Амебиаз – протозойное антропонозное заболевание, характеризующееся развитием язвенного колита и абсцедированием внутренних органов. Оно широко распространено в странах с субтропическим и тропическим климатом. В последние годы амебиаз стал диагностироваться и в других регионах, что объясняется развитием зарубежного туризма и ростом миграции населения, однако эпидемиологические вспышки здесь практически не наблюдаются, заболевание регистрируется в виде спорадических случаев.
Амебиаз чаще всего поражает детей старших возрастных групп и людей среднего возраста. В общей структуре смертности от паразитарных инфекций он занимает второе место, уступая только малярии.
Иммунитет при заболевании нестерильный. Невосприимчивость к инфекции сохраняется только на период обитания в просвете кишечника возбудителя амебиаза.

Дизентерийная амеба — возбудитель амебиаза
Дизентерийная амеба впервые была обнаружена в кале больного в 1875 году Ф. А. Лешом. В 1925 году Э. Брумпт разделил Entamoeba histolityca на два вида — патогенный (Entamoeba dysenteria) и непатогенный (Entamoeba dispar).
Дизентерийная амеба в своем развитии проходит две стадии: вегетативную и цистную.
- В вегетативной стадии амебы существуют в большой вегетативной (тканевой), просветленной и предцистной формах.
- В стадия покоя амеба существует в форме цисты.

Большая вегетативная форма (тканевая), forma magna дизентерийной амебы
Амебиаз начинается с внедрения трофозоита в слизистую оболочку и подслизистый слой толстого кишечника. Под влиянием специального фермента происходит разрушение (некроз) тканей, появляются язвы. Дизентерийные амебы в тканевой форме обладают способностью поглощать эритроциты. Из размер достигает 40 мкм и более. При движении амеба вытягивается и образует псевдоподии, при этом ее длина может достигать 80 мкм. В тканевой форме возбудители обнаруживаются в острой фазе заболевания в пораженных тканях, редко — в испражнениях.

Полупрозрачная форма (просветная), forma minuta дизентерийной амебы
Это мелкая вегетативная и нетканевая форма возбудителя обнаруживается у людей, ранее перенесших амебиаз кишечника, при хронических формах заболевания, в период ремиссии и у носителей. Отличаются мелкими размерами (до 25 мкм) и вялым движением, округлой формой, не фагоцитируют эритроциты, питаются продуктами распада тканей (детритом), поглощают бактерии, которые можно увидеть в ее вакуолях.

Предцистная форма дизентерийной амебы
Предцистная форма является переходной от просветленной формы к цисте. Предциста имеет мелкий размер (до 18 мкм), бактерии не поглощает.
Вегетативные формы дизентерийной амебы быстро погибают во внешней среде
Стадия цисты дизентерийной амебы
Дизентерийная амеба в стадии цисты имеет мощную защитную оболочку, что обеспечивает выживание вида во внешних неблагоприятных условиях. Цисты можно обнаружить в испражнениях выздоравливающих и цистоносителей. В нижних отделах тонкого и верхних отделах толстого кишечника цисты лишаются своей внешней оболочки и превращаются в активные быстроразмножающиеся формы.
Циста имеет округлую форму, ее размер в диаметре составляет в среднем около 12 мкм (7 — 20 мкм), содержит 4 ядра (незрелые цисты содержат 1 — 3 ядра).

Эпидемиология
Источником возбудителя является больной человек в стадии ремиссии, реконвалесцент, носитель возбудителя, выделяющий цисты с фекалиями. Процесс выделение цист носителями может быть чрезвычайно длительным (на протяжении многих лет). Характерен фекально-оральный механизм передачи возбудителя, реализующийся при употреблении инфицированных продуктов питания и воды, через загрязненные руки или предметы домашнего обихода. Значительно реже перенос цист осуществляется насекомыми (тараканами/мухами). Естественная восприимчивость людей к амёбиазу достаточно высокая (показатель индекса контагиозности 20%). После перенесённого заболевания у пациента формируется относительный и кратковременный иммунитет.
Эпидемиология заболевания
Дизентерийная амеба в естественных условиях паразитирует только в организме человека. Больные, выздоравливающие, носители и лица с хроническими формами амебиаза являются источниками инфекции. Единственный путь передачи инфекции — фекально-оральный. Возбудители в организм человека попадают в виде цист с пищевыми продуктами и водой (пищевой путь), либо через предметы быта (контактно-бытовой). Дизентерийные амебы передаются среди гомосексуалистов половым путем. Распространяют цисты мухи и тараканы.
Способствует распространению инфекции низкий уровень санитарно-коммунального благоустройства. Основные места распространения инфекции являются страны с субтропическим и тропическим климатом.
Вегетативные формы дизентерийной амебы вне организма погибают в течение 20 — 30 минут. Цисты обладают высокой выживаемостью во внешней среде. В одном грамме фекалий содержится несколько миллионов цист. Они загрязняют почву, сточные воды, открытые водоемы, предметы быта и производства, продукты питания, фрукты и овощи.
- Несколько дней цисты дизентерийных амеб сохраняются на продуктах питания.
- В кале остаются жизнеспособными от 3 до 30 дней при положительной температуре (10 — 20° С), и до 110 дней при отрицательной температуре (от -1 до -21 ° C).
- До 60 дней цисты сохраняют жизнеспособность в естественных водоемах, до 30 дней — в водопроводной воде, до 130 дней — в сточных водах.
- До пяти минут цисты живут на коже рук, до 1 часа — в подногтевом пространстве.
- В молочных продуктах цисты сохраняют жизнеспособность до 15 дней при комнатной температуре.
- До 25 дней цисты выживают на стекле, металлических поверхностях и полимерах.
- Цисты дизентерийных амеб погибают при кипячении.

Общие сведения
Амебиаз относится к группе протозоозы (антропонозные протозойные заболевания), возбудителями которых являются простейшие. Для него характерен широкий диапазон симптоматики — от бессимптомного носительства до выраженных кишечных (кишечный амёбиаз) и внекишечных поражений — кожа, печень, легкие, мозг, плевра (внекишечный амебиаз). Широко распространенное заболевание, преимущественно в странах с тропическим/субтропическим климатом — Индия, страны центральной/южной Америки, Африки (Гана, Бенин, Нигерия, Берег Слоновой Кости), Азии (Китай, Корея), где показатели инфицированности населения дизентерийной амебой могут достигать 25-40%. Следует отметить, что практически у 85-90% инфицированных лиц встречается неинвазивный амёбиаз (носителями амёб без каких-либо клинический проявлений) и лишь у 10-15% инфицированных лиц развивается инвазивный (с клиническими проявлениями) амёбиаз. Распространение заболевания обусловлено низким экономическом, санитарно-гигиеническим уровнем жизни, высокой миграцией населения. Среди паразитарных инфекций по показателям смертности в мире занимает третье место после малярии и шистосомозов. В России амебиаз у взрослых и детей регистрируется как спорадическое заболевание, в виде завозных случаев среди зарубежных туристов, эпидемические вспышки встречаются крайне редко. Однако, по мнению специалистов в отношении амебиаза отмечается гиподиагностика и около 50% случаев своевременно не распознается, а пациенты проходят лечение с ошибочными диагнозами шигеллеза, банальных колитов, диспепсии, дисбактериоза, а в ряде случаев больные амебиазом расцениваются как «здоровые» цисто/амебоносители и вообще не лечатся.
В странах СНГ к регионам эндемичным по амебиазу относится Закавказье (Армения, Грузия) и Средняя Азия (Туркмения, Киргизия). Наиболее часто встречаемой формой амебиаза является амёбная дизентерия (амебный дизентерийный колит). В настоящее время при условии ранней диагностики и адекватной терапии кишечный амебиаз является практически полностью излечиваемым заболеванием, за исключением молниеносного амёбного колита.
Как происходит заражение (патогенез)
При попадании в организм человека цисты дизентерийных амеб проникают в дистальный отдел тонкого кишечника и начальный отдел толстой кишки, где их оболочка растворяется, каждое ядро делиться надвое. Из восьмиядерной амебы образуется восемь малых просветных (полупрозрачных) форм, каждое из которых имеет одно ядро (трофозоиты). Просветные формы, питаясь бактериями, быстро размножаются (деление происходит каждые два часа). Продвигаясь с содержимым кишечника и достигнув нижних отделов толстого кишечника, просветные формы превращаются в цисты и с фекалиями выводятся в наружу.
- В случае бессимптомного течения дизентерийные амебы живут в просвете толстого кишечника в содружестве с другими микробами, питаются детритом, бактериями и грибами.
- Под влиянием целого ряда факторов (массивность инвазии, воспаление и микротравмы кишечника, гельминтоз, изменения гормонального фона, стресс и голод) амеба превращается в большую вегетативную (тканевую) форму, внедряется в стенку кишечника и поражает его.

Поражение кишечника в острый период амебной дизентерии
При помощи лектинов (белковых агглютининов) паразиты прикрепляются к слизистой кишечника. Специально вырабатываемые амебами ферменты (протеазы и гемолизины) расплавляют ткани стенки кишечника и проникают вглубь. В подслизистом слое бактерии интенсивно размножаются. Продукты их жизнедеятельности и распада тканей всасываются в кровь, обуславливая появления симптомов интоксикации. Специфический процесс развивается во всем кишечнике с преимущественной локализацией в слепой и восходящей кишке.
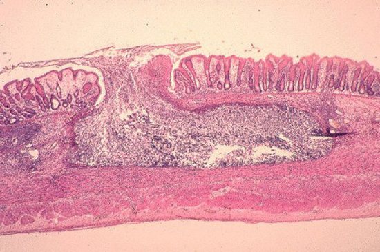
В местах локализации амеб образуются микроабсцессы, которые прорываются в просвет кишки. Диаметр образованных язв составляет 2 — 20 мм. Они имеют неровные подрытые края и некротические массы коричневого цвета на дне. Со временем язвы очищаются и заживают. Образованная фиброзная ткань стягивает петли кишечника, что приводит к стенозу слепой и сигмовидной кишки. На слизистой кишечника одновременно можно увидеть небольшие эрозии, «цветущие» язвы, заживающие и рубцовую ткань.

Поражение кишечника при хронической амебной дизентерии
При хронической форме амебиаза кишечника патологический процесс локализуется, в основном, в слепой, восходящей части толстой, сигмовидной и прямой кишках. При тяжелом течении заболевания отмечается поражение всего толстого кишечника, в котором развиваются псевдополипы, амебома (воспалительная гранулема) и мегаколон (острое расширение толстой кишки).
- При распространении амеб на кожу перианальной области образуются изъязвления.
- При проникновении в брыжеечные сосуды и распространении амеб с кровью поражаются внутренние органы. В печени, желчных путях, брюшной полости, легких, плевре, головном мозге, почках и поджелудочной железе образуются амебные абсцессы.
- Кишечные язвы могут привести к перфорации кишечника, что приводит к развитию перитонита.
- Разрушение крупных сосудов может привести к профузному кишечному кровотечению.

Причины и факторы риска
Возбудителем амебиаза является Entamoeba histolytica (гистолитическая амеба), относящаяся к простейшим. Жизненный цикл паразита представлен двумя сменяющими друг друга в зависимости от условий окружающей среды стадиями: цисты (стадия покоя) и трофозита (вегетативной формы). Трозофит проходит ряд стадий развития, в каждой из которых может пребывать длительно:
- тканевая форма – характерна для острого амебиаза, обнаруживается в пораженных органах, изредка в кале;
- большая вегетативная форма – обитает в кишечнике, поглощает эритроциты, обнаруживается в фекалиях;
- просветная форма – характерна для хронического амебиаза, обнаруживается также в стадии ремиссии в кале после приема слабительного средства;
- предцистная форма – так же, как и просветная, характерна для хронического амебиаза и амебиаза в стадии ремиссии (реконвалесценции).

