Ирина Иванова
Гематолог
Высшее образование: Гематолог Самарский государственный медицинский университет (СамГМУ, КМИ) Уровень образования — Специалист 1993-1999
Дополнительное образование: «Гематология» Российская Медицинская Академия Последипломного Образования
Контакты
Острый миелобластный лейкоз является заболеванием крови, которое гематологи относят к злокачественным. Самая большая проблема онкологической патологии в том, что конкретный очаг найти невозможно. Поражен определенный пласт клеток. Болезнь имеет системный характер. Лечить ее можно только путем химиотерапии. Выявляется ОМЛ у лиц разных возрастов, но наиболее уязвимы школьники и пожилые.
В чем суть болезни
Кровь – особая среда, в которой есть жидкая часть (плазма) и клеточные элементы. Клетки созревают в костном мозге. Этот процесс протекает постоянно, он саморегулирующийся. Они находятся в разной степени развития. У каждой разновидности – своя «клетка-предшественница». Через ряд стадий, трансформаций получаются зрелые формы, выполняющие свою функцию полноценно.
При миелобластном лейкозе на определенном этапе развития возникает поломка механизма созревания. Клетки перестают дифференцироваться или становятся более «специализированными». И в то же самое время процесс пролиферации (размножения) переходит в лавинообразный. Незрелых форм становится много. Это и есть субстрат заболевания, именуемого ОМЛ.
Лечение онкологии крови
На начальной стадии развития заболевание лечение используют медикаментозное. Медики часто назначают «А-интерферон», «Миелосан». Облегчение наступает на шестой неделе приема препаратов. Потом проводится поддерживающая терапия, в случае обострения заболевания проводят курсы лечения «Миелосаном». Если данный препарат оказывается неэффективным, используют «Миелобромол» на протяжении трех недель. В крайнем случае, врач назначает «Допан» или «Гексафосфамид».
Также для лечения патологии прибегают химиотерапии с использованием химических препаратов, которые снижают рост опухолевых клеток, способствуют их разрушению. Данный метод используют на разных стадиях недуга. Он имеет побочные действия, что выражаются в нарушении деятельности ЖКТ, появлении аллергических реакций, болей в мышцах, судорогах. После курса химиотерапии врач назначает «Интерферон» с целью восстановления иммунной системы.
Если химиотерапия оказалась неэффективной, прибегают к лучевой терапии. Также ее могут использовать при подготовке пациента к пересадке костного мозга.
Обратите внимание! В некоторых случаях проводят удаление селезенки из-за наличия сильного болевого синдрома в области живота, значительного увеличения органа или при угрозе его разрыва.
С целью предотвращения развития микроскопических тромбозов и отека сетчатки глаз медики назначают лейкоцитофорез. В данном случае проводится очистка крови от патологических клеток.
Причины и факторы риска
Самым обсуждаемым предрасполагающим фактором считается наследственность. Действительно, существует форма строго миелобластного лейкоза, о которой смело можно сказать, что она наследуется. Это «филадельфийская хромосома», возникающая вследствие неизвестных причин. Речь идет о мутации в ходе которой появляется транслокация (перенос) генетического материала с одной хромосомы на другую. В результате меняются процессы пролиферации и дифференцировки клеток гемопоэза (кроветворения). Заболевание передается по наследству, с полом не сцеплено.
Следующая группа факторов риска связана с радиоактивным излучением и радиацией в целом. Незначительные дозы, получаемые постоянно и системно, на гемопоэз не влияют. Но известен мутагенный эффект высоких доз. Особенно четко это видно на примере техногенных катастроф. В зоне риска врачи-рентгенологи, а также лица, которые проходили лучевую терапию, как часть лечения.
Среди мутагенных факторов немалую долю составляют химические соединения. Самое известное – бензол. Его онкогенные свойства уже не раз были доказаны. Из лекарственных средств тоже немало мутагенов. Например, Хлорамфеникол.
В сельском хозяйстве используются инсектициды для истребления насекомых, а также гербициды. Их роль в возникновении ОМЛ тоже возможна.
