегмона».
Болезнь «без границ» не имеет к тому же и возрастных ограничений – от нее могут страдать новорожденные дети и пожилые люди.
Лечение флегмоны — препараты и методы
Схема лечения флегмоны включает:
- Хирургическое вскрытие для оттока гноя и снижения риска интоксикации;
- Антимикробную терапию;
- Дезинтоксикацию — обильное питье, а в тяжелых случаях введение раствора уротропина и хлористого кальция внутривенно;
- Иммунотерапию.
Оперативное лечение флегмоны
При флегмоне операция — первое и необходимое лечебное мероприятие при флегмоне — это вскрытие и дренирование пораженного очага.
Его проводят под общим обезболиванием, рассекая поверхностные и глубокие ткани. После оттока гнойного содержимого полость промывается и дренируется с помощью трубок.
Затем на рану накладывается повязка с антимикробной мазью (Левомеколь, Левосин) или гипертоническим раствором. На ранних этапах после операции для обработки места вскрытия не используют мази на жировой или вазелиновой основе (тетрациклиновую, Вишневского, синтомициновую и т. д.), поскольку они препятствуют нормальному оттоку жидкости из раны. Для обработки раневой поверхности также применяют Сульйодопирон, Диоксидин, Мирамистин.
При флегмоне восстановление после операции занимает не более месяца.
Если есть проблемы с работой иммунной системы, то кроме антибиотикотерапии на этом этапе показаны препараты иммуноглобулина. Этот белок способствует склеиванию и осаждению патогенов, которые затем выводятся из организма с мочой.
- На начальном этапе флегмоны, когда инфильтрат еще не сформировался, операцию не назначают.
В таких случаях показаны физиопроцедуры — теплые компрессы, соллюкс, УВЧ-терапия, повязки с ртутной мазью по Дубровину (последние два метода совмещать нельзя).
Препараты и антибиотики
В лечении абсцессов и флегмон обязательны антибиотики. Это неотъемлемое дополнение оперативного вмешательства.
В первые дни назначают антимикробные средства широкого спектра действия, а после определения конкретного возбудителя схему корректируют. Например, при пневмококковой природе флегмоны используют макролиды, бета-лактамы или линкозамиды.
Курс антибиотикотерапии продолжается от 5 до 10 дней, точную длительность определяет врач.
Если антибактериальный препарат отменить слишком рано, то появляется риск повторного воспаления, а долгий прием чреват развитием дисбактериоза и негативного воздействия на внутренние органы.
- Анаэробная форма флегмоны после вскрытия лечится с помощью противогангренозных сывороток, вводимых подкожно либо внутримышечно.
Ферментные средства
Для более быстрого отторжения омертвевших тканей флегмоны применяют некролитические препараты:
- ферментные мази (Ируксол);
- протеолитические ферменты (Химопсин, Трипсин).
Они лизируют (растворяют) некротические ткани, повышают эффективность антибиотиков, восстанавливают нормальное кровообращение на пораженном участке, улучшают клеточный метаболизм.
Очищение крови
Если флегмона протекает в тяжелой форме с выраженной интоксикацией всего организма, показано экстракорпоральное очищение крови:
- плазмаферез — забор крови или ее части, очищение и введение обратно в кровеносное русло;
- гемосорбция — вне организма кровь пропускают через очищающие сорбенты и возвращают обратно;
- лимфосорбция — процедура очищения лимфы, аналогичная гемосорбции.
Возможные осложнения
Осложнения флегмоны ноги фото
Распространение гнойного процесса может стать причиной таких осложнений флегмоны:
- лимфаденит, лимфангит;
- рожистое воспаление;
- перикардит;
- сепсис;
- тромбофлебит и, как следствие, тромбоэмболия легочной артерии и летальный исход;
- гнойно-воспалительное поражение суставных тканей;
- плеврит;
- остеомиелит;
- тендовагинит.
Также существует опасность развития сердечной, печеночной, почечной недостаточности. Если гнойное воспаление затрагивает артериальные стенки, появляется риск сильного кровотечения и геморрагического шока.
Прогноз
Если выявление и лечение заболевания проведены своевременно, то прогноз флегмоны благоприятный.
Обратная картина возникает при отсутствии терапии или позднем ее начале, при быстро развивающихся гнойных процессах в тканях между внутренними органами. В этом случае развивается сепсис или другие осложнения.
Благоприятным исходом считается самопроизвольный прорыв гноя, однако происходит это в редких случаях.
Причины возникновения и возбудители
Самый распространенный возбудитель заболевания – золотистый стафилококк.
Помимо него в этом качестве могут выступать:
- энтеробактерии;
- облигатные анаэробы (стрептококки), способные действовать в отсутствие кислорода;
- синегнойная и (реже) кишечная палочки.
Причинами образования флегмоны является активность и достаточное, чтобы дать толчок к началу заболевания, количество вредоносных микроорганизмов, которые «оккупируют» мягкие ткани организма.
Необходимы также сопутствующие факторы:
- проблемы с иммунной защищенностью человека;
- состояние его системы кровообращения;
- наличие в организме аллергизации;
- способность микроорганизмов к вирулентности (заражению тканей);
- устойчивость микробов к лекарственным препаратам.
Порой загадкой, даже для специалистов, остается причина образования флегмоны там, где нет ни следов травм, ни операционных разрезов.
Главным провоцирующим фактором в этом случае становится общее состояние здоровья пациента – опасность угрожает людям, принимающим много лекарств, губительно воздействующих на иммунную систему.
Проблемы возникают также при сахарном диабете и у ВИЧ-инфицированных.
В организм возбудитель заболевания проникает и распространяется в нем разными способами:
- через повреждения на коже и слизистых в результате травм;
- из источника инфицирования – через кровь;
- в результате прорыва абсцесса;
- после введения подкожно каких-либо химических веществ (например, скипидара, для лечения кожных заболеваний);
- как следствие введения лекарственных препаратов (постинъекционная флегмона).
Что это такое
Флегмона это воспалительный процесс, который протекает внутри подкожно-жировой клетчатки и клетчаточных пространств. Снаружи определяется как плотное образование, внутри которого находится гнойное содержимое. Флегмона провоцируется микроорганизмом, который часто попадает под кожу при наличии наружных повреждений. Царапины, ссадины, ушибы несут риск проникновения инфекции внутрь. В дальнейшем организм начинает бороться с возбудителем, стараясь не допустить распространения его по всему организму. В месте локализации микроорганизма начинается воспалительный процесс и формируется гнойное содержимое. В запущенной форме флегмона распространяется на внутренние органы, кости и мышцы, и может быть очень опасна для жизни.
Код по МКБ-10
В международном классификаторе заболеваний (МКБ-10) флегмона значится под кодом L03.
Затем следует более детальная классификация:
- если поражены пальцы руки либо стопа — L03.0;
- конечности (другие их отделы) — L03.1;
- челюстно-лицевая область — L03.2;
- туловище — L03.3.
Под кодами L03.8 и L03.9 значатся, соответственно, флегмона иных, кроме перечисленных, локализаций и флегмона неуточненная.
Причины возникновения заболевания, его симптомы, методы лечения и профилактики, а также фото стрептодермии у детей ищите в этом материале.
Инструкция по применению крема и мази Белогент представлены в данной статье.
Симптомы и лечение вируса Коксаки у детей рассмотрены тут: https://udermatologa.com/vir/simptomy-lechenie-foto-virusa-koksaki-u-detey-i-vzroslyh/
Лечение
Лечение флегмоны (на кисти, Фурнье, на лице) основывается на таких принципах:
- вскрытие флегмоны, чтобы обеспечить нормальный отток гноя и уменьшить симптомы интоксикации;
- антибиотикотерапия для уничтожения патогенных микроорганизмов;
- дезинтоксикационная терапия;
- иммунотерапия.
Особенно важно как можно скорее провести лечение болезни Фурнье, так как промедление или неправильно подобранная тактика лечения может стать причиной прогрессирования гангрены. Лечение любого вида флегмоны проводится только в условиях стационара и под контролем квалифицированных хирургов.
Симптомы и локализация болезни
Не имея четких границ, флегмона обнаруживает себя изменениями кожной поверхности в месте воспаления – она становится красной, блестящей, лоснящейся.