Источником инфекции являются больные хронической формой амебиаза в стадии ремиссии и цистоносители. При острой форме заболевания или обострении хронической больные выделяют в окружающую среду нестойкие вегетативные формы Entamoeba histolytica, не представляющие эпидемиологической опасности.
Механизм заражения – фекально-оральный. Путь передачи возбудителя амебиаза – пищевой, водный, контактный. Попав в нижние отделы желудочно-кишечного тракта зрелые цисты превращаются в просветную непатогенную форму, которая питается кишечными бактериями и детритом. В дальнейшем эта форма либо вновь превращается в цисты, либо становится большой вегетативной формой паразита. Последняя выделяет протеолитические ферменты, позволяющие ей проникнуть в толщу кишечной стенки, где она превращается в тканевую форму.
Тканевая форма возбудителя амебиаза паразитирует в подслизистом и слизистом слое стенок толстого кишечника, приводя к постепенному разрушению эпителиальных клеток, образованию микроабсцессов и нарушениям микроциркуляции. Все это в результате становится причиной образования множественных язв толстого кишечника. Патологический процесс локализуется преимущественно в области слепой кишки и восходящей части ободочной кишки, значительно реже поражает прямую и сигмовидную кишку.
С током крови гистолитические амебы разносятся по организму и попадают во внутренние органы (поджелудочная железа, почки, головной мозг, легкие, печень), приводя к образованию в них абсцессов.
Факторами, повышающими риск заражения амебиаза, являются:
- низкий социально-экономический статус;
- проживание в регионах с жарким климатом;
- несоблюдение правил личной гигиены;
- несбалансированное питание;
- стресс;
- дисбактериоз кишечника;
- иммунодефицит.
Иммунитет при амебиазе
Кроме активации клеточного звена иммунитета внедрение в организм человека дизентерийной амебы сопровождается выработкой специфических антител — иммуноглобулинов IgA. Так при абсцессе печени в сыворотке крови больных регистрируются высокие титры антител на 17-й день заболевания. Секреторные IgA-protivooterne обнаруживаются в грудном молоке и слюне больных.
При амебиазе иммунитет приобретенный, нестойкий и нестерильный. От рецидивов заболевания и повторных заражений не защищает.
Этиология
Возбудитель амебиаза (Entamoeba histolytica) был открыт русским ученым Ф. А. Лешем в 1875 г. Из организма человека можно выделить три формы амеб:
- тканевая форма подразумевает наличие крупных амеб, очень подвижных, жадно фагоцитирующих эритроциты; эта форма выделяется из испражнений больного при острой стадии амебиаза или при обострениях хронической ее формы;
- просветная форма обычно выделяется при затихании острого периода амебиаза и наступлении клинического выздоровления, а также при так называемом «бессимптомном носительстве»; амеба просветной формы менее подвижна и не захватывает эритроцитов;
- большая вегетативная форма характеризуется образованиями сферической или овальной формы, содержащими от 1 до 4 ядер. В отличие от обыкновенной кишечной амебы, дизентерийная (гистолитическая) амеба в своей вегетативной форме имеет более значительные размеры (до 50 мкм). В ней обычно обнаруживаются фагоцитированные эритроциты.
Формы заболевания
- Клинические формы амебиаза: кишечная, внекишечная и кожная.
- По клиническому течению амебиаз подразделяется на бессимптомный (85 — 95%) и симптомный (5 — 15%).
- Течение заболевания может быть молниеносным, острым, хроническим и латентным.
- Различают рецидивирующее и непрерывное течение амебиаза кишечника.
- Клиническая форма непрерывной формы хронического кишечного амебиаза: медленно прогрессирующая и быстропрогрессирующая.
- Клинические формы внекишечного амебиаза (5%): амебиаз печени, селезенки и перикарда, бронхолегочный, церебральный, кожный и мочеполовой амебиаз.
Методы диагностики
Чтобы определить у человека амебную дизентерию или амебиаз, симптомы которой уже начали проявляться, необходимо использовать несколько методов диагностики. Особое внимание нужно обратить на динамику течения заболевания, эпидемиологические данные и состояние стула больного. На втором этапе обычно проводится лабораторный анализ мочи и кала, а в некоторых случаях – мокроты и соскобов (при наличии абсцессов внутренних органов), и биоптатов конкретных участков тела. Если получить испражнения естественным путем не возмоно, то применяется так называемый провокационный метод – прием слабительного. Однако стоит иметь в виду, что при серьезных обострениях слабительные препараты использовать противопоказано.
Помимо этого, если невозможно получить испражнения больного, рекомендуется проводить эндоскопию. Данный метод диагностики заболевания подразумевает взятие биоптата – биологического материала со стенок кишки. С его помощью проводится оценка язвенных поражений, которые образовались в результате активности амеб. С целью обнаружения антител проводятся такие процедуры, как иммуноферментный анализ и иммунофлюоресценция. Из дополнительных методов диагностики можно выделить ультразвуковое исследование почек и брюшной полости, общие анализы кала и мочи, а также биохимические анализы.
Симптомы острого амебиаза кишечника
Инкубационный период кишечного амебиаза составляет от 1 недели до 4-х месяцев и более. Болезнь начинается с частого стула до 6-и раз в сутки. Фекалии обильные с примесью слизи. Симптомы интоксикации в начальный период отсутствуют.
Постепенно состояние больного ухудшается. Через 5- 7 дней исчезает каловый характер испражнений. Они представляют собой стекловидную слизь, со временем в которой появляется кровь. Испражнения приобретают вид «малинового желе». Нарастают признаки интоксикации. Повышается температура тела, пропадает аппетит, у больного появляется тошнота и рвота. Появляются вздутие и боли внизу живота, болезненность по ходу толстого кишечника, При заболевании могут поражаться разные отделы кишечника — цекосигмоидный, ректальный, поражение аппендикса.
При эндоскопическом исследовании в толстом кишечнике обнаруживаются язвы от 2 до 20 мм в диаметре, располагающие на гребнях кишечных складок и в глубоких слоях слизистой оболочки. Они имеют неровные подрытые края. На дне видны некротические массы коричневого цвета. Каждая язва окружена «пояском» гиперемии. Окружающая слизистая оболочка не изменена.
При ирригоскопии выявляется неравномерное заполнение всех отделов толстого кишечника, участки спазма и быстрое его опорожнение.
Амебиаз у детей начинается остро. Температура тела повышается до 39°C. Появляется тошнота и рвота. Ребенок становится сонливым. Стул до 15 раз в сутки, жидкий или пастообразный. Быстро развивается обезвоживание организма.
Продолжительность острого периода составляет 4 — 6 недель. Далее начинается период ремиссии продолжительностью до одного месяца и более. Без адекватного лечения заболевание вновь возобновляется и приобретает хроническое течение в течение многих лет.
Рис. 10. Язвы при амебной дизентерии на верхушках гребней слизистой кишечника, 2 — очаги глубокого распада (фото справа).
Классификация
В соответствии с патоморфологическими изменениями и симптоматикой выделяют «инвазивный» и «неинвазивный» амёбиаз. Для инвазивного амёбиаза (развиваются патологические изменения) характерны:
- Клиническая манифестация заболевания.
- Наличие в фекалиях трофозоитов.
- Появление при эндоскопических исследованиях характерных изменений в слизистой кишечника.
- Наличие специфических антител при проведении серологического теста.
Для «неинвазивного» кишечного амёбиаза (носительство) характерны:
- Отсутствие клинической симптоматики.
- Отсутствие в фекалиях трофозоитов.
- При эндоскопических исследованиях – отсутствие патологических изменений в слизистой толстой кишки.
- Отсутствие специфических антител.
Клиническая классификация амебиаза включает бессимптомное носительство, амебную дизентерию, гастроэнтерит, амебому, осложненный кишечный амебиаз, постамебный колит.
По выраженности симптоматики выделяют: манифестную и субклиническую форму.
По длительности течения: острый (до 3 мес.); подострый (до 6 мес.); хронический (более 6 мес.).
По характеру течения: непрерывно прогрессирующий и рецидивирующий амебиаз.
Симптомы молниеносной формы амебиаза кишечника
В 10% случаев регистрируется молниеносная форма амебной дизентерии, протекающая с профузной диареей. Быстро развивается токсикоз и обезвоживание, приводящее к истощению больного. В кишечнике появляются обширные язвы. Разрушение крупных сосудов приводит к появлению кровотечения. Перфорация кишечника приводит к развитию перитонита. Часто развивается абсцесс печени и амебный гепатит.
Молниеносная форма кишечного амебиаза развивается у ослабленных и больных с иммунодефицитом. Подвержены заболеванию маленькие дети, пожилые люди, беременные и больные, получающие гормональную терапию.
Рис. 11. Эндоскопическая картина амебиаза кишечника.
Пути передачи инфекции
Источником возбудителя амебиаза являются здоровые носители и больные амебиазом.
Существуют следующие пути передачи:
- Фекально-оральный путь. Чаще всего это водный путь, но иногда и алиментарный путь заражения также случается.
- Контактно-бытовой путь («грязные руки»).
Условия быта, поставки воды, экологическое состояние городов и деревень, степень культурного развития населений определяют различный уровень заразности амебиазом. Для кишечной инфекции нехарактерна сезонность заболевания. Уровень распространения болезни зависит от попадания возбудителя амебиаза в воду.
Симптомы хронического амебиаза кишечника
Хронический амебиаз кишечника протекает в виде непрерывной или рецидивирующей формы. При отсутствии антипаразитарного лечения заболевание длится около 10 лет.
Рецидивирующее течение заболевания характеризуется периодически возникающими вздутием кишечника и урчанием в животе, расстройством стула, появляются боли в правой нижней части живота, которые нередко принимаются за проявления аппендицита. В периоды обострений общее состояние остается удовлетворительным, температура тела не повышается.
При непрерывном течении амебиаза отмечается постепенное нарастание таких симптомов, как боли в животе, диарея чередуется с запорами, повышается частота стула, в кале появляется кровь, иногда повышается температура тела, постепенно увеличивается печень. Недостаточное всасывание белков и витаминов приводят к истощению организма и развитию астенического синдрома. Развивается гипохромная анемия. Больной теряет вес. Снижается аппетит, появляется неприятный привкус во рту, черты лица заостряются. Язык густо обложен серого цвета налетом, живот втянут, тоны сердца глухие, частота сердечных сокращений повышается.
При ректороманоскопии выявляются язвы, кисты, полипы и амебомы (воспалительные гранулемы), которые на рентгенограммах дают дефект наполнения, стимулируя опухоли. Развитие рубцовой ткани приводит к стенозированию (сужению) кишечника.
В 70% случаев хронический амебиаз кишечника прогрессирует медленно с малозаметными симптомами. Стул около 5 раз в сутки, иногда отмечается примесь слизи и крови. Спустя некоторое время появляются боли в кишечнике.
В 30% случаев заболевание приобретает прогрессирующее течение. Диарея и схваткообразные боли в животе появляются одновременно. Уже на 2 — 3 день заболевания в кале появляется слизь и кровь. Температура тела субфебрильная. Недостаточное поступление в организм питательных веществ и витаминов быстро приводят больного к астенизации и истощению.