Из биологических факторов можно вспомнить некоторые онкогенные виды вирусов (например, Папова или лимфотропный).
Прогноз жизни
Прогноз зависит от следующих факторов:
- Типа ОМЛ;
- Чувствительности к химиотерапии;
- Возраста, пола и состояния здоровья пациента;
- Уровня лейкоцитов;
- Степени вовлеченности головного мозга в патологический процесс;
- Продолжительности ремиссии;
- Показателей генетического анализа.
Если заболевание чувствительно к химиотерапии, концентрация лейкоцитов умеренная, а нейролейкоз не развился, прогноз положительный.
При благоприятном прогнозе и отсутствии осложнений выживание в течение 5 лет составляет более 70%, частота рецидивов менее 35%. Если состояние пациента осложнено, то выживаемость равняется 15%, при этом рецидивировать состояние может в 78% случаев.
Чтобы своевременно выявить ОМЛ, необходимо регулярно проходить плановые медицинские обследования и прислушиваться к организму: частые кровотечения, быстрая утомляемость, возникновение синяков от небольшого воздействия, длительное беспричинное повышение температуры могут говорить о развитии лейкоза.
Классификация
Лейкозы бывают острыми и хроническими. В первом случае он отражает так называемый лейкемический «провал», или отсутствие дифференцированных форм того или иного ростка клеток крови. В случае хронического лейкоза они есть, хоть и в небольшом количестве. Бластные формы могут быть вовсе не обнаружены.
Острый лейкоз также классифицируют по количеству лейкоцитов в крови в целом. Существуют следующие виды:
- лейкемический вариант – когда количество лейкоцитов превышает 100 000 000 клеток на литр или белокровие;
- сублейкемический лейкоз с содержанием белых клеток крови от 9 000 000 до 100 000 000 на литр;
- алейкемический вариант лейкоза не сопровождается изменением количества белых кровяных телец в целом;
- лейкопения более характерна для дебюта патологии, когда лейкоцитов определяется меньше установленной нормы (менее 4 000 000 на литр).
Отдельно различают ОМЛ на фоне известных генетических аномалий, лучевой терапии, синдрома Дауна.
Стадии развития заболевания
Миелоидная лейкемияхронического характера имеет три стадии развития:
- Хроническая стадия развивается при отсутствии своевременного лечения, заболевание на данном этапе диагностируется у 85% пациентов. В этот период наблюдается стабильность в состоянии больного, признаки патологии проявляются в минимальном количестве и не причиняют дискомфорта. Продолжительность этой стадии составляет от трех до четырех лет в зависимости от того, насколько рано было начато лечение. Обычно ХМЛ выявляется случайно при проведении анализа крови. Если лечение не было вовремя начато, наступает следующая стадия заболевания.
- Акселеративная стадия, при которой начинается активный рост аномальных клеток крови. Данная фаза протекает около одного года, при этом возможно развитие новых патологий в дополнение к аномальной хромосоме.
Обратите внимание! Число незрелых лейкоцитов на этой стадии постоянно растет, но существует возможность вернуть заболевание в хроническую фазу при использовании правильного лечения. В противном случае развивается последняя стадия недуга.
- Бластный криз или терминальная стадия, что является последней фазой заболевания, характеризуется наличием новых аномалий хромосом. Здесь костный мозг полностью замещается патологическими клетками. Эта фаза болезни имеет схожесть с острым лейкозом, прогнозпри неэффективном лечении неблагоприятный, недуг заканчивается летальным исходом. Обычно длится бластный криз около шести месяцев.
Некоторые больные при постановке диагноза уже находятся на терминальной стадии развития патологии, поэтому риск развития смертельного исхода в этом случае очень высок.
Что происходит в организме при остром миелобластном лейкозе?
Бесконтрольный рост клеток миелоцитарного ряда приводит к повышению их количества. Кроме того, что их много, они незрелые, и свою функцию выполняют неполноценно. То есть снижается защита от инфекционных заболеваний. Менее выражены антиаллергические механизмы на фоне ОМЛ.