Ощущается болезненность не только при прикосновении, но и в результате движений, которые делает человек, например, при повороте туловища.
Неприятные ощущения усиливаются по мере развития заболевания. Кроме того, визуально расширяется и зона покраснения (со временем красный цвет меняется на желтый).
Без оказания медицинской помощи состояние пациента становится хуже, появляются головная боль, слабость, одышка, нарушается нормальный сон при общей сонливости в течение дня.
Температура тела поднимается до 40°C и выше. Человека мучают озноб, жажда. Проблемой становится мочеиспускание. В зоне поражения увеличиваются лимфатические узлы. Давление подскакивает, а сердечные ритмы – сбиваются.
Локализация флегмоны может быть самой разной.
Лицевая
В эту зону включены височная область, подвисочная ямка (через которую проходят важные нервы и сосуды), челюсти, околоушно-жевательная область (в том числе и жевательные мышцы), подглазничная зона (ограниченная краем глазницы, боковой стенкой носа и верхней челюстью). В категорию лицевых включены также щечная и скуловая флегмона.
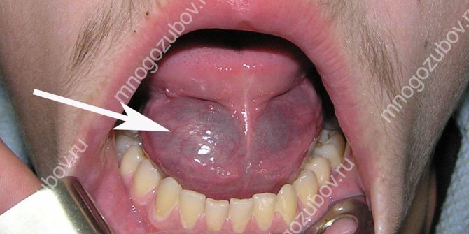
Когда поражена нижняя челюсть, появляется неприятный запах изо рта, отечность, опухает язык. Возникает ощущение, словно болит шея, зуб или десна (в стоматологии нередки случаи, когда пациент обращается за помощью «не по адресу»).
Заболевание получило название «одонтогенная флегмона челюстно-лицевой области» (ЧЛО).
Человеку с таким диагнозом становится сложно говорить и глотать, поскольку отек охватывает окологлоточное пространство.
Могут возникать проблемы с дыханием. Поднимается температура. Лицо становится ассиметричным. Лечение не терпит отлагательств, поскольку велика вероятность потери зубов, тромбоза лицевых вен, асфиксии.
Заболеванию бывают также подвержены дно полости рта, гортань, горло. Причем инфекция может распространяться с одного «объекта» на другой практически беспрепятственно из-за обилия сосудов, слюнных желез, различных межмышечных щелей.
Флегмона века, глазницы, слезного мешка
Если симптомы заболевания появились на одном веке, болезнь быстро распространяется и на второе веко, а также на глаз целиком. Пациент испытывает сильную головную боль.
Если в зону поражения попал слезный мешок (что встречается довольно редко), опухшая область становится настолько болезненной, что человек не может открыть веки.
Очень опасно, когда флегмоной поражена глазница (ее также называют «орбита глаза») – полость, в которой находятся глазное яблоко и его придатки.
Промедление с лечением может привести к повреждению зрительного нерва и потере зрения. Не исключается опасность распространения инфекции на головной мозг.
Шеи
Толчком к развитию заболевания могут послужить воспаления глотки (в форме ларингита или фарингита) или запущенный кариес.
Подбородочная и подчелюстная область оказываются в зоне воспаления. Человек испытывает общую слабость, у него поднимается температура, болит голова. В качестве осложнения может начаться гнойный менингит.
В домашних условиях это заболевание не лечат, обычно пациенту требуется помощь врача-хирурга.
Кистевая
Инфекция вначале сосредоточивается в центре ладони, на большом пальце либо запястье. Затем распространяется на всю кисть — другие части ладони и остальные пальцы.
Человек испытывает боль, которой предшествует неприятное покалывание.
Если воспалением охвачены межпальцевые зоны, такая флегмона получила название «комиссуральная», пальцы при этой форме заболевания практически лишены подвижности, поскольку каждое движение очень болезненно.
Особенно тяжелой считается у-образная форма локализации, когда поражение затрагивает такой важный вспомогательный аппарат мышц, как локтевую и лучевую синовиальные сумки ладоней.
Субпекторальная
Воспаление охватывает области под грудными мышцами – малой и большой.
Субпекторальная флегмона может начать развиваться из-за гнойника под мышкой, после сильного ушиба грудной клетки, из-за имеющихся в этой части тела фурункулов, ран, если инфицирована молочная железа (в результате мастита). О фурункулах на груди, а также на других интимных местах мы рассказывали здесь.
Конечностей и бедра
Непосредственной причиной для начала гнойного воспаления становятся раны, ожоги, укусы, от которых пострадали руки (например, предплечье) или ноги, а также ряд заболеваний (например, панариций или гнойный артрит).
«Проводником» для распространения гнойной инфекции служат межмышечная ткань, околососудистое пространство.
Симптомы заболевания развиваются стремительно. Если в зоне поражения оказались бедра или нижняя конечность, пациенту становится сложно передвигаться. Ноги словно опухают, увеличиваются лимфатические узлы.
Мочевая
От этого вида заболевания страдают бедра, мошонка, промежность, ягодицы. Возникает мочевая (ягодичная) флегмона из-за повреждений мочевого пузыря.
Ее симптомы — отек, кровянистость мочи (или ее отсутствие), боли в нижней части живота. Течение заболевания тяжелое, иногда болезнь завершается летальным исходом.
Мошонки (болезнь Фурнье)
Эта локализация микробов – одна из наиболее опасных. К традиционным для заболевания симптомам (высокой температуре, ознобу, тахикардии) добавляются сильные боли, охватывающие мошонку и половой член.
Кожу мошонки покрывают бурые пятна и пузыри с гнойным содержимым. Флегмона Фурнье требует оперативного лечения.
Специалисты используют еще один способ классификации заболевания по месту его локализации.
Согласно ему флегмона может быть:
- подкожная – заболевание развивается в слое жировой клетчатки, непосредственно под кожей;
- подфасциальная – в соединительных оболочках, покрывающих различные органы, нервные волокна, сосуды;
- забрюшинная – в брюшной полости;
- межмышечная;
- околопочечная;
- околопрямокишечная.
Актуальность проблемы
Классификация (виды, формы, стадии)
Классификация предусматривает различие заболеваний по глубине воздействия на здоровые ткани, по степени тяжести протекающих процессов и вариантам последствий.
По времени появления
Заболевание считают первичным, если оно начало развиваться после проникновения в ткани патогенных микроорганизмов, или вторичным, если воспаление «перекинулось» с соседних, уже пораженных участков.
По времени развития
Различают 2 вида флегмоны. Это острая флегмона, при которой состояние пациента стремительно ухудшается, и хроническая (иногда ее называют «деревянистая»), для которой типичным является вялое течение болезни.
Второй вариант предполагает длительный, до нескольких месяцев, процесс, в течение которого участки кожи в месте поражения становятся синюшными, а флегмона преобразуется в абсцесс, не вызывающий болевого синдрома.
По глубине поражения
В этом случае также возможны два варианта. Поверхностная форма флегмоны означает инфицирование подкожной клетчатки, не затрагивает мышечную ткань.
Глубокая распространяет свое негативное воздействие и на мышцы, и на межмышечное пространство, и на окружающую различные внутренние органы жировую клетчатку.
По характеру распространения
Флегмона может быть отграниченной, в случае если гнойник – локальный, или прогрессирующей – при значительном поражении ткани.
Если в первом случае гнойник вскрывают, а поврежденный участок дренируют, то во втором требуется серьезная хирургическая обработка, глубокий разрез с удалением гноя и иссечением некротических изменений в тканях.
По механизму возникновения
В этой категории различают самостоятельные формы, когда болезнь развивается не на фоне и не вследствие каких-либо патологий, а самостоятельно (если, к примеру, инфицированы только кисть, стопа, голень либо бедро).
Механизм развития флегмоны может быть также «запущен» после хирургического вмешательства (если травмирован грыжевой мешок или брюшная стенка).
По форме воздействия
Их несколько: серозная (она считается первичной), гнойная, гнилостная, некротическая, анаэробная.
При серозной форме нападению патогенных микроорганизмов подвергается жировая клетчатка. Она становится студенистой, пропитывается мутной жидкостью. Границы между больным и здоровым участками бывают трудноразличимыми.