Рис. 12. При прогрессирующем течении заболевания быстро наступают астенизация и истощение больного.
Диагностика
Клиническая картина амебиаза при весьма большом сходстве с картиной бактериальной дизентерии имеет ряд характерных симптомов. В то время как бактериальная дизентерия начинается остро и заставляет больного в первые же дни заболевания обратиться за лечебной помощью, развитие амебиаза чаще протекает постепенно. Расстройства терморегуляции в большинстве случаев наступают после кишечных явлений, причем расстройства кишечника вначале проявляются энтеритом, колитические же явления наступают позже.
Поражение кишечника при амебиазе имеет нисходящий характер: вначале поражается слепая кишка, затем уже дистальные отрезки – сигмовидная и прямая кишки. Таким образом, амебиаз в свежих случаях дает картину правостороннего колита. Однако разница в клиническом течении затяжных и хронических форм сглаживается, из-за чего обострения этих форм могут иметь одинаковую картину как при бактериальной дизентерии, так и при амебиазе.
Характерны для амебиаза длительные ремиссии, когда кажется, что больной полностью выздоровел, в то время как при бактериальной дизентерии подобные ремиссии значительно короче. Пальпаторная чувствительность слепой кишки при амебиазе встречается часто, а при дизентерии значительно реже. Считающийся характерным для амебиаза стул в виде малинового желе встречается не всегда. Значительную услугу при распознавании амебиаза оказывает копрологическое и ректороманоскопическое исследование.
Для амебиаза характерна следующая цитологическая картина: увеличение количества макрофагов, наличие плазматических клеток, эозинофилия (иногда до 70%), псевдопикнотические нейтрофилы. Диагностическое значение такой копроцитограммы для амебиаза еще больше повышается, если в кале находят кристаллы Шарко-Лейдена. Обнаружение в кале больного эозинофилов и кристаллов Шарко-Лейдена может иметь диагностическое значение и при отсутствии Entamoeba histolytica.
Классической картиной при ректороманоскопии больных амебиазом является наличие небольших, но глубоких язв с инфильтрированными, подрытыми кратерообразными краями; дно язв бывает или кровоточащим, или сальным. Слизистая оболочка между язвами представляется нормальной.
Однако такая типичная ректороманоскопическая картина при амебиазе встречается редко. При длительных поражениях, а также при тяжелых формах процесс настолько распространяется, что наступает гиперемия всего кишечника и, наряду с типичными язвами, имеется диффузное поражение слизистой с большим или меньшим количеством эрозий различной величины. Абсолютным, или решающим, доказательством амебиаза является нахождение амеб в свежем кале или же в соскобе со слизистой.
Внекишечный амебиаз
Внекишечные формы амебиаза составляют около 5%. Различают амебиаз печени, перикарда и селезенки, бронхолегочный, церебральный, мочеполовой и кожный амебиаз. При заболевании во внутренних органах образуются абсцессы — единичные и множественные. Болезнь часто протекает длительно. Периоды ремиссии сменяются периодами обострений. Рядом ученых внекишечные формы амебиаза рассматриваются как осложнение кишечного амебиаза.
Амебиаз печени
Амебиаз печени имеет острое, подострое и хроническое течение, протекает в виде абсцесса печени или амебного гепатита. Заболевание возникает как в период острого кишечного амебиаза, так и спустя месяцы и даже годы после него. В 30 — 40% выявить признаки поражения кишечника у больного не удается. Амебы в кишечнике выявляются у каждого пятого больного. Мужчины болеют в 24 раз чаще женщин. Каждый четвертый больной погибает от осложнений заболевания.
Рис. 13. На фото амебный абсцесс печени.
Амебный гепатит
Амебный гепатит развивается в период острого кишечного амебиаза. Печень в течение нескольких дней равномерно увеличивается, иногда значительно. Отмечаются боли в правом подреберье. Температурная реакция умеренная. В крови повышается уровень лейкоцитов. Амебный гепатит может протекать остро, но чаще имеет хроническое течение.
Амебный абсцесс печени. Острое течение
Считается, что амебный гепатит является первым этапом нагноения (образования абсцесса). Абсцессы при амебиазе бывают единичными и множественными, чаще располагаются в правой доле печени. Заболевание протекают с явлениями выраженной интоксикации и сильными болями в правом подреберье.
Острое течение характеризуется повышением температуры тела и нарастающей слабостью. Лихорадка часто гектического типа с повторными ознобами. Появляются боли в правом подреберье, которые постепенно усиливаются, иррадиируют в правую лопатку и плечо при малейшем движении. При пальпации определяется увеличенная печень, печеночная тупость увеличивается больше кверху, при больших размерах абсцесса можно определить флюктуирующий участок на передней поверхности печени. Живот вздут, при пальпации напряжен в правом подреберье. При больших абсцессах развивается желтуха.
В крови определяется повышение СОЭ и нейтрофильный лейкоцитоз, достигающий временами 50х109 / л. Постепенно больной теряет вес, щеки вваливаются, черты лица заостряются, снижается тургор кожи. Тоны сердца становятся глухими. Снижается артериальное давление.
Выявляются абсцессы печени при ультразвуковом исследовании и радиоизотопном сканировании. При рентген-исследовании отмечается высокое стояние диафрагмы, уменьшается подвижность правого купола, при локализации абсцесса в поддиафрагмальной области печени в правом плевральном синусе определяется выпот.
Длительность заболевания составляет не более 10-и дней. Осложнения развиваются очень быстро.
Рис. 14. Вскрывшийся амебный абсцесс печени.
Амебный абсцесс печени. Хроническое течение
Хроническое течение амебного абсцесса печени протекает спокойно, без выраженных симптомов интоксикации и часто нормальной температурой тела. Со временем появляются распирающие боли в правом подреберье, печень увеличивается, становится болезненной при пальпации. По мере увеличения абсцесса на ее поверхности определяется опухолевидное образование, подчас достигающее 10 см в диаметре.
На 17-й день заболевания в крови больных определяются высокие титры специфических антител — иммуноглобулинов.
Рис. 15. Хронический амебиаз печени.
Осложнения амебного абсцесса печени
- При прорыве абсцесса может образоваться поддиафрагмальный абсцесс, осумкованный перитонит, гнойный перикардит, плеврит и медиастинит.
- При прорыве абсцесса в бронх образуется печеночно-бронхиальный свищ. В момент прорыва у больного появляется кашель с большим количеством мокроты, содержащей некротические массы. В мокроте можно обнаружить амебы.
- При прорыве абсцесса через кожные покровы в области свища развивается специфическое поражение.
Амебиаз легких
В легкие амебы могут попасть как гематогенным путем, так и при прорыве абсцесса в плевральную полость.
Пневмония при амебиазе протекает с повышенной температурой тела, кашлем, одышкой, болями в грудной клетке, в мокроте появляется кровь и гной, в крови повышается количество лейкоцитов. Течение амебных пневмоний чаще вялое. Отсутствие противопаразитарного лечения приводит к развитию абсцесса.
Амебные абсцессы в легочной ткани склонны к хроническому течению. Субфебрильная температура тела периодически сменяется резкими подъемами. Мокрота выделяется в большом количестве, из-за наличия крови она приобретает шоколадную окраску или вид «анчоусного соуса». Иногда в мокроте обнаруживаются амебы. На рентгенограмме определяется полость с горизонтальным уровнем жидкости.
Амебный абсцесс осложняется гнойным плевритом, эмпиемой, пневмотораксом, перикардитом, печеночно-легочным свищом.
Рис. 16. На фото амебный абсцесс печени. На дне полости виден горизонтальный уровень жидкости.
Церебральный амебиаз
Церебральный амебиаз развивается в результате распространения простейших гематогенным путем. Абсцессы в головном мозге могут быть единичными и множественными. Чаще располагаются в левом полушарии. Возникают как очаговые, так и общемозговые симптомы. Сильные головные боли, тошнота и рвота — основные из них. Неврологические симптомы зависят от локализации патологического очага и степени поражения мозговых структур. Диагностика абсцесса при жизни затруднена. При остром течении заболевание всегда заканчивается смертельным исходом.
Рис. 17. На фото амебный абсцесс головного мозга.
Кожный амебиаз
Кожный амебиаз чаще всего развивается у лиц с иммунодефицитом, ослабленных и истощенных больных. Процесс локализуется, в основном, на кожных покровах перианальной области, ягодицах и промежности. Амебы внедряются в кожу из фекальных масс, где находятся в большом количестве. Иногда амебы распространяются с кровью из первичных очагов и поражают кожу вокруг свищей или вблизи операционных швов, наложенных после вскрытия абсцессов. Передается инфекция среди гомосексуалистов, имеющих бородавчатые изъязвления в области гениталий и заднего прохода.
Вначале поражения образуются единичные эрозии. Далее эрозии превращаются в глубокие малоболезненные язвы с гнойно-геморрагическим отделяемым, почерневшими краями, с исходящим зловонным запахом. Иногда на коже (чаще живота) при амебиазе образуются плотные опухолевидные гранулемы.
В соскобах из язв зачастую выявляются вегетативные формы возбудителей.
Болезнь протекает длительно. Язвы могут достигать огромных размеров и часто становятся причиной смерти больного.
Рис. 18. На фото кожный амебиаз.
Мочеполовой амебиаз
Мочеполовой амебиаз развивается при непосредственным контакте с больным человеком. Источником амеб могут быть язвы, расположенные на слизистой оболочке прямой кишки и половых органах. Передается инфекция среди гомосексуалистов, имеющих бородавчатые изъязвления в области гениталий и заднего прохода.
При мочеполовом амебиазе поражаются головка и внутренний листок крайней плоти (баланопостит), уретра, простата и семенные пузырьки у мужчин, влагалище у женщин, мочевой пузырь и почки.
Амебный баланопостит характеризуется появлением в области крайней плоти болезненных язв округлой формы с гнойным отделяемым, имеющих неприятный запах, устойчивых к терапии. Часто при заболевании воспаляются регионарные лимфатические узлы.
Амебный уретрит чаще протекает вяло, при мочеиспускании у больного появляются неприятные ощущения и отмечаются скудные выделения слизистого характера. При остром уретрите дизурические явления значительно выражены.
Амебный простатит часто регистрируется вместе с уретритом. Обычно заболевание протекает спокойно, длительно, со слабо выраженными симптомами. Острый амебный простатит протекает с повышенной температурой тела, болями в области промежности, в паху и внизу живота.
Амебный вагинит протекает с выделениями слизисто-гнойного характера. На слизистой оболочке появляются изъязвления размером от 0,5 до 3 см в диаметре, кровоточащие при надавливании. Иногда развивается специфическое воспаление шейки матки — амебный цервицит.
Амебный цистит часто имеет хроническое течение. Ремиссии сменяются обострениями.
У гомосексуалистов наблюдаются в области заднего прохода и гениталий бородавчатые изъязвления.
Цистит, пиелонефрит и рак шейки матки — осложнения амебиаза у женщин. Эпипидимит и простатит — осложнения амебиаза у мужчин.
Рис. 19. Амебиаз кожи.
Амебный перикардит
Лечение
Для воздействия на возбудителя Entamoeba histolytica употребляется ряд специфических препаратов. К их числу относятся:
- Эметин;
- Ятрен;
- Метронидазол;
- Биомицин.