Миелобласты (именно так называют молодые формы клеток миелоцитарного ряда) как бы «вытесняют» представителей другого ростка. Это приводит к уменьшению количества красных кровяных клеток (эритроцитов) и пластинок (тромбоцитов). Большое количество незрелых клеток приводит к изменению состава крови.
Излишек миелобластов рассеивается по разным тканям и органам, в основном паренхиматозным. Это некая форма метастазирования, как этот процесс принято называть у онкологов.
Что такое хронический миелолейкоз?
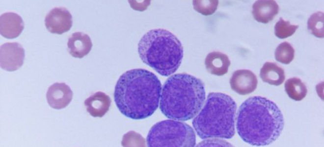
Мазок крови пациента с хроническим миелолейкозом
Хронический миелолейкоз (ХМЛ) — злокачественное новообразование кроветворной ткани, сопровождающееся прогрессирующей пролиферацией незрелых гранулоцитов. Заболевание изначально обладает вялотекущим характером, постепенно перетекая в стадию обострения с выраженной симптоматикой и образованием системных нарушений. Является одной из самых опасных и инвалидизирующих болезней.
ХМЛ — первое онкологическое заболевание, у которого определена связь между развитием канцерогенеза и мутацией в гене. Характерная аномалия основана на транслокации 9-й и 22-й хромосом, то есть участки данных хромосом меняются местами, образуя аберрантную хромосому. Выявлена мутировавшая хромосома исследователями из Филадельфии, поэтому она получила название филадельфийская или Ph-хромосома.
Изучение Ph-хромосомы и её влияния позволило разработать новое средство для подавления онкологических процессов, благодаря которому продолжительность жизни пациентов значительно увеличилась. Однако болезнь до сих пор остаётся неизлечимой. Число первичных ХМЛ диагностируется у 1,5:100 000 населения в год, пик заболеваемости приходится на возраст 30-50 лет, 30% ХМЛ выявляется у лиц старше 60 лет, у детей заболевание диагностируется менее чем в 5% случаев.
Клинические проявления ОМЛ
Заболевание очень редко выявляется на фоне специфических жалоб. Это большей частью находка во время очередного профилактического или диспансерного осмотра. У пожилых пациентов выявляют острый миелобластный лейкоз, когда они обращаются за медицинской помощью по поводу декомпенсации (ухудшения) течения основного сердечно-сосудистого заболевания.
В целом клиническую картину ОМЛ едва ли можно считать специфической. Существует 4 основных синдрома, проявления которых будут описаны ниже.
Анемический синдром
Анемией считают снижение уровня гемоглобина ниже нормального. У мужчин это 140–160 г/л, у женщин оптимально содержание этого белка на 20 единиц меньше. Еще один критерий для постановки анемического синдрома – снижение количества эритроцитов ниже 5,0 х 10000000000000/л.
Почему снижаются эритроциты и гемоглобин у больных с острым миелобластным лейкозом? Первый механизм связан с вытеснением клеток эритроидного ряда миелобластами, которых в крови и костном мозге очень много. Второй непосредственно вызван кровотечениями, генез которых связан с угнетением мегакариоцитарного ростка (формируется мало тромбоцитов).
Внешне обращает на себя внимание бледность кожи. Иногда цвет может приобретать зеленоватый оттенок. Покров сухой, шелушится. Страдают от анемии и производные кожного покрова. Ногти слоятся, становятся тусклыми. Волосы выпадают, секутся. Могут потерять характерный здоровый прежде вид, блеск. Эти симптомы чаще обнаруживают женщины.
Вышеперечисленные проявления относятся к так называемому гипоксическому синдрому. Он связан с недостаточным поступлением кислорода в периферические ткани и органы. Второй важный синдром при анемии – сидеропенический. Как видно из названия, есть недостаток железа.
Железо входит в состав многих ферментов, белков. Так, в условиях недостатка этого важного элемента появляются следующие жалобы:
- немотивированная утомляемость, усталость и слабость;
- снижение толерантности к привычному уровню физических нагрузок;
- головокружения;
- тошнота;
- недержание мочи и кала у пожилых.