За серозной следуют более опасные фазы. Гнойная предполагает преобразование поврежденных тканей в гнойную массу зеленоватого, желтого или белого цвета.
Могут образовываться язвы и свищи. Эта форма заболевания затрагивает кости, сухожилия, суставы.
При гнилостной форме заболевания пациент испытывает сильную интоксикацию. Пораженные ткани приобретают темные окраски – коричневую и зеленую. Наблюдается их распад – они становятся рыхлыми, кашеобразными.
Некротическая форма характеризуется формированием некрозных очагов. Когда организм их отторгает, образуется раневая поверхность, может появиться абсцесс, который самостоятельно вскроется.
Анаэробная форма – самая тяжелая из всех перечисленных. У тканей – вареный вид, без каких-либо покраснений, а внутри может образовываться газовая составляющая, о чем свидетельствует легкий хруст, появляющийся при надавливании на воспаленную поверхность.
Клиническая картина
Симптоматика флегмон почти всегда крайне ярко выражена.
Общие симптомы: локально в месте образования очага наблюдается гиперемия (покраснение), повышение местной температуры тела, отёк различной степени, болезненность, усиливающаяся при пальпации. Регионарные лимфатические узлы увеличены, плотные и болезненные при надавливании.
При прощупывании кожи над поражённым участком обнаруживается симптом флюктуации — наличие жидкости под кожей. При локализации флегмоны на конечностях, спине, шее можно наблюдать сильное снижение объёма движений, в том числе при пассивном сгибании-разгибании в суставах.
Общее состояние может быть различным. Часто наблюдается повышение температуры тела (до 39 — 40 ℃), слабость, тремор конечностей, озноб, чувство жара, повышение артериального давления, учащение пульса, одышка, головная боль. Такая клиническая картина формируется при локализации гнойного очага на конечностях, шее, голове, спине, то есть, видимых невооружённым глазом областях тела.
Частным случаем является, например, флегмона (гангрена) Фурнье — это стремительно прогрессирующая флегмона мошонки с образованием гнойно-некротического экссудата, чаще всего, посттравматическая или на фоне декомпенсации эндокринных заболеваний (сахарный диабет). Заболевание опасно развитием некроза мошонки и яичек, кожи и подкожной клетчатки передней брюшной стенки, развитием сильнейшей интоксикации и сепсиса.
Более затруднительна диагностика флегмон в брюшной полости, забрюшинном пространстве, полости грудной клетки, малом тазу. Для верификации диагноза необходимо обязательно использовать дополнительные методы исследования (графические и инвазивные). О них пойдёт речь далее.
Как выглядит флегмона (фото)
Чем опасна флегмона?
Описываемое состояние требует корректной терапии и квалифицированной медицинской помощи. Флегмона мягких тканей может спровоцировать серьезные осложнения:
- лимфангит;
- тромбофлебит;
- гнойный артрит;
- сепсис;
- рожистое воспаление;
- лимфаденит;
- гнойный менингит;
- остеомиелит;
- плеврит;
- тендовагинит;
- гнойный артериит с массивным кровотечением;
- медиастинит;
- летальный исход.
Диагностика
Важную роль в постановке диагноза играют субъективные ощущения пациента. Чем точнее они будут сформулированы, тем проще врачу ориентироваться в локализации заболевания и степени его тяжести, понять его патогенез (механизм зарождения и развития болезни).
К «объективным» методам диагностики относятся:
- контроль температуры тела;
- УЗИ участков, где возможно распространения заболевания;
- МРТ;
- рентгенограммы;
- анализы (мочи, крови, выделений из мест воспалений);
- пункции (если очаг инфицирования находится глубоко в тканях).
Симптомы
Основные формы флегмон отличаются острым протеканием процесса с сильной интоксикацией (внутренним отравлением), повышением температуры до 39-40 градусов. Резкая слабость, озноб и головная боль, общее тяжелое состояние больного часто сопровождают злокачественный процесс.
В области формирования флегмоны характерна краснота, отечность, внутренняя боль и зуд, увеличение конечности в объеме. Региональные лимфоузлы увеличены. В области образования повышена общая температура, отсутствуют четкие границы воспаления. На следующем этапе внутри области воспаления возникает гнойное содержимое, которое требует выхода наружу. В случае самопроизвольного выхода возможно образование свища. Если этого не происходит, воспаление продолжает распространяться на соседние ткани. Они также воспаляются, разрушаются и увеличивают объем гнойного содержимого.
Общее состояние больного характеризуется:
- острым и быстрым протеканием процесса;
- быстрое ухудшение состояния;
- высокая температура тела (39-40 градусов);
- чувство болезненности, нарыва, покраснения, отека в воспаленном участке;
- озноб;
- слабость;
- головокружение;
- снижение давления;
- частый и слабый пульс;
- общая интоксикация (ощущение отравления);
- желтушность кожи;
- синюшность конечностей.
Флегмону отличают от абсцесса и фурункула по признаку отсутствия у нее четких границ. Она развивается в любой части организма, где присутствует жировая клетчатка.
Отличия от абсцесса и других заболеваний
У различных гнойных воспалений могут быть похожие проявления, но для успешного лечения диагноз должен быть абсолютно точным.
Если сравнивать абсцесс и флегмону, то в первом случае, очаг воспаления заключен в капсулу, изолирован от здоровых тканей. У флегмоны подобного нет.
Отличить одно заболевания от другого сложнее всего на начальной стадии, когда капсула еще окончательно не сформировалась, и границы инфицирования размыты, как при флегмоне.
В процессе развития болезни, при переполнении капсулы гноем, может произойти ее разрыв, что приведет к превращению абсцесса в флегмону.
Если заболеванием поражены веки, флегмона на ранних стадиях практически не отличается от ячменя. Однако в первом случае ощущения гораздо болезненнее, чем во втором, кроме того имеются симптомы интоксикации организма.
С флегмоной иногда путают заболевание ног «гемостатический дерматит», но у него другая природа и причина – недостаточная циркуляция крови в нижних конечностях.
Сложно бывает отличить флегмону от рожистого воспаления. Для обоих диагнозов характерны сильная пульсирующая боль, плотный инфильтрат, изменения цвета кожи. Подробнее о причинах, симптомах и лечении рожистого воспаления ноги узнаете отсюда.
Разобраться в сложных случаях иногда возможно только с помощью лабораторных исследований.
Осложнения
- Венозный тромбоз — закупорка крупных вен по причине массивного воспаления и попадания в кровоток мёртвых клеток. Наиболее опасен тромбоз шейных вен.
- Сердечная аритмия — нарушения регулярного ритма сердца, вследствие интоксикации организма токсинами. Данная патология трудно поддаётся лечению и часто приводит к летальному исходу.
- Гнойный медиастинит — вторичное гнойно-воспалительное заболевания средостения (комплекса органов, сосудов и нервов), располагающегося в грудной полости между корнями лёгких.
- Абсцесс головного мозга — формирование отдалённого гнойного очага в головном мозге, окружённого соединительнотканной оболочкой. Может вызывать различные общие и очаговые неврологические симптомы. Без лечения склонен к разрыву оболочки и развитию смертельного исхода.
- Остеомиелит — острое гнойное заболевание кости и костного мозга. Развивается вторично под местом образовавшейся флегмоны. Наиболее часто формируется при анаэробной инфекции.
- Сепсис — генерализованная инфекция. Проникновение значительного количества бактерий в кровь приводит к развитию воспаления большинства тканей организма.
- Септикопиемия — последствие сепсиса, образование гнойных «отсевов», абсцессов в отдалённых от флегмоны участках тела (абсцесс печени, лёгких, селезёнки, мозга и т.д.)
- Септический шок — нарушение гемоперфузии (притока артериальной крови и оттока венозной) к наиболее важным органным системам — сердце, мозг, почки, лёгкие. Характеризуется значительным снижением уровня артериального давления, увеличением числа сердечных сокращений, гипо-гипертермией, нарушением сознания, полиорганной недостаточностью. Летальность более 90% — 95%.
Методы лечения
Врач назначает лечение в зависимости от степени тяжести пациента, и проводится оно, как правило, в стационаре, даже медикаментозное.