Если при начале лечения амебиаза с первых дней заболевания бывает достаточно применения эметина или метронидазола, то в более позднем периоде необходимо комбинированное лечение несколькими препаратами. Абсцессы, осложняющие амебиаз, могут потребовать проведения антибиотикотерапии. В тяжелых случаях может быть показано оперативное вмешательство.
Лечение амебаиза сопровождается паразитологическими исследованиями фекалий. Контрольные исследования после окончания лечения проводятся 1-2 раза в месяц в течение не менее 3 месяцев.
Осложнения заболевания
Амебиаз кишечника осложняется кровотечением, перфорацией кишечной стенки с последующим развитием перитонита, рубцовым сужением толстой кишки, развитием воспалительной гранулемы (амебомы), мегаколоном (увеличение участка толстой кишки), выпадением прямой кишки, гангреной и отслойкой слизистой оболочки, специфическим аппендицитом.
Амебома (воспалительная гранулема) чаще развивается в восходящей и слепой кишке. При пальпации определяется опухолевидное образование. При эндоскопии амебому можно расценить как саркому.
Ряд авторов расценивают как осложнения все варианты внекишечного амебиаза: абсцесс печени и амебный гепатит, бронхолегочный, кожный, церебральный и мочеполовой амебиаз, амебиаз селезенки и перикарда.
Развитие осложнений при амебиазе кишечника является главной особенностью заболевания.
Возможные последствия и осложнения
Осложнениями кишечной формы амебиаза являются:
- перфорация стенки кишечника с развитием перитонита – осложнение характерно для тяжелых форм заболевания и является причиной летальности у 20–45% умерших от амебиаза. Клинически проявляется возникновением и быстрым нарастанием интенсивности выраженности симптомокомплекса острого живота;
- пенетрация язв толстого кишечника в другие органы брюшной полости;
- периколит – регистрируется у 10% больных амебиазом. Для него характерно развитие слипчивого фиброзного перитонита чаще в области слепой кишки или восходящего отдела ободочной кишки. Основным клиническим признаком заболевания является образование болезненного инфильтрата диаметром 3–15 см, повышение температуры тела, локальное напряжение мышц передней брюшной стенки. Периколиты хорошо поддаются специфическому лечению и не требуют хирургического вмешательства;
- амебный аппендицит – острое или хроническое воспаление червеобразного отростка. Хирургическое вмешательство в данном случае нежелательно, так как может спровоцировать генерализацию инвазии;
- кишечная непроходимость – развивается вследствие рубцовых стриктур толстой кишки, характеризуется клиникой низкой динамической кишечной непроходимости с типичным болевым синдромом, пальпируемым болезненным плотным инфильтратом, вздутием и асимметричностью живота;
- амебная опухоль (амебома) – редко встречающееся осложнение амебиаза. Образуется в восходящей или слепой кишке, значительно реже в селезеночном или печеночном изгибах толстой кишки. Хирургического лечения не требует, так как хорошо поддается специфической консервативной терапии.
Более редкими осложнениями кишечной формы амебиаза являются выпадение слизистой оболочки прямой кишки, полипоз толстого кишечника, кишечное кровотечение.
Амебиаз чаще всего поражает детей старших возрастных групп и людей среднего возраста. В общей структуре смертности от паразитарных инфекций он занимает второе место, уступая только малярии.
Наиболее опасным осложнением внекишечного амебиаза является перфорация амебного абсцесса. Прорыв печеночного амебного абсцесса может произойти в ограниченную спайками поддиафрагмальную область, брюшную полость, желчные протоки, грудную клетку, подкожную или паранефральную клетчатку. Данное осложнение наблюдается 10–20% случаев амебиаза печени и сопровождается очень высокой летальностью (50-60%).
Диагностика амебиаза с использованием микроскопии
Диагностика амебиаза основывается на данных эпидемиологического расследования, клинических и лабораторных методах исследования.
Обнаружение паразитов в большой вегетативной форме (трофозоиты) в испражнениях или в аспиратах, полученных при ректороманоскопии, имеет решающее значение при диагностике амебиаза. В нативных препаратах выявляется характерная подвижность вегетативных форм Entamoeba histolityca и захваченные эритроциты. В мазках, окрашенных раствором Люголя, выявляются цисты паразита. В мазках, окрашенных гематоксилином, хорошо просматривается внутреннее строение паразитов.
Для микроскопического исследования используются фекалии, ректальные аспираты, биопсийный материал из участков поражения, в том числе из стенок абсцесса, где преимущественно локализуются тканевые формы амеб. Многократное исследование (3 — 6 раз) свежих фекалий повышает эффективность исследования.
Цисты и просветленные формы паразитов, выявленные в мазках, говорят о носительстве, но не подтверждают заболевание. К тому же в кишечной флоре могут присутствовать непатогенные виды амеб, которые не вызывают заболевание.
Микроскопия нативных мазков
Мазки, не подверженные окрашиванию, сохраняют естественную структуру и окраску исследуемого объекта. При микроскопии в нативных мазках выявляется характерная подвижность вегетативных форм Entamoeba histolityca. Движение амебы быстрое, импульсивное. При движении тело паразита удлиняется, в образованную псевдоподию переливается эндоплазма. Затем псевдоподия сплющивается и возникает в новом месте по направлению движения. Иногда образуется несколько псевдоподий. Один из них увеличивается, а остальные исчезают. Наблюдаются оседлые, неподвижные особи. При охлаждении паразиты становятся менее подвижными, их тело округляется и со времен движение прекращается совсем. В нативных мазках захваченные эритроциты имеют желтоватую окраску.
Рис. 20. При микроскопии в нативных мазках выявляется характерная подвижность вегетативных форм Entamoeba histolityca.
Микроскопия мазков, окрашенных гематоксилином
В мазках, окрашенных гематоксилином, эктоплазма прозрачная, эндоплазма темного цвета, мелкозернистая. Цвет и окраска эритроцитов зависят от стадии их переваривания.
Рис. 21. На фото амеба в большой вегетативной форме (трофозоит). В цитоплазме видны захваченные эритроциты (темного цвета).
Микроскопия мазков, окрашенных раствором Люголя
В мазках, окрашенных раствором Люголя, выявляются цисты и просветленные формы паразитов, характерные для носительства.
Рис. 22. На фото амеба в форме цисты под микроскопом.
Ректороманоскопия с последующей микроскопией ректального мазка
Ректороманоскопия с последующей микроскопией ректального мазка является надежным диагностическим методом. В связи с быстрым разрушением тканевых форм амеб во внешней среде фекалии исследуются в течение первых 15 — 20 минут. В первую очередь исследуются неоформленные каловые массы с примесью крови и слизи.
Колоноскопия с биопсией
Колоноскопия с биопсией мест поражения является наиболее точным методом диагностики кишечного амебиаза. Микроскопия позволяет выявить простейшие в области язвенных поражений.
Обнаружение трофозоитов — больших вегетативных (тканевых) форм с фагоцитированными эритроцитами в мазках служит подтверждением амебиаза кишечника и других органов.
Рис. 23. На фото амебы.
Механизм развития заболевания
Название инфекции непосредственно связано с её поражающим воздействием на ткани организма. Инфекция прикрепляется к слизистой оболочке кишечной трубы с помощью специального вещества – адгезивного лектина – вещества, образующего поры в слизистой оболочке кишки.
В случае проникновения паразита в подслизистую оболочку происходит активное размножение, появляются первичные очаги поражения в виде маленьких абсцессов. Размножаясь, они при этом переходят к мышечному слою ткани.
Маленькие язвы, сливаясь между собой, соединяются в одну большую язву диаметром в несколько сантиметров. Дно поражённого участка покрывается некротическими мёртвыми массами. Чаще всего язвенный процесс охватывает слепую восходящую кишку и аппендикс.
Кроме того, не исключается возможность попадания паразита в венозную систему печени, что ведёт к генерализации (распространения по всему организму) инфекции. Довольно продолжительное течение может привести к образованию маленьких опухолей, амеб и полипов.
Распространение паразита по организму во многом препятствует иммунная система человека. Истина этого тезиса подтверждается случаями, когда у маленьких детей и беременных, страдающих от недостатка иммунитета, инфекция распространялась намного быстрее.
Диагностика амебиаза с применением серологических исследований
В связи с тем, что при амебиазе не всегда удается выявить амебы в фекалиях и аспиратах, проводится серологическое исследование. Положительные серологические реакции регистрируются в 75% случаев у больных амебиазом кишечника, в 95% у больных с внекишечными формами амебиаза.
Реакция непрямой иммунофлюоресценции (РНИФ) позволяет обнаружить в сыворотке крови больного специфические антитела. Диагностическим является титр 1:80 и более. У больных амебиазом РНИФ реакция положительная в 90 — 100% случаев. Реакция отрицательная у носителей полупрозрачных (просветвленных) форм. У больных с амебными абсцессами печени РНИФ положительная всегда и в высоких титрах.
Реакция непрямой гемагглютинации (РНГА) является менее информативной, так как дает положительные результаты не только у больных амебиазом, но и у ранее инфицированных.
Иммуноферментный анализ (ИФА) применяется для выявления специфических антител.
ПЦР (полимеразная цепная реакция) является самой перспективной методикой в современных условиях. Высокая чувствительность теста позволяет выявлять ДНК паразитов, даже если их в исследуемом материале единицы.
Профилактика
Специфическая профилактика амебиаза не применяется. Выявленных цистоносителей санируют. К общим неспецифическим профилактическим мероприятия относятся:
- Раннее выявление цистоносителей/больных.
- Мероприятия в очаге — изоляция и лечение пациентов до полного клинического выздоровления и полного исчезновения из испражнений всех форм амеб; дезинфекционные мероприятия в очаге (дезинфекция испражнений, белья, посуды).
- Санитарное просвещение населения.
- Улучшение жилищных условий, повышение безопасности пищевых продуктов и водоснабжения.
Для прерывания механизма передачи возбудителя в эндемичных регионах по амёбиазу важно соблюдать меры личной гигиены и пищевой безопасности:
- Пить исключительно кипяченую воду (хлорирование цисты амеб не уничтожает), не употреблять воду их незнакомых источников (рек, прудов).
- Тщательно мыть и обрабатывать кипятком все продукты, употребляемые в сыром виде (овощи, зелень, фрукты), особенно импортированных из тропических стран.
- Соблюдать правила личной гигиены (мытье рук, обработка и дезинфекция кухонного инвентаря и посуды).
- Не удобрять почву сада и огорода нечистотами из туалетов.
- Уничтожать мух, не допускать стихийных свалок, загрязнения территорий сточными водами.
Диагностика внекишечного амебиаза
- При диагностике внекишечных форм заболевания помимо клинической картины заболевания и случаев длительно протекающего заболевания кишечника со слабо и умеренными симптомами интоксикации, важное значение имеет указание больного на пребывание в эндемической по амебиазу зоне.
- При подозрении на заболевание проводится ректороманоскопия. При отсутствии специфических повреждений слизистой оболочки проводится фиброколоноскопия. Обнаружение язв на слизистой оболочке толстого кишечника округлой формы с подрытыми краями, окруженными зоной гиперемии и нормальная слизистая между ними — важный диагностический признак. Во время эндоскопического исследования проводится биопсия и забор фекальных масс.
- При выявлении амебных абсцессов используется рентгенологический метод, ультразвуковое и радиоизотопное исследования, магнитно-резонансная и компьютерная томография.
- В некоторых случаях прибегают к лапароскопии.
Рис. 24. Дизентерийные амебы под микроскопом.