Длительно существующая анемия утяжеляет течение проблем с сердцем, которые уже есть в организме. В частности, приводит к более быстрому изнашиванию из-за рефлекторной тахикардии (учащенному сердцебиению) и формирующейся быстрее, чем обычно недостаточности функции сердца. В целом гипоксия отражается на всех органах.
Особенно чутко на него реагирует мозг, почки. Здесь тоже можно обнаружить прогрессирование недостаточности функции с формированием дисциркуляторной энцефалопатии и хронической болезни почек (снижение уровня клубочковой фильтрации).
Геморрагический синдром
Снижение уровня тромбоцитов в крови – объяснимое последствие увеличения образования опухолевых клеток при остром миелобластном лейкозе. Как известно, они отвечают за фазу в свертывании крови. Ведь именно на тромбоцитах (на их мембранах) находится важный фактор – тромбопластин.
Тромбоцитарный гемостаз страдает при ОМЛ в рамках геморрагического синдрома. Клинически проявляется петехиальный или петехиально-пятнистый тип кровоточивости. Иными словами, появляются точечные высыпания. Они возникают в местах, где давит одежда, а также где были инъекции, удары, ушибы. Даже после измерения артериального давления на месте, где плечо пережимала манжета, возникают точечные кровоизлияния.
При нажатии такие красные точки не исчезают. Тем самым, эта проба показывает, что воспалительного генеза в этом синдроме нет. Петехии – проявление скопления крови под кожей. Красные точечки оставляют после себя участки гиперпигментации. Но она сохраняется не более месяца.
Второй возможный тип кровоизлияния – петехиально-пятнистый. У больных острым миелобластным лейкозом видны синячки на коже даже после незначительных ударов. Они сначала синие, фиолетовые. Отцветая, кожный покров становится зеленовато-желтыми. Некоторое время также сохраняется более темный, гиперпигментированный участок кожного покрова.
При тяжелом течении острого миелоболастного лейкоза геморрагический синдром может реализоваться очень грозным осложнением – ДВС-синдромом. Возникают опасные кровотечения, которые остановить не всегда удается даже в условиях палаты интенсивной терапии.
Синдром инфекционных осложнений
Его возникновение связано с недостатком функционально зрелых лейкоцитов, в частности, гранулоцитов. Гранулоцитопения вызывает снижение иммунитета. Организму сложнее бороться с инфекциями, в том числе с условно-патогенными возбудителями, которые в обычных условиях болезни не вызывают.
У детей становятся частыми ангины, острые респираторные инфекции. Протекают они с осложнениями в виде бронхитов и даже пневмоний.
Нередко активируется болезнетворная флора в почках. Поэтому встречается острый пиелонефрит. У взрослых он протекает особенно тяжело с недостаточностью функции почек.
Интоксикационный синдром
Возникновение интоксикации связано с распадом опухолевых клеток в первую очередь. Вторая причина – атака микроорганизмов и вирусов. В итоге возникает температура субфебрильного или фебрильного (выше 38,5°С) уровня. Дети особо остро ощущают озноб. На пике подъема температуры тела возможны даже судороги. У взрослых тоже возникает жар, но переживают это они гораздо легче.
Нарастает слабость, утомляемость. Больные могут отмечать выраженное снижение аппетита. По этой причине теряется вес, на поздних стадиях возможна крайняя степень истощения – кахексия. Часто беспокоит тошнота и рвота.
Подготовка к анализу
Правила сдачи крови на общий анализ не предусматривают специфических правил подготовки. Как сдавать анализ крови на хронический миелолейкоз, известно. Кровь сдают натощак, утром, чтобы избежать «помех», искажающих результаты. В день, перед сдачей крови не рекомендуют тяжёлые физические нагрузки. Крайне нежелательно, в течение трёх суток перед процедурой, употребление жирных и жареных продуктов. Если эти условия соблюдены, то диагностический анализ крови на миелолейкоз будет чрезвычайно информативен.
Расшифровка результатов миелолейкоза, занимает два дня, с момента принятия результатов в обработку. Если лаборатория перегружена работой, то результат может быть получен позднее.