Антибиотики
Эти лекарства необходимы для остановки процессов гноеобразования в организме. Их назначают пациенту в виде таблеток или уколов.
Против флегмоны эффективны:
- Эритромицин;
- Гентомицин;
- Цефуроксим.
Терапия длится от 3 до 5 дней. Если результаты неутешительны (отек сохраняется, температура по-прежнему высокая, боль не отпускает), значит, процесс образования гноя остановить не удалось и потребуется хирургическое вмешательство.
Из других лекарственных препаратов используются представители группы пенициллинов: Трипсин, Террилитин, Ируксол.
Мази, компрессы
Эти средства могут дать результат на начальной стадии заболевания.
Компрессы делают спиртовые, с мазью Вишневского или с травами (один из возможных вариантов — отвар душицы с семенами льна).
Желательно компрессы ставить на ночь, а днем проводить физиопроцедуры. Полезен также электрофорез с использованием мумие.
Вскрытие
Хирургическая операция при флегмоне очень эффективна, особенно на запущенных стадиях и при обширных поражениях.
Общие сведения о заболевании
Флегмона — это разлитое острое гнойное воспаление жировой клетчатки. В отличие от локализированных видов гнойного воспаления (фурункул, карбункул, гидраденит, абсцесс и др.), флегмона не имеет ограничительной соединительнотканной капсулы, поэтому склонна к распространению за короткий промежуток времени.
Флегмона — наиболее жизнеугрожающее гнойно-воспалительное заболевание жировой клетчатки. Она представляет опасность не только потери функциональных тканей (кожи, мышц, сухожилий, нервов и сосудов), но и генерализации инфекционного процесса, поэтому решение о хирургическом лечении должно быть принято в кратчайшие сроки.
Этиология
Причинным фактором развития флегмон всегда является бактериальная инфекция:
- золотистый стафилококк (более 90% случаев);
- стрептококки;
- протей;
- синегнойная палочка;
- анаэробные клостридии (наиболее тяжёлая форма заболевания).
Патогенез
Бактериальный агент может попадать в жировую клетчатку несколькими основными путями: первично через повреждённую кожу (при ранениях), вторично, как осложнение фурункула, гидраденита, трофических язв при диабете, а также гематогенным и лимфогенным путём (из отдалённых источников инфекции).
При попадании значительного количества бактериальных клеток в жировую клетчатку иммунная система не справляется с их уничтожением. Часто бывает, что флегмоны развиваются у ослабленных основным заболеванием людей, например, при туберкулезе, ВИЧ, циррозе печени, декомпенсации сахарного диабета и так далее. В таких случаях скорость развития заболевания в разы выше, из-за отсутствия адекватного иммунного ответа.
Бактерии синтезируют экзо и эндотоксины (в зависимости от вида). Эти вещества крайне неблагоприятно воздействуют на клеточную мембрану и внутренние органеллы. Клетки организма быстро гибнут, тем самым продуцируя ещё больше «питательной среды» для инфекционных агентов.
Гибель клеток приводит к образованию массивного очага воспаления, бактерии размножаются и распространяются по анатомическим клетчаточным пространствам вместе с погибшими тканями и лейкоцитами (гноем). Гнойное воспаление развивается при поражении клетчатки стафилококками, стрептококками, синегнойной палочкой. При проникновении под кожу кишечной палочки или протея развивается гнилостное воспаление (его отличие в быстром протеолизе живых тканей бактериями, образовании крайне неприятно пахнущих газов).
Наиболее опасно попадание анаэробов в клетчатку, эти клостридии вызывают молниеносное распространение флегмоны, с проникновением в глубокие слои (вплоть до кости), крайне выраженный интоксикационный синдром. Анаэробная инфекция часто является причиной утраты обширных участков тканей, конечностей, внутренних органов.
Классификация
Флегмоны подразделяются на несколько основных групп:
1. По возбудителю:
- стафилококковая;
- стрептококковая;
- синегнойная;
- анаэробная (клостридиальная) и т.д.
2. По клиническому течению:
- молниеносная (анаэробная);
- острая (наиболее частая);
- хроническая (редкий вариант, может возникать при вялотекущем парапроктите и т.п.).
3. По характеру экссудата:
- серозная (белковая жидкость, образуется на начальной стадии флегмоны и почти всегда переходит в гнойную форму);
- гнойная, гнойно-некротическая;
- гнилостная;
- анаэробная (газовая).
4. По локализации:
- подкожная;
- подслизистая;
- подфасциальная;
- межмышечная;
- параартикулярная;
- парахондральная;
- забрюшинная;
- околопочечная;
- частные случаи (флегмона кисти, флегмона стопы, флегмона шеи, флегмона Фурнье и т.д).
5. По наличию осложнений:
- неосложнённая;
- осложнённая сепсисом, септическим шоком, гангреной органа или конечности и т.д.

Как лечить недуг у новорожденных детей и старше
У новорожденных флегмона может появляться на 5-8-ой день жизни и развивается особенно тяжело. Заболеванию часто предшествуют опрелости на теле или мастит. Возбудителем, как правило, является золотистый стафилококк.
Лечат маленьких детей хирургическим путем: вводят в организм дренаж, чтобы обеспечить отток экссудата, очистить от гноя рану. В обработке используют антисептические растворы.
Детям постарше дают общеукрепляющие и иммуномодулирующие лекарства, при необходимости – антибиотики, жаропонижающие и обезболивающие. Используют методики плазмафереза, гемодиализа, облучения крови лазером.
При своевременном начале лечения его прогноз – благоприятный. Полное восстановление наступает через 3-4 недели.
Причины
Возникновение флегмоны часто спровоцировано общим ослаблением иммунной системы организма и недостаточной обработкой повреждений кожи. Основными возбудителями являются микроорганизмы:
- стафилококк;
- стрептококк;
- пневмококк;
- синегнойная палочка;
- кишечная палочка;
- протей и другие.
Чаще всего возбудителем флегмоны является золотистый стафилококк. Быстрая выработка устойчивости этого микроорганизма к лекарственным средствам, хорошая выживаемость при неблагоприятных условиях, делает его чрезвычайно опасным для человека возбудителем.
Все эти возбудители в норме могут окружать человека в обычной сфере обитания в небольшом количестве. При хорошем состоянии иммунитета организм способен побороть небольшое количество патогенных микроорганизмов.
При наличии хронической инфекции (кариес, хронические тонзиллиты, синуситы, гаймориты), иммунитет может быть перегружен из-за постоянной борьбы с инфекцией внутри организма и плохо справиться с новым возбудителем, проникающим через повреждения кожи. Если имеется заболевание, снижающее иммунитет (туберкулез, сахарный диабет, ВИЧ-инфекция и другие), стоит обращать более пристальное внимание на гигиеническую обработку кожи при ее повреждениях.
Таким образом, причиной флегмоны является проникновение возбудителя через повреждения кожи, при этом важным фактором будет являться состояние иммунитета.
Частое самостоятельное применение антибиотиков может стать причиной того, что патогенные микроорганизмы приобретают устойчивость к этим препаратам. При последующих воспалениях привычный антибиотик может не подействовать, и придется искать редкие препараты, с которыми возбудитель еще не знаком. Это может стать причиной более длительного и сложного лечения.
Восстановление и реабилитация
После того, как больному сделана операция, наступает период восстановления: пациенту назначают антибиотики, мази для очищения кожи (троксевазиновую, с экстрактом шиповника, с облепиховым маслом). Принимаются меры по укреплению иммунитета пациента.
При сильных повреждениях проводится дермопластика (пересадка кожи).
Важным фактором, помогающим реабилитации больного, является соблюдение режима. Выздоравливающий большую часть времени должен проводить в постели, причем те части тела, которые были инфицированы и подверглись оперативному вмешательству, должны находиться чуть выше остальных.
После удаления анаэробной флегмоны больному назначают уколы противогангренозной сыворотки. Работу сердечной мышцы помогают восстановить препараты, содержащие кофеин и адонилен.
Если вас интересует, отчего появляется заболевание, каковы его основные симптомы и как лечить сучье вымя у мужчин и женщин, прочтите нашу публикацию.
Препараты-глюкокортикоиды — что это такое? Описание и предназначение средств найдете в данной статье.