Дифференциальная диагностика
Кишечный амебиаз имеет схожесть не только с инфекционными, но и с целым рядом других заболеваний. Из инфекционных заболеваний амебную дизентерию следует дифференцировать с дизентерией (шигеллезом), сальмонеллезом, кампилобактериозом, шистосомозом и балантидиозом. Из неинфекционных заболеваний дифференциальная диагностика проводится с неспецифическим язвенным колитом, дивертикулезом, пеллагрой, новообразованиями толстой кишки, болезнью Шенлейна-Геноха.
Список источников
- Бронштейн А.М. Амёбиаз: клиника, диагностика, лечение. Методическое пособие, М., 2002
- Еремушкина М. А., Бурчик М. А., Попова Л. С. Амебиаз в Москве // Новые технологии в диагностике и лечении инфекционных болезней: Сб. тез. VII Рос. съезда инфекционистов. — Н. Новгород, 2006.— С. 211.
- Ющук Н. Д., Венгеров Ю. Я. Лекции по инфекционным болезням. 3-е изд., перераб. и доп. М.: ОАО «Издательство медицина», 2007. 1032 с.
- Аликеева Г.К., Кухтевич, Е. В., Сафиуллина Н. Х. Амебиаз // Лечащий врач. — 2011; № 3.
- Шамов Ю. А. Некоторые аспекты амебиаза на современном этапе его изучения // Патогенез, иммунология, клиника и диагностика инфекционных болезней. — М., 1992.— С. 92–99.
Лечение амебиаза
Кишечные формы заболевания, в основном, лечатся амбулаторно. Госпитализации подлежат больные с тяжелым течением заболевания и внекишечными проявлениями. При лечении амебиаза кишечника используются просветные и системные амебоциды.
Просветные амебоциды
Просветные амебоциды применяются для лечения бессимптомных форм заболевания (носителей). Они назначаются также с целью профилактики рецидивов амебиаза после завершения курса лечения тканевыми амебоцидами. Просветные амебоциды представлены такими препаратами, как Этофамид (Китнос), Дилоксанид фуроат, Клефамид, Паромомицин. Хорошо переносятся Паромомицин и Дилоксанид фуроат. Дилоксанид фуроат применяется 10 дней 4 раза в сутки по 50 мг.
- Паромомицин применяется 10 дней 3 раза в сутки по 30 мг.
Рис. 25. Паромомицин и Дилоксанид фуроат применяются при лечении бессимптомных форм заболевания.
Системные тканевые амебоциды
Системные тканевые амебоциды используются для лечения симптомного (инвазивного) амебиаза и абсцессов любой локализации. Представителями этой группы являются 5-нитроимидазолы. Метронидазол и Тинидазол являются препаратами выбора.
При кишечном амебиазе применяется один из следующих препаратов:
- Метронидазол (Флагил, Трихопол) применяется 10 дней по 750 мг три раза в сутки.
- Тинидазол (Фасижин, Тиниба) применяется 2 — 3 дня в один прием по 50 мг/кг детям до 12-и лет и по 2 гр. — старше 12-и лет.
- Орнидазол (Тиберал) применяется 3 дня в два приема по 40 мг/кг детям до 12-и лет и по 2 гр. в сутки — старше 12-и лет.
- Секнидазол применяется 3 дня в один прием по 30 мг/кг детям до 12-и лет и по 2 гр. в сутки — старше 12-и лет.
При невозможности предотвращения повторных заражений просветные амебоциды применять нецелесообразно. Они назначаются только по эпидемическим показаниям.
Рис. 26. Метронидазол и Тинидазол являются препаратами выбора при лечении амебиаза.
Альтернативные схемы лечения амебиаза
Мощным противопаразитарным действием обладает Дегидроэметин дигидрохлорид. После завершения курса при лечении амебного абсцесса печени назначается Хлорохин.
- Дегидроэметин дигидрохлорид вводится внутримышечно 4 — 6 дней.
- Хлорохин по 600 мг в сутки два дня и далее по 300 мг 2 — 3 недели.
Завершающий этап лечения амебиаза
После проведения курса лечения системными тканевыми амебоцидами с целью окончательного уничтожения амеб назначаются просветные амебоциды Этофамид или Паромомицин.
- Паромомицин применяется 5 — 10 дней по 0,5 г в 2 приема.
- Этофамид применяется 5 — 7 дней по 0,6 г в 2 приема.
Антибиотики при лечении амебиаза
Антибиотики при лечении амебиаза назначаются в случае непереносимости метронидазола и при развитии такого осложнения заболевания, как перфорация кишечника с последующим развитием перитонита. Из антибактериальных препаратов применяются Тетрациклин и Эритромицин.
- Тетрациклин применяется 10 дней 4 раза в сутки по 250 мг.
- Эритромицин применяется 10 дней 4 раза в сутки по 500 мг.
Для ускорения элиминации патогенных амеб применяется Энтеросептол (йодхлороксихинолин).
Прогноз амебиаза обычно благоприятный
Диета
В остром периоде при выраженных кишечных расстройствах назначается Диета № 4 на весь острый период. В остром периоде в рационе питания необходимо исключить грубую клетчатку и ограничить кол-во углеводов. Калорийность рациона питания должна составлять 2500-3000 ккал/сутки. При уменьшении дисфункции кишечника и улучшения общего состояния больного переводят на Диету № 2. А непосредственно перед выпиской из стационара (за 3-4 дня) больного можно переводить на общую Диету № 15.
В случаях затяжного острого и хронического амебиаза с тяжелым течением, учитывая частоту жидкого стула, рвоту, отсутствие аппетита и потерю массы тела и следует больному назначать дополнительное энтеральное/парентеральное питание из расчета 3500-4000 ккал/сутки в/в введение аминокислотных смесей в комплексе с полиионными растворами глюкозы (в объеме 500–1000 мл) с инсулином. При невозможности/отказе приема пищи жидкие питательные смеси вводят через зонд.
Прогноз заболевания
В большинстве случаев, при диагностировании у пациента кишечного амебиаза прогноз лечения является благоприятным. Этому способствуют современные методы диагностики, интенсивная терапия и соблюдение профилактических мероприятий. Лечение заболевания может быть осложнено при внекишечных формах амебиаза, в особенности, когда поздно диагностированы протекающие в организме абсцессы печени, мозга и других внутренних органов.
При подозрении на амебиаз необходимо в срочном порядке обратиться за медицинской помощью к врачу-инфекционисту или паразитологу. Своевременное лечение является залогом скорейшего выздоровления и предотвращения нежелательных последствий для здоровья.
Амебиаз других органов
Редко, но все-таки бывает амебиаз кожи. Недуг характеризуется язвами, чаще всего наблюдающимися в области живота, промежности и ягодиц. Обычно ранки глубокие, темные по краям, имеют неприятный запах.
Амебиаз мозга – одно из самых тягостных осложнений заболевания. Характеризуется сильными, не купирующимися головными болями, судорогами, нарушением чувствительности, параличом. Может развиваться абсцесс или опухоль мозговых тканей. Очаговые симптомы разные, в зависимости от локализации образования абсцесса в отделах мозга и совпадают с соответствующими неврологическими нарушениями. Лечение амебиаза у взрослых и детей, возникшего вне кишечной зоны, проводится с обязательным назначением антибиотиков в тандеме а тканевыми амебоцидами («Метронидазол», «Дегидроэмитин», «Хингамин»). При амебиазе мозга в комплекс медикаментов добавляют ноотропные лекарства.
При амебиазе печени и кожи, помимо основных медикаментов, прописывают «Дийодохин», «Интестопан», «Мексаформ».
Если химиотерапия не дает ожидаемого результата и при наличии абсцессов проводят хирургическое вмешательство.
Амебиаз у детей: симптомы и лечение
Данное заболевание практически не наблюдается у грудничков. А вот малыши от года и до трех лет болеют им чаще всего, потому что они, научившись ходить, желают исследовать мир вокруг и делают это преимущественно руками. А дети старше трех лет уже понимают, что в рот тянуть все подряд нельзя. Родители должны учитывать эти особенности и максимально ограждать своего ребенка от инфицирования.
Симптомы амебиаза у малышей:
— понос (основной и самый важный признак);
— капризность;
— отказ от еды;
— боль в животике;
— температура (может подниматься незначительно либо до высоких отметок).
У детей понос сперва не очень частый, около 6-7 раз в день, каловые массы разжиженные, в них может присутствовать слизь. В дальнейшем позывы учащаются до 20 и более раз, каловые массы выделяются сильно разжиженными, с кровью и слизью. Ребенок на этом этапе становится вялым, отказывается от игр, жалуется на боль в животе, тошноту.
Внекишечные виды амебиаза у малышей бывают нечасто. Их симптоматика такая же, как у взрослых. Острая форма заболевания без должной терапии через три-четыре недели переходит в хроническую.
Диагностика проводится на основе анамнеза и анализа кала (в нем находят слизь, эритроциты, цисты, эозинофилы). Этот анализ выполняют несколько раз, чтобы исключить ошибку. В отдельных случаях ребенку проводят серологический тест на антитела, но он начинает «работать» только через 2 недели от появления первых симптомов. Анализ крови при остром амебиазе результатов не дает, но при хроническом отмечается повышение СОЭ и эозинофилов, уменьшение гемоглобина.
Лечение амебиаза у детей проводится в стационаре. Используются препараты «Осарсол», «Делагил», антибиотики группы тетрациклинов, «Флагил», «Трихопол», «Фасижин», «Мератин», витамины, «Бифифор», «Симбитер». Особое внимание уделяется восстановлению потерянной организмом жидкости, для чего ребенку дается обильное питье (при рвоте по ложечке, но очень часто). Чтобы не было потери солей, желательно сделать для питья раствор: 1 л воды, плюс по 1 ч. л. без горки соли и соды, плюс 2 ст. л. сахара, все перемешать до растворения компонентов, нагреть до температуры +37 °C перед использованием.
Статистика распространенности
Максимум распространенности наблюдается в Мексике и Индии, высокий показатель на территории Южной Азии и Африки. На постсоветском пространстве неблагополучие остается в Таджикистане, Киргизии, Туркмении.
Чаще заболевают мужчины среднего возраста. Восприимчивостью к кишечному амебиазу обладает каждый десятый человек, встретивший возбудитель. По информации ВОЗ в мире имеется около 480 миллионов носителей дизентерийной амебы. Каждый год регистрируется 50 миллионов новых случаев заболевания. При этом летальный исход наступает у 2%.
Санитарные условия в Бангладеш представляют наилучший вариант для распространения амебиаза
Нарушение санитарного благополучия сопровождает природные катаклизмы, миграцию людей в поисках работы, социальные проблемы. Поэтому кишечный амебиаз остается проблемой для развитых стран. Мы подробно рассмотрим, что такое амебиаз, начнем с описания возбудителя и его свойств.
актуальность
Амебиаз — убиквитарнаинфекция, около 10% мировой человеческой популяции инфицировано Entamoeba histolytica. Ежегодная заболеваемость кишечным амебиаз составляет около 50 млн случаев, летальность достигает 100000 случаев. Внекишечный амебиаз составляет лишь около 10% от всех случаев выявленного амебиаза. До 50% всех случаев этой инфекции приходится на развивающиеся страны. Наиболее распространенная инфекция на полуострове Индостан, Южной и Западной Африке, на Корейском полуострове и в Китае, в Южной и Центральной Америке. Широкому распространению амебиаза способствуют низкий уровень санитарных условий, невысокий социально-экономический статус, скученность жителей, некоторые особенности культурных традиций.