Современные диагностики крови предусматривают взятие образцов костного мозга на цитогенетический анализ из бедренной кости. Пробы отбирают методом биопсии или аспирации. Изучают хромосомы. Поражённые клетки содержат аномальную 22 хромосому. С целью обнаружения аномальной хромосомы используют цепную полимеразную реакцию.
Диагностика
В первую очередь выполняется общий анализ крови. Он должен быть развернутым. При остром миелобластном лейкозе отмечается лейкоцитоз. На этом фоне в лейкоформуле очевидны явные сдвиги. Бластов более, чем 20%. Количество гранулоцитов уменьшается (формируется агранулоцитоз). Базофилы, эозинофилы не встречаются вовсе. При анемии снижается число эритроцитов и содержание гемоглобина, а при геморрагическом синдроме уменьшается количество кровяных пластинок. Отмечается ускорение СОЭ.
В биохимическом анализе крови видно увеличение креатинина и мочевины, отражающие распад клеток. Это неизбежно отразится на работе почек. При метастатических очагах в печени повышается уровень печеночных трансаминаз, билирубина.
Для верификации диагноза необходима пункция костного мозга (стернальная) с последующим гистологическим, биохимическим и цитологическим исследованием. При острой миелобластном лейкозе количество бластных молодых клеток превышает 30%. Угнетен эритроидный и мегакариоцитарный ростки.
Биохимические реакции нужны для идентификации подтипа лейкоза. Исследуется пероксидазная и эстеразная активность. Дополняет спектр иммунологический метод. По обнаруженным антигенам идентифицируется вид лейкоза, подбирается специфическая терапия.
Для исключения наличия метастазов выполняется ультразвуковое исследование органов брюшной полости, малого таза, забрюшинного пространства. Необходим рентген легких, желательно в нескольких проекциях. При необходимости исследуют лимфатические узлы, если доктор заподозрил их увеличение.
Трансплантация клеток костного мозга
Хирургическое вмешательство является довольно распространенным методом лечения, но при этом дорогостоящим. Не каждый пациент в состоянии себе это позволить. Онкоцентр на Каширке – один из знаменитых институтов терапии опухолевых новообразований – проводит подобные оперативные вмешательства, помогая излечиться своим пациентам.
Пересадка самого костного мозга сейчас используется не так часто, как трансплантация стволовых клеток, которые берут из периферической крови. Существуют два варианта проведения процедуры:
- Используют гемопоэтические клетки костного мозга донора. Это может быть кто-то из родственников, поскольку достаточно тяжело найти подходящего донора, который не состоял бы в родственных связях с больным.
- Пересадка собственных периферических клеток. Эта процедура сложна тем, что вместе со здоровыми клетками могут быть изъяты и бластные.
Онкоцентр на Каширке не только проводит хирургические вмешательства, которые позволили снизить смертность пациентов, но и использует современные методы термоаблации, криотермоаблации и радиоволновой хирургии.
Симптомы онкопатологии кроветворных органов
Признаки недуга длительное время отсутствуют, первые специфические симптомы хронического миелолейкоза, заставляющие человека встревожится и посетить врача, появляются обычно в терминальной стадии болезни, когда вылечить её невозможно. Для начальной фазы заболевания характерны смазанные, носящие мягкий характер, симптомы. Но зная их, можно заподозрить развитие патологического состояния и, обратившись своевременно к гематоонкологу, диагностировать хронический миелолейкоз в ранней фазе, хорошо поддающейся терапии.
К основным признакам, которые должны вызывать тревогу, относятся:
- увеличение лимфатических узлов;
- анемия, характеризующаяся бледностью кожи;
- постоянное ощущение недомогания и усталости;
- необоснованная потеря аппетита и снижение веса;
- появление на кожных покровах синяков и кровоподтёков;
- частые и длительные наружные или внутренние кровотечения;
- ощущение переполненности левой стороны брюшной полости из-за увеличения размеров селезенки.
Эти симптомы типичны для многих заболеваний, но их появление нельзя игнорировать, т. к. они могут косвенно указывать на развивающуюся онкологию крови. Часто именно благодаря жалобам пациента на наличие у него этих признаков удаётся своевременно обнаружить опасное заболевание.