Возбудители
Флегмона кисти, бедра или другой части тела развивается из-за внедрения в ткани патогенных микроорганизмов. Именно поэтому клиницисты разделяют флегмоны на два основных вида:
- развитие которых провоцируют абсолютно патогенные микроорганизмы;
- вызванные условно-патогенными микроорганизмами, которые в норме всегда присутствуют на слизистых и кожном покрове человека.
Основными возбудителями данного недуга являются:
- пневмококки;
- стафилококки;
- анаэробы неспорообразующие;
- стрептококки;
- кишечная палочка;
- протей.
После вскрытия флегмоны
Операция проводится под эпидуральной анестезией. Такой вид обезболивания позволяет не только хорошо обеспечить анестезию, но и проводить в последующем перевязки и этапные некрэктоми.
Во время операции обязательно проводится мониторинг артериального давления и ЭКГ. Нередко для внутривенных инфузий мы устанавливаем центральный подключичный венозный катетер.
После обработки операционного поля хирург проводит разрез в месте наибольшей флюктуации (зыбления), где обычно наблюдается максимальное скопление гноя. После вскрытия и опрожнения гнойной полости она промывается антисептическими растворами. До этого обязательно берется посев гноя на микрофлору.
После очищения осматриваются окружающие ткани. Все участки с сомнительной жизнеспособностью должны обязательно удаляться, если имеются вскрытые межкостные суставы, то такие пальцы необходимо удалять.
При распространении инфекции вдоль сухожилия необходимо провести дополнительный разрез выше по сухожилию, вне его гнойного поражения. После этого сухожилие пересекается и его пораженный конец извлекается через рану на стопе.
Во время операции по вскрытию флегмоны хирурги руководствуются принципом — не оставлять ничего сомнительного. Рана на стопе заживет, если инфекция будет остановлена, а кровоток восстановлен.
После операции процесс лечения только начинается. Пациенту проводится активная антибактериальная терапия с учетом высеянной микробной флоры, проводятся мероприятия по восстановлению кровотока (ангиопластика и стентирование).
Процесс окончательного выздоровления достаточно долгий. Нередко пациент выписывается на амбулаторное лечение, а потом госпитализируется вновь, для выполнения реконструктивно-пластических операций.
Флегмона – лечение
При любых формах рассматриваемого воспалительного процесса показана госпитализация и постельный режим. Начальные стадии подлежат консервативной терапии. Она предполагает накладывание желтой ртутной мази на очаг поражения (повязка по Дубровину) и физиопроцедуры:
- грелки;
- соллюкс;
- тепловые компрессы;
- ультравысокочастотная терапия.
Прогрессирование болезни подразумевает хирургическое удаление флегмоны под общей анестезией. Врач делает вскрытие воспаленного участка широким разрезом, захватывая не только кожу, но и глубокие мягкие ткани. Гной вымывается, образовавшуюся полость дезинфицируют и дренируют. Рана закрывается повязкой, пропитанной гипертонической жидкостью или водорастворимыми местными мазями с антибиотиками в составе. После полного очищения тканей накладываются компрессы с заживляющими препаратами. Параллельно используются системные противомикробные средства:
- Ванкомицин;
- Эритромицин;
- Амоксициллин;
- Левофлоксацин;
- Рифаксимин;
- Цефтриаксон;
- Азитромицин;
- Химотрипсин и другие антибиотики, к которым чувствительны возбудители воспаления.
Виды и места локализации флегмоны
С учетом классификации флегмоны по анатомической локализации можно особо выделить такие виды патологии:
- Серозная – начальная форма флегмонозного воспаления. Для нее характерно образование воспалительного экссудата, а также интенсивное привлечение лейкоцитов в патологический очаг. На этой стадии появляется пальпируемый инфильтрат, так как клетчатка пропитана мутной студенистой жидкостью. Нет четко выраженной границы между здоровыми и воспаленными тканями. При отсутствии вовремя назначенного лечения наблюдается быстрый переход в гнойную или гнилостную форму. Развитие той или иной формы связано с причинными микроорганизмами, которые попали во входные ворота
- Гнилостная – вызывается анаэробными микроорганизмами, которые выделяют определенные неприятные запахи в процессе своей жизнедеятельности. Пораженные ткани имеют коричневый или зеленый цвет, распадаются в виде студенистой массы и издают зловонный запах. Это создает условия для быстрого проникновения токсических веществ в системный кровоток с развитием тяжелейшей интоксикации, приводящей к недостаточности многих органов.
- Гнойная – патогенные микроорганизмы и выделяющиеся из фагоцитов ферменты приводят к перевариванию тканей и их некрозу, а также гнойному секрету. Последний представляет собой погибшие лейкоциты и бактерии, поэтому имеет желтовато-зеленый цвет. Клинически этой форме соответствует появление полостей, эрозий и язв, которые покрыты гнойным налетом. При резком снижении иммунных сил человека флегмонозный процесс распространяется на мышцы и кости с последующим их разрушением. Основной диагностический признак на этой стадии – отсутствие кровоточивости мышц при легком поскабливании.
- Анаэробная. В этом случае по морфологической характеристике процесс носит серозный характер, однако из мест некроза выделяются газовые пузырьки. Из-за их наличия в тканях появляется характерный признак – легкая крепитация. Гиперемия кожи выражена незначительно, а мышцы имеют «вареный» вид.
- Некротическая. Для нее характерно появление омертвевших участков, которые четко отграничиваются от здоровых тканей. Граница между ними – это лейкоцитарный вал, из которого в последующем формируется грануляционный барьер, при этом некротизированные участки могут расплавляться или отторгаться. Такое отграничение приводит к формированию абсцессов, склонных к самостоятельному вскрытию.
Область возникновения флегмоны может быть различна. Однако, как показывает практика, наиболее часто этой разновидности гнойного поражения жировой клетчатки (флегмоны) подвержены следующие части тела:
- грудь;
- бедра;
- ягодицы;
- спина (особенно ее нижняя часть);
- иногда — лицо и область шеи.
Так же в зависимости от места локализации флегмона подразделяется на следующие разновидности:
- Подфасциальная.
- Подкожная, которая прогрессирует непосредственно в слое подкожной жировой клетчатки.
- Межмышечную, которая обычно сопровождается текущими или прогрессирующими воспалительными процессами в мышечном слое.
- Околопочечная, сопровождающаяся либо вызванная заболеваниями почек — именно так проникает в данную область болезнетворная микрофлора.
- Забрюшинная (флегмона забрюшинного пространства), выявляющаяся путем проведения общего обследования брюшной полости при частых жалобах больного на болезненность в области живота.
- Околопрямокишечная, расположенная около прямой кишки и происхождение ее обусловлено проникновением болезнетворных микроорганизмов через стенки прямой кишки. Наиболее распространенной причиной флегмоны в этом случае становятся длительно текущие запоры и нестабильность работы кишечника.
Поскольку основной причиной появления флегмоны следует считать проникновение болезнетворных микроорганизмов в ткани жировой клетчатки разрывы и трещины кожи, этим местам при любых механических повреждениях требует уделять особое внимание.
Иммуномодуляция
После того как очаг воспаления гнойной флегмоны ноги был устранен, пациенту показано проведение иммуномодуляции, направленной на укрепление защитного барьера организма. Пациенту необходимо помнить, что после вылеченной флегмоны сохраняется вероятность повторного заражения. Это обусловлено повышенной чувствительностью организма к возбудителям. Восстановительная терапия предполагает отказ от вредных привычек, переход на специальную диету, прием иммуномодулирующих медикаментов, проведение оздоровительных процедур.
Какие виды заболевания существуют
Флегмона классифицируется по нескольким признакам.
По локализации
- поверхностная: преобладают местные симптомы – боль, отечность, повышение температуры до 39˚С, озноб,
- глубокая: более выражена общая симптоматика – резко повышается температура до 42˚С, нарушается ритм сердца, падает артериальное давление, возникают затруднения с дыханием и мочевыведением.
По стадиям развития
- острая: температура повышается резко, выражена отечность и гиперемия мягких тканей,
- хроническая: инфекционный очаг уплотнен, для него характерна синюшность, боль при надавливании,
По типу экссудата (скопившейся жидкости)
- серозный,
- гнойный,
- некротический.