В Украине случаи амебиаза встречаются гораздо реже, в основном спорадически, хотя завоза этой инфекции и создание эндемического очага возможно в некоторых районах.
Подтверждение диагноза
На приёме у специалиста
На приёме у специалиста больной должен подробно изложить свои жалобы, а также рассказать, где он был в ближайшее время. Доктору необходимо внимательно оценить все клинические симптомы, так как осмотр не информативен. Местонахождение пациента важно знать, потому что, возможно, он находился в эндемичном районе.
Лабораторная диагностика
Далее необходимо провести лабораторную диагностику больного. Исследование фекалий даёт возможность обнаружения цист. Также имеется небольшой шанс наблюдения трофозоитов в кале, но они быстро погибают в окружающей среде, поэтому анализ необходимо проводить сразу и в кратчайшие сроки.
В современной медицине существуют и специфические тесты для определения возбудителя. Данный анализ проводится при помощи моноклональных антител, которые позволяют выявлять специфический антиген амёбы.
Также к современным методам относят прямую цепную реакцию, латекс-агглютинацию, иммуноферментный анализ и реакцию прямой гемагглютинации. Данные тесты имеют высокий процент специфичности и информативности.
Инструментальная диагностика
Не следует забывать и об инструментальной диагностике. К методам, выполняемым при помощи специальных приборов, относят ректороманоскопию. Специалист на данной процедуре может наглядно оценить слизистую оболочку толстого кишечника. Во время проведения данного метода необходим забор материала для выявления вегетативных форм.
Кал важно брать из верхних отделов кишки, он должен быть неоформленный с примесью слизи и крови. Более информативной считается колоноскопия с забором участка ткани (биопсией) для последующего прицельного изучения. На такой ткани возможно обнаружение эритрофагов.
Именно колоноскопия с прицельным взятием поражённого участка ткани для исследования является «Золотым стандартом» в диагностике амёбиаза.
Внекишечные формы диагностируют с учетом жалоб пациента. В данном случае требуется комплексная оценка состояния больного. Для обнаружения абсцессов, оценки их размеров, количества, прибегают к инструментальным методам. Самые доступные — УЗИ и рентген. МРТ и КТ методы очень информативные, но их использование ограничено ценой и не достаточной оснащённостью клиник аппаратами.
Как избежать заражения
Чтобы избежать заражения амебиазом, следует соблюдать профилактические меры: после посещения общественных мест, туалета, а также перед едой необходимо тщательно мыть руки с мылом, пить только фильтрованную или кипяченую воду – амебы гибнут при 55 градусах выше нуля, при сухом климате или глубокой заморозке. Овощи и фрукты следует тщательно мыть или обдавать кипятком перед употреблением, а также тщательно оберегать их от мух, которые на своих лапках могут переносить цисты амеб.
Следует помнить, что амебиаз полностью излечим при своевременном диагностировании, поэтому при первых признаках болезни надо немедленно посетить врача и пройти необходимые исследования.
Лечение современными медикаментами
На различных стадиях течения заболевания необходимо принимать конкретные лекарственные препараты. Для эффективного лечения хронической формы амебиаза и состояния ремиссии показаны амебоциды прямого спектра действия, которые уничтожают просветные разновидности патогенных микроорганизмов. К данной группе лекарственных препаратов можно отнести Дийодохин и Хиниофон. Последний возможно применять в виде клизм. При остром кишечном амебиазе, а также при различных тяжелых абсцессах печени целесообразнее использовать специальные препараты, негативно воздействующие на амебоциты тканевой формы. Наиболее популярными и эффективными являются Амбильгар, Эмитин и Хинамин.
На разных стадиях развития кишечного амебиаза разрешается назначать комбинированные лекарственные препараты, к числу которых относятся Фурамид и Метронидозол. Применение сильнодействующих антибиотиков показано в основном тогда, когда нужно подавить микробный биоценоз кишечника. Чтобы восстановить благоприятную микрофлору в кишечнике, обычно используют иммуноглобулиновые препараты, пребиотики и пробиотики. Для купирования колитического синдрома, который наблюдается при обострении амебиаза, рекомендуется использовать различные ферментные препараты (например, Панзинорм или Дигестал). Ввиду того, что многие препараты для лечения амебиаза являются токсичными для человеческого организма, решение о допустимой дозировке принимается исключительно лечащим врачом.
Что такое амебиаз
Амебиаз — протозойная инвазия человека, сопровождающаяся поражением толстой кишки и способная к генерализации.
В настоящее время амебиаз представляет собой одну из крупнейших медицинских и социальных проблем населения развивающихся стран и является одной из наиболее частых причин смерти при паразитарных болезнях кишечника. После малярии данная инфекция занимает второе место в мире по частоте летальных исходов при паразитарных заболеваниях.
Амебиаз — болезнь, вызываемая патогенными штаммами Entamoeba histolytica, имеющими широкое распространение в мире, преимущественно в странах тропического и субтропического климата. Характерный для этих районов низкий уровень санитарии обусловливает высокий уровень заболеваемости амебиазом.
Кишечная амеба. Около 480 млн. людей в мире являются носителями Е.histolytica, у 48 млн. из них развивается колит и внекишечные абсцессы и у 40 тыс. — 100 тыс. заболевших наступает летальный исход. Миграция, ухудшение экономического положения ряда развивающихся стран, низкий уровень санитарии способствуют распространению амебиаза и соответственно повышению уровня заболеваемости.
В России амебиаз встречается в южных регионах. Вместе с тем, в связи с увеличивающимся притоком мигрантов из южных регионов стран ближнего и дальнего зарубежья, увеличением въездного туризма, а также значительным увеличением зарубежного туризма, в том числе в страны жаркого климата, частота случаев амебиаза среди граждан России, в том числе жителей Москвы существенно возросла.
Кишечный амебиаз у взрослых, симптомы и лечение
Заболевание встречается чаще там, где теплый климат, но летом оно регистрируется и в наших широтах. Европейцы могут подхватить амебиаз в путешествиях по экзотическим южным странам и оттуда привезти его домой. Если у человека организм достаточно сильный, цисты и даже просветные формы амебы сравнительно долго живут в ЖКТ, не вызывая заболевания. Если же иммунитет слабый, уже на седьмой день после заражения может начать проявлять себя амебиаз. У взрослых симптомы и лечение зависят от того, где именно в организме обосновались амебы. Если это кишечник, диагностируется кишечный амебиаз. Амебы заселяют почти все его отделы – слепую кишку, восходящую, ободочную, сигмовидную и прямую. В стенках кишечника образуются десятки эрозий и язв различной глубины и диаметра (до 3 см), иногда доходит до перфорации и перитонита. В любом случае слизистые кишечника воспаляются, в язвах скапливается гной.
Симптомы:
— температура;
— вялость, слабость;
— боли в области кишок;
— лихорадка;
— жидкий стул.
Важно: сильный понос в первые дни заболевания наблюдается лишь у 10% инфицированных.
В дальнейшем у всех добавляются симптомы:
— частый стул (жидкий, с гноем и кровью);
— признаки обезвоживания (сухость губ, языка, кожи, слабый тургор);
— признаки интоксикации (головная боль, приступы рвоты, тошнота);
— истощение.
Народная медицина
Поскольку без правильной терапии способен привести к смерти амебиаз, лечение народными средствами этого недуга возможно лишь как дополнение к главному курсу. В основном помощь знахарей сводится к прекращению у больных кровавого поноса. В народе бытуют десятки рецептов, помогающие при такой проблеме. Некоторые из них:
— Пленка от куриных желудков. Ее отделяют, тщательно моют, сушат, измельчают и едят 2 или 3 раза в день.
— Сухая заварка чая. Неполную чайную ложку тщательно прожевать и проглотить, запив водой.
— Кора дуба. (Лекарство для взрослых). Чайную ложку сухой измельченной коры нужно залить 400 мл холодной, но кипяченой воды и настаивать 8 часов. Готовое средство выпить за день.
— Широко используются голубика, черемуха, облепиха, боярышник, рябина. Рецепт приготовления идентичный для всех растений – 100 грамм сухих ягод заливают 400 мл кипятка, настаивают и принимают по 100 мл в день. Лишь ягод черемухи нужно брать всего 10 грамм.
— Чеснок. Его чистят, измельчают, отмеряют 40 грамм и заливают половиной стакана водки, дают настояться. Каждый раз за полчаса до начала трапезы принимают по 15 капель средства.
Пути заражения
Из вышесказанного ясно, что в инфицировании участвуют только цисты. Мелкие и чрезвычайно живучие, они с каловых масс быстро расселяются по округе. Помогают этому мухи, тараканы, некоторые другие насекомые. Канализационные отходы, которые, как известно, особой обработке не подвергаются, используют на полях в качестве отличного удобрения либо просто выливают в окружающую среду. Это также способствует расширению ареала обитания амеб. В животных, птицах, рыбах они не живут, только в человеке.
Еще один удобный способ для цист найти новую жертву – попадание их на бытовые предметы с помощью грязных рук тех, кого уже поразил амебиаз. Лечение заболевшие могут начать не сразу, но даже если эти люди своевременно приняли меры, они являются носителями заразы, пока из их кишечника продолжают выделяться цисты.
Таким образом, пути заражения амебиазом следующие:
— грязные руки;
— питье воды из рек, прудов, любых открытых водоемов;
— употребление немытых фруктов, овощей.
Есть еще три пути заражения:
— анальный половой акт;
— пользование одним полотенцем и ношение общего белья с носителем амебиаза;
— передача от больной матери малышу при несоблюдении ею гигиены.
Профилактика заболевания
Чтобы кишечная амеба не поселилась в организме, в первую очередь необходимо направить основные усилия на определение группы риска: людей, являющихся потенциальными носителями патогенных микроорганизмов – амебных цист. К этой категории можно отнести жителей неблагополучных районов, где отсутствует канализация и централизованное водоснабжение, и людей с хроническими заболеваниями кишечника. В группе риска находятся также работники сферы питания и торговли, туристы, постоянно посещающие тропические страны, и люди нетрадиционной ориентации (гомосексуалисты).
Чтобы исключить вероятность распространения инфекции, необходимо обеспечить надлежащую санитарную охрану и экологию окружающей среды.
Терапия
Для лечения амебиаза назначают медикаменты из 3-х различных групп, которые воздействуют на разные формы амеб:
- Просветные или прямые амебоциды — это лекарственные средства, которые губительны для просветных форм амеб, т.е. возбудителей обитающих в просвете кишечника. Их назначают для терапии амебиаза у носителей, у пациентов с хроническим течением заболевания, у выздоровевших людей с целью профилактики рецидивов. В эту группу медикаментов входят, например, тетрациклины, Этофамид, Паромомицин.
- Тканевые амебоциды — это препараты, которые губительно действуют на паразитов, локализованных в тканях и слизистых. Медикаменты этой группы прописывают при остром течении заболевания, а также для лечения внекишечных форм амебиаза.
- Универсальные амебоциды, которые губительно воздействуют на все формы паразитов. Медикаменты этой группы нарушают структуру белка амеб, в результате тормозится их размножение. Кроме этого, под воздействием этих лекарств образуются свободные радикалы, которые губительно действуют на паразитов. К этой группе относятся Тинидазол, Трихопол.
Одним из медикаментов для лечения амебиаза является Трихопол
Кроме этого, назначают медикаменты, которые восстанавливают микрофлору кишечника: Аципол, Линекс.
Также в зависимости от клинической картины могут быть прописаны лекарственные средства нормализующие работу сердечно-сосудистой системы, препараты повышающие иммунитет, гепатопротекторы.
При развитии тяжелой формы амебной дизентерии дополнительно назначают противомикробные средства.
При выявлении абсцесса больших размеров, высокой вероятности его разрыва, сильных болях, при отсутствии эффекта от медикаментозной терапии проводят аспирацию. Когда разрыв уже произошел или нельзя сделать закрытый дренаж, показана открытая операция.
Все дозировки медикаментов и длительность их приема должен подбирать лечащий врач.
Эндоскопическая картина болезни
Современная эндоскопическая техника позволяет для осмотра слизистой толстого кишечника использовать не только ректороманоскопию, которая предоставляет доступ к нижним отделам, но и применить фиброколоноскопию в диагностике патологии верхних отделов. У 40% больных с кишечным амебиазом уже в начальном периоде подтверждается воспаление в зоне прямой и сигмовидной кишки:
- на 2–3 день появляются очаги гиперемии;
- на 4–5 — мелкие язвы размером 5 мм;
- к 6–10 дню размер язв достигают 2 см, видны подрытые края и некроз в центре.
При хроническом течении на слизистой образуются:
- крупные язвы;
- кисты;
- полипозные разрастания;
- амебомы (у 2% пациентов).
Просвет кишки сужен выпячиванием амебомы
Амебома — опухолевидное образование, состоящее из большого воспалительного инфильтрата с разрастанием грануляций, клеток из фиброзной ткани. Чаще располагается в слепой и восходящей кишке. Имеет четкие границы, способна достигать значительных размеров. Выступает в просвет кишечника в виде опухоли.
Распространенность
Амебиаз кишечника распространен повсеместно, вне зависимости от климата или расовой принадлежности. В тропических странах процент заболевших выше, но и в других областях эта инфекция тоже встречается достаточно часто. Распространению болезни способствует низкая санитарная культура населения и плохие гигиенические условия: отсутствие централизованной подачи воды, несвоевременная уборка мусора и очистка сточных канав.
Количество людей, которые являются носителями возбудителя и даже не подозревают о своей болезни, во много раз превышает число тех, у кого наблюдаются клинические симптомы. В некоторых странах этот показатель достигает сорока процентов населения. В странах с умеренным климатом регистрируется спорадическая заболеваемость. В литературе описываются вспышки амебиаза в местах тюремного заключения и в казармах.
В странах СНГ выделителями амеб, как правило, являются люди с вирусом иммунодефицита человека, инъекционные наркоманы и больные СПИДом. Передача возбудителя происходит в теплое время хода.
Возможно ли полностью вылечить амебиаз?
Данное заболевание можно полностью вылечить за несколько месяцев. Если лечение заболевания вовсе не было или болезнь была выявлена слишком поздно, может быть даже летальный исход.
Теперь вы знаете, что такое амебиаз, и если заметили у себя симптомы болезни, указанные выше, немедленно обратитесь к врачу. В этом случае, лучше не заниматься самолечением, а довериться профессионалу.
Профилактика заболевания
Во-первых, всегда помните, возбудитель амебиаза — это амеба, которая обитает в загрязненной среде. Поэтому очень важно соблюдать все правила обычной гигиены. А этому нас учат с детства — мыть руки после туалета и перед каждым приемом пищи, не пить грязную воду, не трогать насекомых и животных, которые преимущественно обитают на свалках. Они также могут переносить эту заразную болезнь.
Во-вторых, есть определенные группы риска — люди, которым нужно чаще проверяться на наличие подобных бактерий. Это те, кто страдают хроническими заболеваниями кишечника и выделительной системы, а также работники очистительных сооружений, канализации. Также гомосексуалисты и люди, побывавшие в стране с теплой, жаркой температурой и низким уровнем санитарии.
Также подобному обследованию подлежат все лица, которые устраиваются на работу в дошкольные и школьные учреждения, на заводы пищевой промышленности, в санаторно-курортные комплексы. При положительном результате на наличие бактерий, вызывающих амебиаз, они не принимаются на работу, пока полностью не пройдут курс лечения.
Для профилактики амебиаза проводится очистка воды фильтрами на очистных сооружениях, следят за чистотой общественных туалетов и мест, где канализация не предусмотрена.
Среди населения пропагандируют правила личной гигиены и обучают этому с малых лет абсолютно всех. Ведь уже ни у кого не возникает вопросов с мытьем рук после туалета или перед едой.
А санитарным правила обязаны следовать все здания, где подают еду — наличие туалета и раковины, где после него можно помыть руки с мылом, обязательно!
Выводы
Итак, если вы обнаружили у себя какие-либо симптомы заболевания, стоит пойти к врачу и пройти обследование.
Профилактика не менее важна, как и ежегодные проверки. Их важно проводить, даже если вы не находитесь в группе риска. Самостоятельную диагностику и попытку лечения амебиаза проводить не стоит. Эта болезнь достаточно коварна и может кончиться для вас летальным исходом, если не лечить ее вовсе.
Клинические проявления инфицирования
Неспецифические признаки заболевания проявляются через 10-14 дней. Основная симптоматика инфицирования выражается в следующем:
- болевой синдром в нижних отделах живота;
- температура тела держится по субфебрильному типу;
- профузная диарея с выделением большого количества водянистого кала с кровяной примесью;
- колит;
- общая слабость организма, головокружение, тошнота и рвота.
Болевой синдром в нижних отделах живота – возможный признак амебной дизентерии Нередко у человека развивается лихорадка, особенно такое состояние наблюдается при инфицировании кишечной амебой у детей. Лечение должно проводиться незамедлительно, так как паразитарное поражение может принимать хроническое течение. Кроме того, у людей с иммунодефицитом, инфекционное течение может стремительно распространиться на прочие органы. Основными мишенями паразитарного микроорганизма являются печень и лёгкие. Особенно остро инфицирование воспринимает детский организм, пациенты с хроническими патологиями, беременные женщины и люди пожилого возраста. При заражении кишечной амёбой диагностика и профилактика заболевания имеют большое значение.
Внимание! При подозрении на инфицирование следует усилить гигиеническую и санитарную дисциплину, а также пересмотреть свой рацион.
Определить амебиаз, возможно, лишь при микроскопической диагностике, когда выявляются тканевые формы паразита в каловых массах. Кроме молекулярной биологии, эффективно провести медицинскую эндоскопическую диагностику толстой кишки. После проведения диагностических мероприятий, пациента госпитализируют, и дальнейшее лечение проводится до полного выздоровления.
История
Описание общей клинической картины амебиаза под названием дизентерия встречается в трудах Гиппократа, в дальнейшем Авиценна приводит клиническую характеристику заболевания, сопровождающегося кровавым поносом и язвенным поражением толстого кишечника, ведь в регионе, где жил этот ученый, как известно сегодня, распространенным является именно амебиаз. В дальнейшем оказалось, что подобные клинические проявления могут создавать различные возбудители, в частности, причинная агент шигельозу. Открыл возбудителя амебиаза Федор Александрович Леш, который много лет работал на территории Украины. В 1873 г.. Он обнаружил патогенную амебу, дав первый морфологическое описание вегетативной стадии этой амебы с фагоцитированными эритроцитами, подробно описав патологоанатомические изменения кишечника при амебиазе. Для доказательства патогенной роли амебы он впервые провел экспериментальное заражение собак, описал развитие в одной из них клинических проявлений острого амебиаза и нашел в испражнениях ее паразитов, по строению и типу движения аналогичных амебам, выделенных им от больного человека. В 1883 году великий немецкий бактериолог Роберт Кох при проведении исследований в Египте проявления дизентерийной амебы в абсцессах печени больных кровавый понос. В дальнейшем основательные исследования амебиаза в 1885 году провел греческий исследователь С. Картулис, который во всех 150 исследованных им больных с кровавым поносом обнаружил эту амебу. В 1903 выдающийся немецкий зоолог Ф. Шаудинн (который был спиввидкривачем возбудителя сифилиса, а умер в 35-летнем возрасте от многочисленных осложнений амебиаза, которым он заразился во время своих исследований) провел основательные морфологические исследования по дифференциации амеб, дал название возбудителю амебиаза — Entamoeba histolytiса (буквально — кишечная амеба, которая производит лизис тканей). В 1966 году был применен в клинической практике лучший и сегодня препарат для лечения амебиаза — метронидазол.
Симптомы амебиаза легких
Данное осложнение возможно по двум причинам:
— амебы с кровью попали в легкие из кишечника;
— препараты для лечения амебиаза в печени подобраны неправильно, в результате чего произошел прорыв абсцесса в печени и гной излился в полость плевры.
При заносе паразитов в легкие с кровью должны насторожить симптомы:
— упорный кашель с мокротой, в которой есть примеси крови;
— одышка;
— температура;
— болезненность грудной клетки.
Без должного лечения в легких также образуется гнойный абсцесс. При этом у больного наблюдаются:
— лихорадка;
— высокая болезненность в месте абсцесса;
— признаки сердечной недостаточности.
При вскрытии нагноения появляется кашель с мокротами шоколадного цвета, глоссит, фарингит.
Диагностика амебиаза легких включает анализ крови, рентген, исследование кала на выявление цист, исследование мокрот и плевральной жидкости, серологические тесты.
Симптомы
Большое скопление кишечной амёбы, что бывает в случае снижения иммунитета человека после перенесенных стрессов, вирусных инфекций, респираторных заболеваний, вызывает болезнь, которая носит название амебиаз. Чаще она бывает кишечной и внекишечной. Кишечная приводит к язвенным поражениям толстого кишечника и, как следствие, затяжному протеканию. В этом случае амёба вместе с кровью проникает в другие внутренние органы, чаще в печень, и повреждает их, вызывая внекишечные абсцессы.
Симптомами амёбиаза, в первую очередь, является жидкий стул, который может быть малинового цвета. Болевые ощущения возникают в правой верхней части живота, т.к. локализация этих организмов происходит в верхнем отделе толстого кишечника. Может подняться температура, бить озноб, появиться желтуха.
Кишечная амёба у детей
Механизм заражения кишечной амёбы у детей такой же, как и у взрослых, а источник — немытые руки, мухи, грязные игрушки и бытовые предметы. Амебиаз может протекать бессимптомно, манифестно, в острой или хронической форме. Бессимптомная незаметна для ребёнка. О манифестной форме свидетельствует ухудшение самочувствия, слабость, снижение аппетита. Температура может быть нормальной или немного повышаться. Появляется понос, дефекация происходит несколько раз в день, учащаясь до 10-20 раз. В зловонном жидком кале появляется слизь с кровью. Малиновым цвет кала бывает не всегда. Отмечаются приступообразные боли в правой стороне живота, усиливающиеся перед опорожнением. Без лечения острая стадия длится месяц-полтора, постепенно затихая. После стадии ремиссии вспыхивает с новой силой.
Диагностика
Диагностика кишечной амёбы происходит, начиная с выяснения анамнеза заболевшего: какие симптомы, как давно появились, пребывал ли пациент в странах с жарким влажным климатом и низкой санитарной культурой. Именно там амёба широко распространёна и именно оттуда может быть завезена.