«Мне однажды пришлось пережить флегмону после удаления зуба мудрости. Было очень больно и страшно… Хорошо, что вовремя обратилась, врач сказал, что некроза не было. Теперь, если что – сразу бегу к стоматологу. Не хочется, чтобы это повторилось».
Ирина, 28 лет
Виды антисептических растворов для наружного применения на дому и в стационаре
- Группа галоидов. Сюда относятся водная и спиртовая настойка йода, калия йодид, раствор Люголя. Применяются для обработки и промывания полости ран. Оказывают прижигающее действие. Препаратами йода швы обрабатывают не более 1 раза в стуки.
- Соли тяжёлых металлов. В настоящее время широко применяют повязки и мази с добавлением нитрата серебра, а также 0,1-0,2% раствор нитрата серебра для наружной обработки послеоперационных ран. В концентрации 5% данный раствор оказывает прижигающее действие, поэтому применяется только при выраженном воспалении и мокнутии раны.
- Спирты. Этиловый спирт в растворах с концентрацией 40% используется крайне редко. На сухой, невоспалённый шов использовать его не рекомендуется. Применяется преимущественно для обработки ран, находящихся в фазе активного воспаления.
- Красители. К этой группе относится наиболее широко применяемый раствор – бриллиантовый зелёный, более известный как зелёнка. Для наружного применения используется водный или спиртовой 1-2% раствор. Его используют как на слизистых оболочках, так и на коже. Обработку раны проводят ежедневно, не менее 2 раз в день.
- Кислоты. Здесь наиболее часто применяется слабый раствор борной кислоты (2-4%). Борная кислота – хороший антисептик, который применяется в виде растворов, мазей, порошков, присыпок. Местное лечение борной кислотой применимо и на слизистых оболочках, и на коже. Обработку послеоперационных ран проводят не менее 2 раз в день: утром и вечером.
- Окислители. Также широко применяются в медицинской практике. Наиболее известные из этой группы препараты — перманганат калия и перекись водорода.
Перекись водорода – активный окислитель, применяемый для обработки и лечения гнойных ран. Его чаще используют в стационаре для отделения гнойного содержимого и полного очищения раневой поверхности.
Перманганат калия имеет прижигающие свойства. В слабой концентрации подходит для промывания швов в полости рта, в более высоких концентрациях – для обработки послеоперационных ран. Его используют для обработки не более 1 раза в день.
- Детергенты. 0,1-0,2% водный раствор хлоргексидина – один из препаратов данной группы. Его применяют наружно для обработки и промывания послеоперационных швов, не менее 2-3 раз в сутки.
- Антибиотики. Для борьбы с бактериальной инфекцией разработаны мази с добавлением антибиотиков и гигроскопических средств. Их применяют для наложения повязок на гнойные послеоперационные раны. На дому применяют только в случае нагноения швов. Примером таких мазей служит мазь «Левомеколь», мазь Вишневского.
Осложнения флегмоны
При несвоевременном лечении возможны такие общие осложнения, как сепсис (поступление микроорганизмов в кровь и распространение инфекции по всему организму), тромбофлебит (гнойное воспаление вен с формированием тромбов и микроабсцессов), гнойный артериит (разрушение стенки артерии микроорганизмами с развитием массивных кровотечений, которые очень трудно остановить), вторичные гнойные затеки при распространении процесса.
В зависимости от расположения флегмоны также выделяют и специфические осложнения, например, гнойный менингит (воспаление мозговых оболочек) при флегмоне глазницы, или медиастинит (воспаление органов средостенья) при флегмоне шеи.
Профилактика
Уменьшить риск развития флегмоны поможет укрепление иммунитета, правильное и своевременное лечение воспалительных и гнойных процессов в организме. Очень важно наладить хороший обмен веществ и избавиться от всех хронических бактериальных очагов.
Для профилактики флегмоны бедра и голени необходимо избегать повреждений кожного покрова ног, особенно в тех районах, где есть большой риск заражения (лес, река, море, места обитания животных). Если вдруг вы травмировали ногу, срочно удалите посторонние предметы, которые могли попасть в рану. После этого больную область обработайте антисептиком (спирт, водка, зеленка, йод), заклейте пластырем или закройте стерильным бинтом (тканью).
К профилактике можно также отнести быстрое обращение к хирургу или травматологу. Диагноз, поставленный вовремя, позволит избежать серьезного воспаления ткани и вылечить флегмону терапевтическими методами. Соблюдайте эти несложные меры профилактики и снижайте риск развития заболевания до минимума.
https://youtube.com/watch?v=6ylqjBugiDs
Симптомы заболевания
Главный симптом, на который обращают внимание пациенты – сильная боль в конечности и ощущение распирания изнутри. Они усиливаются во время ходьбы и надавливании.
Кроме того больной страдает от:
- отекания стопы, при этом ее свод сглаживается, что особенно заметно в сравнении со второй ногой;
- повышения температуры в месте поражения;
- покраснения кожи, в некоторых местах (возле пальцев) появляется синюшный оттенок;
- возникновения флуктуации как последствия скапливания гноя;
- воспаления лимфоузлов под коленями и в паху;
- общей слабости и апатии;
- сильного потоотделения и жажды.
Флуктуация обнаруживается при попытке сжать ступню, при этом появляется ощущение, что под рукой находится жидкость, которая перемещается.
Это обусловлено отсутствием у флегмоны капсулы, в результате чего гной скапливается в тканях. Единственным его ограничителем служат фасцилярные футляры.
При формировании хронической формы заболевания симптоматика может почти полностью отсутствовать. А вместо флуктуации на стопе обнаруживается инфильтрат с твердой деревянистой консистенцией. Кожа над флегмоной становится синюшной (см. фото).
Симптоматические проявления
В большинстве случаев развитие этого образования имеет острое начало. Температура тела резко повышается до отметок 39-41°C. Кроме того, стремительно нарастают признаки общей интоксикации. Больные жалуются на:
- сильную жажду;
- озноб;
- головную боль;
- резкую слабость.
Кожа над пораженной поверхностью приобретает красноватый оттенок и отекает. Если имеет место флегмона стопы, конечность сильно увеличивается в размерах. На ощупь поврежденная область становится более горячей, чем окружающие здоровые участки. Кожа начинает лосниться. Четкие границы распространения флегмоны определить нельзя.
Гнойное содержимое может расплавлять более глубокие ткани, таким образом, значительно расширяется образование. Когда развивается глубокая флегмона, симптомы начинают проявляться в более острой форме. Вдобавок нередко расплавляются кожные покровы над образованием, что сопровождается выходом большого количества гнойного содержимого. У больных может появиться одышка, снижение пульса и артериального давления, уменьшение мочеотделения, головная боль и желтушность кожных покровов.
Диагностические мероприятия
Если возникло подозрение на наличие флегмоны бедра, то специалист проводит осмотр этого участка нижней конечности, берет на анализ кровь, а также гной, который выделяется из раны. Первое исследование позволит выявить воспаление в тканях пациента, а второе – определить тип болезнетворного микроорганизма, вызвавшего заболевание.
Несмотря на то, что флегмона – инфекционная болезнь, она не является заразной. Обычно она развивается под кожей, и слой эпидермиса не дает ей выйти наружу и распространиться. Это отличает ее от схожего заболевания – импетиго, которое локализуется на поверхности кожи и сильно заразно.
Какие могут быть осложнения
Патология представляет собой крайне опасное явление, ведь если вовремя не приступить к лечению, она может привести к инфицированию всего организма. Среди возможных последствий столь халатного отношения к своему здоровью эксперты выделяют следующие осложнения:
- сепсис,
- медиастинит,
- менингит,
- флебит сосудов крови,
- асфиксия и пр.
Длительное игнорирование проблемы может привести к инвалидности или даже летальному исходу. Именно поэтому так важно как можно скорее обратиться к врачу при обнаружении первых характерных симптомов. Систематическое посещение стоматолога в целях профилактики (не реже 2-х раз в год) поможет вовремя предупредить негативные последствия.
Хирургическое дренирование
При флегмоне гнилостного типа показано хирургическое дренирование воспаления. Для этого производятся разрезы, через которые удаляют гной. После того как очаг воспаления был удален, пациенту назначают восстановительную терапию, включающую прием антибиотиков и использование бактерицидных повязок.