Проводится анализ крови, кала и мочи. Возбудители обнаруживаются в кале, при этом важно выявить вегетативную форму амёбы. Анализ необходимо сделать не позже 15 минут после испражнения. Также амёбы могут выявляться в тканях при ректороманоскопии – визуальном осмотре слизистой прямой кишки с помощью специального прибора. Ректороманоскоп даёт возможность увидеть язвы или свежие рубцы на её внутренней поверхности. Не выявление следов поражений слизистой ещё не говорит об отсутствии амебиаза, т.к. они могут находиться в более высоких отделах кишечника. Существует анализ крови на выявление антител к амёбам, он подтвердит или опровергнет диагноз.
С помощью УЗИ, рентгеноскопии, томографии определяют локализацию абсцессов при внекишечном амебиазе. Кишечный амебиаз дифференцируют с язвенным колитом, а амёбные абсцессы — с абсцессами другой природы.
Отличие кишечной амёбы от дизентерийной
Отличие кишечной амёбы от дизентерийной в её структуре: оболочка дизентерийной двуконтурная, преломляющая свет, у неё 4 ядра (у кишечной – 8), расположенные эксцентрично, в неё включены кровяные тельца, чего нет в кишечной. Дизентерийная амёба более энергична в передвижениях.
Лечение
Лечение кишечной амёбы проводится в зависимости от тяжести и формы болезни. Применяемые препараты для устранения недуга делятся на амебоциды универсального действия (метронидазол, тинидазол) и прямого, направленного на конкретную локализацию возбудителя: в просвете кишечника (хиниофон (ятрен), мексаформ и др.); в стенке кишечника, печени и других органах (эметина гидрохлорид, дегидроэметин и др.). Антибиотики тетрациклинового ряда – это косвенные амебоциды, поражающие амёб в просвете кишечника и в его стенках.
Бессимптомный кишечный амебиаз лечат ятреном. Во время острой вспышки назначается метронидазол или тинидазол. При тяжёлой форме совмещают метронидазол с ятреном или антибиотиками тетрациклинового ряда, возможно добавление дегидроэметина. В случае внекишечных абсцессов лечат метронидазолом с ятреном или хингамином с дегидроэметина. Диспансерное наблюдение проводится в течение года.
Профилактика кишечной амёбы
Лучшей профилактикой кишечной амёбы является соблюдение личной гигиены – частое мытьё рук, сырых овощей и фруктов под проточной водой, не употребление воды из-под крана или открытых источников. Особенно строго этих правил следует придерживаться во время поездок в страны с жарким и влажным климатом.
Изоляция заболевших до полного выздоровления – ещё одна необходимая мера профилактики. Если возбудитель выявлен у работника общепита, дезинфицируется всё помещение.
Прогноз лечения
Своевременное выявление кишечной амёбы даёт благоприятный прогноз лечения. Длительное заражение без применения лечения осложняется образованием спаек в кишечнике, прободением амёбных язв, перитонитом, что очень опасно.
После излечения недуга повторного заражения может не быть или болезнь проходит легко, т.к. вырабатывается иммунитет. В случае возникновения внекишечных абсцессов и поздней их диагностики возможен летальный исход.
Источники
- https://brulant.ru/health/amebiaz/
- https://AntiRodinka.ru/kishechnaya-ameba-simptomi-i-metodi-izbavleniya
- https://www.evaveda.com/spravochnye-materialy/parazity/prostejshie/kishechnaya-ameba/
Развитие болезни
Оказавшись в организме человека, цистная форма паразита сменяется на вегетативную, после чего амеба атакует стенки кишечника. При выделении ферментов, которые разъедают ткани кишечного тракта, возникают язвы. Пораженные зоны состоят из эрозивных и гнойничковых образований, структурно принимающих вид узлов, в которых поселяются организмы в вегетативной форме.
В своих размерах такие узлы могут вырастать до 25 миллиметров. Язва имеет днище с гнойной составляющей. Иногда такие образования объединяются между собой, атакуют мышечные ткани, а также опоясывают стенки кишечника. При осложнении возможно развитие перитонита. Существует вероятность возникновения кровотечения в результате разрушительного процесса в сосудах.
Иногда в период заживления тканей возможно сужение просвета кишечника, что может привести к его непроходимости. В том случае, если амебы оказываются в крови, нередко поражается печень, а также легочные ткани и головной мозг. При игнорировании заболевания возможно возникновение опухолеобразных амеб в полости кишечника.
Способ заражения
Пути передачи могут разниться. Основополагающий фактор проникновения в организм амебы – человек, выделяющий вегетативные формы Entamoeba coli и цисты. Причины амебиаза кроются в подавляющем большинстве случаев в переносчиках вредоносного организма, больных, имеющих хронический амебиаз, а также пациентах в период выздоровления после острого течения недуга. Именно при таких клинических картинах человек становится частью механизма передачи паразита.
Выводиться паразит может на протяжении многих лет. Только за двадцать четыре часа возможно отделение девяти сотен миллионов цист. Интересно то, что в период обострения болезни пациент не является переносчиком амебиаза и не способен заразить здорового человека, так как в этот момент в его организме обитают амебы в незаразных формах.
Кишечный амебиаз может возникать вследствие употребления немытых продуктов, а также при игнорировании правил гигиены. Грязная кухонная утварь, предметы одежды и постельное белье могут стать причиной возникновения болезни. Переносить болезнь также могут такие насекомые, как мухи и тараканы.
Болезнь преимущественно поражает представителей сильного пола в период с двадцати до пятидесяти лет. Иммунная система не в силах справиться с недугом. Амебиаз является болезнью, которую можно встретить в любой точке Земли, однако предпочитает Entamoeba coli влажные и знойные локации.
Антропонозная инвазия: способы и методы лечения
При амебиазе (кишечная амеба), лечение проводится в несколько этапов. В случае колитического синдрома необходимо купировать болевые ощущения. Для устранения кишечного амебиаза используются фармакологические группы противомикробного и противопротозойного действия.
Среди эффективных средств лечения можно выделить следующие лекарственные формы:
- Метронидазол – лекарственный препарат, выполненный на основе синтетического аналога природного вещества азомицина – антипротозойного агента инфекционных носителей. Противопоказанием к применению является гиперчувствительность организма к действующему веществу, дети до 1 года, беременные и кормящие женщины, а также люди с эпилептической патологией.
- Тинидазол – фармакологическое средство антибактериальной и противопротозойной активности, позволяющее эффективно противодействовать антропонозному инфицированию организма человека. Химический состав препарата активно воздействует на ДНК возбудителя заболевания, уничтожая его способность к размножению. Лекарственная форма не рекомендуется людям с хроническими проявлениями аллергической природы.
- Интестопан – лекарственное средство, обладающее антибактериальным и противопротозойным действием. Препарат рекомендован при острых и хронических энтероколитах, амебной дизентерии, гнилостной диспепсии пищеварительной системы.
Внимание! Все лекарственные группы имеют побочные эффекты. Занимаясь самолечением, можно нанести вред своему здоровью.
Лечение амебиаза народными средствами
Можно ли вылечить кишечный амебиаз, используя лишь средства народной медицины? Ответ: нет. Принимая различные отвары и/или настои на лекарственных травах, обладающих противовоспалительным и антисептическим действием, мы лишь стимулируем защитные свойства организма, однако, не воздействуем на воспалительный процесс поврежденного органа пищеварения. С этой задачей справляется лишь комплексная медикаментозная терапия.
Однако сочетание официальной медицины и народного лечения, всё же допустимо:
- Лечение чесноком. В этом продукте питания содержатся биологически активные вещества, оказывающие противовоспалительное, противопротозойное и антибактериальное действие. Восстановить кишечную микрофлору и усилить сопротивляемость к инфекционному заражению можно при помощи спиртовой настойки. Для приготовления понадобится головка чеснока и 200 мл разбавленного спирта или водки. Чеснок перемалывается и заливается спиртосодержащей жидкостью. После настаивания в течение 2-3 суток лекарство готово. Принимать по 2 ч. л. 3 раза вдень за час до еды.
- Отвар дубовой коры обладает не только противовоспалительным действием. Дубильные вещества, входящие в биохимический состав древесного растения, оказывают вяжущее действие на слизистую оболочку кишечника, тем самым лишая паразита питательной среды. Готовое сырьё для лекарства можно приобрести в любой аптеке. Для приготовления целебного отвара понадобится 1 ст. л. сухой коры дуба и стакан кипяченой воды. Настаивается снадобье в течение 1-1,5 часа, после чего процеживается и принимается по 2 ч. л. через каждый час. Аналогичный рецепт можно приготовить на основе разбавленного спирта или водки. Однако настаивается такое лекарство в течение 10-14 дней.
- При кишечном амебиазе в качестве дезинфицирующего средства можно использовать слабый отвар из лаврового листа. На стакан кипяченой воды берется 2-3 листка лавра.
- Отвар ромашки лекарственной – это превосходное болеутоляющее и антисептическое средство при колитах и дизентерии. На стакан кипятка берется 15-20 г сухого сырья. Принимается лекарство по 1 ст. л. 3-4 раза в день перед едой.
- Рисовый отвар в странах юго-восточной Азии считается традиционным средством лечения против амебиаза. Его готовят из расчета 1 ст. л. риса на 2 стакана воды. Отвар остужают, процеживают и принимают по 1/3 стакана каждые 3-4 часа.
Методы терапии
Курс лечения кишечного амебиаза назначает врач, исходя из клинической картины болезни и общего состояния больного.
Лечение пациента, больного кишечным амебиазом проводится в инфекционном отделении. Как правило, терапевтический курс состоит из приема лекарственных препаратов и применения народных методов лечения, иногда требуется хирургическое вмешательство. Самолечение при заражении амебами приводит к плохим результатам.
Лечение медикаментами состоит из приема таких лекарств, как «Метронидазол» или «Тинидазол». Часто в комплексе с основными препаратами для лечения кишечного амебиаза, действующими непосредственно на амеб, используют лекарства для уничтожения патогенных микроорганизмов:
- «Энтеросептол»;
- «Мексаформ»;
- «Интестопан».
Для уничтожения микробов в кишечных стенках используют «Эметин Гидрохлорид» и «Амбильгар». Если в тканях уже начались абсцессы, требуется хирургическое лечение в комплексе с медикаментами. Народное лечение амебиаза состоит преимущественно из отваров и настоев с использованием лекарственных трав.
Развивается ли иммунитет после выздоровления?
Известно, что переболев новой инфекцией, у организма появляется к ней иммунитет. Иммунная система «запоминает» патогенного возбудителя заболевания, и продуцирует специфические антитела для предотвращения его повторного влияния на организм.
При вторичном проникновении инфекции в организм иммунная система запускает средство борьбы с ней и не допускает патологического развития, поэтому инфицированный или не заболевает вовсе, или переносит легкую форму болезни. Но так как большинство заразившихся кишечным амебиазом людей не встречались с дизентерийной амебой и иммунитета к болезни не имеют, то патологический процесс характеризуется бурным развитием.
Профилактические мероприятия
В перечень мер по профилактике амёбиаза входит:
- Раннее обнаружение больных людей и носителей амебиаза, лечение их.
- Диспансерное наблюдение за переболевшими.
- Санитарно-гигиенические мероприятия: обработка продуктов питания, очистка воды, привитие людям правил личной гигиены.
Более полную информацию об амебиазе и амебной дизентерии вы получите, просмотрев данный видео-обзор:
Лотин Александр, врач-радиолог
20, всего, сегодня
(172 голос., средний: 4,56 из 5)
-
Заражение клебсиеллой: симптомы и лечение
-
Эпидемия гриппа 2019-2020 года: особенности вирусов, прогнозы, профилактика