Терапию поверхностного воспаления при флегмоне правой ноги или левой, находящегося на начальном этапе развития, можно проводить посредством внутримышечного введения сильнодействующих антибиотиков («Гентамицин», «Ампиокс», натриевая соль бензилпенициллина). Допустим, прием антибиотиков широкого спектра перорально, например «Бисептола», «Сульфадиметоксина», «Ампициллина».
Причины флегмоны стопы
Непосредственная причина развития флегмоны стопы – это патогенные микроорганизмы, которые могут проникнуть в ее ткани следующими путями:
- через повреждения кожных покровов стопы. Реже инфекция может попасть в ткани через поврежденную ногтевую пластину;
- с током крови или лимфы из уже имеющихся в наличии очагов инфекции в организме;
- контактным путем – из порвавших ограниченных гнойников стопы.
С током крови инфекционный агент распространяется в основном из хронических очагов инфекции. Это могут быть:
- кариес – инфекционное разрушение твердых тканей зуба;
- тонзиллит – воспаление небных миндалин и небных дужек;
- реже – хроническая флегмона другой локализации.
Контактным путем инфекция «поступает» в ткани стопы из острых гнойно-инфекционных очагов при их прорыве – это:
- абсцесс – ограниченный гнойник мягких тканей;
- фурункул – гнойно-воспалительное поражение волосяного мешочка;
- карбункул – гнойный воспалительный процесс, в который втянуты нескольких волосяных мешочков, сальные железы, окружающая подкожная жировая клетчатка;
- пиодермия – поверхностное гнойничковое поражение кожи.
Также флегмонозное поражение может развиться при попадании химических веществ в ткани стопы – но таких случаев описано немного.
Флегмону стопы может вызвать инфекция:
- неспецифическая – чаще;
- специфическая – реже.
В первом случае чаще всего высеваются:
- стафилококки (наиболее часто – золотистый);
- стрептококки;
- кишечная палочка;
- протей
и некоторые другие.
Обратите внимание
Флегмона стопы может развиться на фоне анаэробной инфекции – возбудителей, которым для развития требуется среда без кислорода. Это более тяжелая форма заболевания, хотя развивается она реже.
Анаэробы, провоцирующие развитие флегмоны кисти могут быть:
- неспорообразующие – к ним относятся пептострептококки, пептококки;
- спорообразующие – чаще всего клостридии. Спорообразующие анаэробы часто выявляются при описываемой патологии: в грунте, с которым может контактировать стопа с поврежденной кожей, их находится большое количество, риск попадания в ткани высок.
Помимо острой, выделяют хроническую форму флегмоны стопы – чаще всего ее возникновение провоцируют те возбудители, которые приводят к развитию флегмоны кисти – это дифтерийная и паратифозная палочка, а также пневмококки.
Реже развитие флегмоны стопы начинается под воздействием специфического инфекционного агента. К таковому относятся:
- микобактерии туберкулеза;
- бледная трепонема
и некоторые другие.
Многие люди травмируют кожу стоп (натирают обувью, ранят при хождении босиком и так далее), но не у всех развивается флегмона. Выяснено, что данное заболевание чаще возникает на фоне ряда способствующих факторов – это:
-
эндокринные болезни. Классикой примера является сахарный диабет (сбой обмена углеводных соединений из-за нехватки инсулина). Флегмона стопы у пациентов с диабетической ангиопатией (поражением артерий стопы) возникает при малейшем повреждении кожи стопы, прогрессирует очень быстро, характеризуется тяжелым течением и быстрым развитием осложнений;
- ухудшение общего и местного иммунитета;
- сосудистые заболевания, сопровождающиеся нарушением микроциркуляции (кровотока на уровне тканей);
- истощение организма – после неполноценного питания или голодания, тяжелых операций и травм, на фоне затяжных хронических болезней (особенно опухолей злокачественной природы) и так далее.
Диагностические процедуры
Для постановки диагноза врачу необходимо собрать анамнез, осмотреть пациента и назначить диагностические процедуры.
Основные выводы делаются при осмотре и пальпации пораженного участка, тем не менее для подтверждения диагноза назначается:
- Анализ крови, если в нем повышен уровень СОЭ – это подтверждает наличие воспалительного процесса.
- Анализ содержимого флегмоны, для него из образования шприцем берется пункция, содержимое которой затем исследуется. Если в шприце находится густая желтоватая жидкость, это свидетельствует о наличии гноя.
- Исследование полученной жидкости для выявления возбудителя и назначения соответствующих лекарственных средств.
После точной постановки диагноза назначается терапия с помощью лекарственных препаратов или оперативного вмешательства.
Флегмона шеи
Абсцессы и флегмоны шеи относятся к разряду заболеваний, течение которых непредсказуемо, а последствия могут быть самыми тяжелейшими и даже опасными для жизни пациента. В большинстве случаев источником болезнетворной инфекции при флегмоне шеи являются воспалительные процессы в полости рта и глотки – фарингиты, ларингиты, хронический кариес зубов и тому подобные заболевания.
Поверхностные абсцессы и флегмоны шеи чаще всего возникают над глубокой шейной фасцией и поэтому они не представляют особой опасности, так как являются легкодоступными для оперативного вскрытия. Большинство флегмон шеи локализуются в подбородочной и подчелюстной областях. Клиническая картина при данном типе флегмон следующая: общая температура повышается до 39 градусов Цельсия, больной ощущает сильнейшие головные боли, общую слабость и недомогание.
Лабораторный анализ крови свидетельствует о повышенном содержании лейкоцитов. В случае отсутствия своевременного лечения флегмона прогрессирует, и воспаление распространяется на крупные вены лицевой области, также существует риск возникновения гнойного менингита.
Флегмона лица
Это довольно тяжелый подвид заболевания, возникающий преимущественно в височной области, около челюсти и под жевательными мышцами. При флегмоне лица у пациента наблюдается сильная тахикардия и повышение температуры тела до 40 градусов, ткани лица сильно отекают, происходит нарушение жевательной и глотательной функции.
Пациенты с подозрением на флегмону лица должны быть немедленно госпитализированы в специализированное медицинское учреждение (стоматологическое хирургическое отделение). При отсутствии лечения флегмоны лица прогнозы – всегда крайне неблагоприятные.
Особенности клинического течения
- Флегмона шеи. Особенно опасна надгрудинная флегмона, которая часто осложняется медиастинитом (воспалением средостения). Обычно такие флегмоны являются следствием гнойного тиреоидита или шейного лимфаденита. Отмечаются изменения голоса (отек связок) и, вследствие сдавления трахеи, затрудненное дыхание. Вариантом флегмоны шеи является «деревянистая» флегмона Реклю. Для нее характерно возникновение безболезненного, плотного инфильтрата тканей шеи.
- Флегмона кисти чаще протекает без абсцедирования. Для нее характерен выраженный отек тыльной стороны кисти, где гной не обнаруживается. Кроме этого, наблюдается увеличение кисти в объеме, пальцы чуть согнуты, а их движения резко болезненны (особенно разгибание). Больные носят руку на косынке или удерживают ее таким образом, чтобы кисть была выше локтевого сустава. При пальпации болезненна вся кисть. Подавляющее число случаев флегмоны кисти связано с травмой (инфицированные ссадины и раны).
- Флегмона стопы тоже протекает без абсцедирования. Для нее характерен выраженный отек тыльной стороны стопы, где гной не обнаруживается. Для флегмон стопы характерны сильные и ранние боли, вследствие быстрого нарастания отека (сила тяжести). Иногда из-за боли больные не могут посетить врача и находятся в постели, удерживая стопу в приподнятом положении.
Симптоматика
Течение болезни зависит от природы ее патогенного возбудителя. Например, при заражении гнилостным стафилококком или синегнойной палочкой развивается гнилостный тип флегмоны. При заражении облигатными анаэробами патология развивается очень агрессивно, симптомы появляются стремительно. Вирулентность слабо выражена при поражении ослабленными штаммами патогена, что способствует хроническому течению флегмоны, при котором симптоматика практически не проявляется. Тем не менее все виды патологии имеют общие клинические признаки, по которым заболевание может быть диагностировано.
При флегмоне ноги всегда можно наблюдать воспаление. Это самый явный признак наличия заболевания. Пораженная область приобретает припухлость, имеется легкое покраснение ввиду гноя, скопившегося под кожным покровом. Пальпация данного участка оказывается болезненной, а его температура повышена.
Еще один симптом флегмоны ноги – отечность. На фоне интоксикации тканей, расположенных вблизи очага заражения, наблюдается обширная отечность конечности.
Постельный режим
Пациенту в период лечения показан постельный режим, следует обеспечить покой поврежденной конечности. Область воспаления необходимо прогревать при помощи грелки. Симптоматическая терапия допускает прием препаратов, снимающих болезненность. Данный вид терапии должен быть в обязательном порядке согласован с компетентным специалистом, так как только врач может точно определить степень воспаления тканей. При самостоятельном лечении не исключено обширное поражение тканей в результате распространения патологического заболевания на ткани, расположенные вблизи очага воспаления.
Предоперационная подготовка
Операция по поводу флегмоны стопы проводится по экстренным показаниям, так как процесс распространения инфекции может быть очень стремительным.
С целью предоперационной диагностики и подготовки проводятся следующие мероприятия:
- УЗИ артерий и вен нижних конечностей
- Рентгенография костей стопы
- ЭКГ, осмотр терапевта
- Общий анализ крови и мочи
- Биохимический анализ крови (мочевина, креатинин, общий белок)
- Катетеризация мочевого пузыря
- Установка эпидурального катетера для обезболивания
После выполнения всех этих обследований пациент подается в операционную.
Что делать, если шов мокнет
Начало мокнутия – первый признак серозного воспаления. Экссудативная жидкость прозрачная или желтоватая. Сопровождается мокнутие воспалением раневой поверхности: формирующийся рубец красного цвета, горячий на ощупь, болезненный при пальпации.
Воспаление – это осложнение послеоперационного восстановительного периода, поэтому необходимо как можно быстрее сообщить об этом лечащему врачу и обратиться за медицинской помощью. В качестве первой помощи применяют подсушивающие средства: салициловая мазь, раствор борной кислоты, примочки с отваром коры дуба, мази и растворы на основе нитрата серебра.
Отделение густой, жёлтой или зеленоватой жидкости из полости раны говорит о присоединении гнойной инфекции – серьёзное осложнение послеоперационного периода. Лечебные мероприятия должны быть начаты безотлагательно, как можно раньше.
Гнойное воспаление протекает с яркой клинической картиной. Помимо отделяемого из раны, больного беспокоят слабость, лихорадка. Температура поднимается до 39-40С. Раневая поверхность ярко-красного цвета, горячая на ощупь, резко болезненная при пальпации. Кожа вокруг шва лоснится и напряжена.
При появлении подобных симптомов на дому, пациент должен незамедлительно обратиться в приёмный покой стационара или к хирургу в поликлинику по месту жительства. В качестве первой помощи используют промывание швов раствором перекиси водорода, повязки с Левомеколем или мазью Вишневского. Прижигание перманганатом калия или зелёнкой делать не рекомендуется, так как это затруднит работу врачу при обработке швов.
Общее ухудшение
Также пациент отмечает общее ухудшение самочувствия. Распространение патологии и разрушение тканей сопровождается инфильтрацией близлежащих областей. Общее состояние инфицированного ухудшается, возникает сильный жар. При отсутствии надлежащего лечения наступает тяжелая степень интоксикации организма.
Важно отметить, что под флегмону может маскироваться такое заболевание, как гемостатический дерматит, не являющееся инфекционным. Оно возникает при ухудшении кровоснабжения в области поражения.
Флегмона кисти
Возникает в глубоких подкожных районах кисти. Как правило, воспаление возникает в результате попадания гнойной инфекции сквозь царапины, ранки и порезы. Существуют следующие подвиды флегмоны кисти: на срединной ладонной области, на возвышении большого пальца и флегмона в виде запонки. Флегмона кисти может образоваться на любом месте кистевого пространства с последующим распространением на тыльную сторону руки. Больной ощущает сильную пульсирующую боль, ткань кисти значительно отекает.
Общие данные
Флегмона стопы является «популярной» патологией, с которой очень часто сталкиваются в гнойной хирургии. Частая травматизация мягких тканей этого сегмента нижней конечности, а также особенности строения приводят к довольно быстрому формированию гнойного процесса и распространению гноя из первичного участка по всем тканям стопы. Также данную патологию относят к числу тех, с которыми в клинику очень часто поступают в запущенных случаях.
Флегмона стопы диагностируется в любом возрасте – от младенческого до пожилого. Пик заболеваемости выпадает на трудоспособный возраст (35-45 лет), так как инфицирование тканей стопы, которое ведет к образованию гноя, в основном связано с мелкими ранениями, полученными на производстве. По этой же причине мужская часть населения болеет чаще, чем женская. Заболеваемость среди женщин высокая за счет травматизации стоп неудобной обувью (натертости, мелкие ранки) и выполнения педикюра у частных лиц, которые не слишком скрупулезно придерживаются в работе санитарно-гигиенических норм.
Как диагностируют проблему
Диагностировать патологию может врач-стоматолог в ходе визуального осмотра и сбора анамнеза. Как правило, достаточно видимых признаков проблемы и жалоб пациента, чтобы поставить диагноз и назначить лечение. Дополнительные диагностические мероприятия могут понадобиться для определения точных масштабов поражения и локализации очага воспаления. УЗИ и компьютерную томографию назначают в тех ситуациях, когда флегмона сформировалась глубоко в толще мягких тканей.
На фото изображено выполнение томографии
Что такое флегмона и ее особенности
Провоцирующим фактором развития является наличие кожных повреждений. Имеющиеся дефекты эпидермиса позволяют патогенной или условно-патогенной микрофлоре проникнуть вглубь дермы до ее сетчатого слоя. В толщине кожного покрова происходит активный рост и размножение бактерий. Продукты их жизнедеятельности (эндо- и экзотоксины) оказывают цитопатическое действие на клетки кожи, вследствие формируется экссудат.
Болезнь является инфекционной патологией, склонной к распространению воспалительного процесса по кровеносным, лимфатическими путями и мышечно-фасциальным пространствам.
Для патологии характерны три главные черты:
- опасность для жизни;
- распространенность на голень;
- осложнения остеомиелитом.
Выделяют варианты распределения гноя по стопе:
- Дистально (отдаленно от места инфильтрации) – в данном направлении инфекция поражает все существующие фасциальные пространства подошвенной части и иногда переходит на фаланги пальцев. Гнойный экссудат в данном случае проходит по комиссуральным отверстиям и по каналам мышц, располагающихся между пальцев.
- Проксимально (к верху от места инфильтрации) – в этом направлении нагноение возникает исключительно в переднем костно-фиброзном влагалище голени. Инфильтрат располагается в пяточном и лодыжковом каналах соединяясь с глубоким фасциальным пространством.
Важной особенностью данной патологии является широта поражения конечности в медиальной, срединной и латеральной ориентациях. Медиально (внутрь) ихор (продукт распада тканей) распределяется вдоль сухожилия, отвечающего за сгибание большого пальца, к медиальному фасциальному пространству. Срединно инфекция двигается по направлению всех близлежащих областей стопы. Латерально (кнаружи) воспалительный выпот направляется по сухожилию сгибателей пальцев до латерального фасциального пространства.
В патологический процесс могут вовлекаться мышцы, кости или суставы.
Возможные осложнения и профилактика
Близость лимфатической и кровеносной системы к тазобедренной области делает их наиболее уязвимыми. Осложнения, которые могут развиться на фоне флегмоны:
- тромбофлебит;
- лимфангит;
- лимфаденит;
- рожистое воспаление;
- сепсис.
К редким и опасным последствиям относят гнойный артериит, гнойный артрит, остеомиелит, гнойный плеврит.
Главная профилактическая мера против флегмоны — обеззараживание поврежденных участков. Любая открытая рана или ссадина может стать очагом инфекции. Чтобы этого не произошло, следует следить за её чистотой, своевременно менять повязки и использовать антисептики до полного заживления.



















