Кровоизлияние в мозг является чрезвычайно опасным для жизни состоянием. Другое, более научное название данного явления – геморрагический инсульт. Оно подразумевает выход крови в ткани мозга, который происходит в результате разрыва стенки кровеносного сосуда. Дальнейшее развитие ситуации во многом зависит от быстроты, с которой пострадавшему была оказана медицинская помощь. В половине случаев пациенты не выживают, большая часть выживших приобретает инвалидность.
При кровоизлиянии происходит разрыв стенки сосуда. Это означает накапливание крови в тканях головного мозга, прекращение полноценного питания части клеток. Из скапливающейся крови образуется сгусток – гематома, которая давит на прилегающие ткани, нервы, сосуды. Функции, за которые отвечает пораженный участок мозга, подвергаются угнетению. Если задеты жизненно важные центры, особенно расположенные у мозгового ствола, то у человека может произойти остановка дыхания или работы сердца.
Что такое мозговое кровоизлияние
Головной мозг пронизан сетью кровеносных сосудов, доставляющих к тканям кислород и питательные вещества. Под влиянием неблагоприятных факторов эластичная сосудистая стенка истончается, становится более ломкой и может разорваться. В месте повреждения появляется кровотечение, которое нарушает работу клеток.
В зависимости от того, как распределяется вытекшая из сосуда кровь, выделяют 2 варианта течения патологии:
- Гематома. На определенном участке возникает кровяной сгусток, сдавливающий окружающие ткани и мешающий полноценной работе клеток. При длительном давлении клеточные структуры начинают погибать.
- Геморрагическая пропитка. Плазма и кровяные элементы не образуют сгусток, а пропитывают ткани, занимая межклеточное пространство и затрудняя поступление необходимых веществ.
Помимо разрыва, мозговое кровоизлияние может развиться из-за повышенной проницаемости сосуда. При некоторых заболеваниях сосудистая стенка становится рыхлой, сквозь нее просачиваются плазма и форменные элементы крови. Этот процесс называют диапедезом.
Коротко охарактеризовать, что такое геморрагия головного мозга, можно так: «Патологическое попадание плазмы и кровяных элементов на мозговые ткани, вызывающее гибель клеточных структур и нарушение работы органа.
Осложнения
Самым неблагоприятным исходом инсульта является смерть пациента. По статистике около половины больных не переживают данное состояние, а те, кто смогли его перенести, остаются инвалидами из-за слабости рук и ног и неразборчивости речи. У некоторых пациентов после инсульта развиваются еще более серьезные осложнения, такие как:
- тромбоз;
- сепсис;
- острый инфаркт;
- застойная пневмония;
- нарушения сознания;
- пролежни.
Причины кровоизлияния в мозг
Основные причины – нарушение целостности сосудистой стенки, вызванное повреждением или нарушением структуры. Провоцирующими факторами являются:
- Гипертоническая болезнь с частыми кризами. Частые подъемы АД приводят к тому, что участки сосудов чрезмерно растягиваются, становятся менее прочными.
- Травмы головы. Сотрясения и ушибы головного мозга провоцируют развитие геморрагии. Этот вид инсульта может встречаться у молодых людей.
- Аневризма. При заболевании на сосудистой стенки образуется одностороннее выпячивание. В месте патологического расширение отмечается истончение гладкой мускулатуры и нарушение скорости кровотока (появляется «завихрение» течения биологической жидкости, которое дополнительно давит на истонченный участок).
- Врожденные аномалии. Патологическое переплетение вен и артерий (мальформация) является предрасполагающим фактором для образования внутрисосудистых тромбов и выпячивании на стенках, а в дальнейшем становится причиной разрыва сосуда.
- Атеросклероз. Образование атеросклеротических бляшек приводит к сужению сосудистого просвета и повышению нагрузки на этот участок.
- Опухолевый процесс. Как доброкачественные, так и злокачественные опухоли состоят из перерожденных мозговых клеток и сосудов. При некоторых процессах происходит патологическое изменение структуры сосуда: она становится ломкой или повышенно проницаемой.
- Нарушение свертываемости крови (гемофилия). При низком количестве фибринов и тромбоцитов кровяной выпот возможен даже при незначительной проницаемости участка сосудистой стенки.
- Длительный прием кроворазжижающих средств. Механизм развития патологического процесса аналогичен тому, что характерен для гемофилии.
- Системные болезни, поражающие внутрисосудистые поверхности (СКВ, ревматизм). Аутоиммунные процессы снижают прочность сосудистой стенки.
Дополнительными провоцирующими факторами являются табакокурение и алкоголь, малоподвижный образ жизни и лишний вес, стрессы.
Оценить риск мозгового кровоизлияния можно, выбрав среди указанных факторов те, которые имеются от конкретного пациента. Чем больше причин, от чего происходит геморрагия, тем выше риск развития патологии.
Этиология
Основная причина кровоизлияний – это разрыв одной из внутричерепных артерий, что вызвало недостаточное питание и поступление малого количества кислорода в ткани мозга.
Помимо этого, факторами, увеличивающими риск кровотечения в черепе, могут стать:
- широкий спектр разнообразных травм головы;
- повышенное артериальное давление;
- образование нароста в мозгу, который со временем заполняется кровью и лопается. Чаще всего это является причиной кровоизлияния у малышей, так как новообразования могут быть врождённые;
- патологическое строение сосудов головного мозга;
- раковые опухоли;
- приём в больших количествах лекарственных препаратов, направленных на разжижение крови;
- нездоровый образ жизни, злоупотребление никотином, спиртными напитками и наркотическими веществами;
- скопление в стенках мозга большого количества специфического белка амилоида;
- инфекционные заболевания, влияющие на кровообращение;
- сахарный диабет;
- сильные физические нагрузки;
- вредные условия труда;
- проживание вблизи заводов, загрязняющих воздух;
- продолжительные стрессы или депрессии;
- преждевременные роды, особенно высока вероятность кровоизлияния у новорождённого малыша, если срок беременности составлял меньше чем тридцать две недели. Кроме этого такой процесс может развиться во время первой недели жизни младенца — это обусловлено осложнёнными родами, поздним токсикозом и таким состоянием, как эклампсия.
Геморрагический инсульт
Какие бывают кровоизлияния
Разрыв сосуда может произойти в любом месте. В зависимости от локализации геморрагии выделяют следующие виды кровоизлияний в мозг:
- Паренхиматозное (внутримозговое). Очаг локализован внутри клеточной структуры, отвечающий за речь, слух, зрение, подвижность и силу конечностей, а также за другие важные функции. Внутримозговое кровоизлияние, в зависимости от локализации, может привести к смерти или глубокой инвалидности, а может пройти без серьезных последствий и человек полностью восстановится после инсульта.
- Стволовое. Эта структура связывает головную и спинную нервные ткани, отвечая за работу внутренних органов. Геморрагия в ствол мозга считается наиболее тяжелой и приводит к нарушению жизненно важных процессов (дыхание, сердцебиение). Смерть от стволового геморрагического инсульта встречается намного чаще, чем при другой локализации патологии.
- Вентрикулярные (внутрижелудочковые). Кровь скапливается в желудочках мозга, для этого состояния характерна кома и быстрое ухудшение состояния больного. Чаще возникает после травмы у взрослых и у младенцев при наложении вспомогательных инструментов для родовспоможения или в качестве осложнения других видов геморрагий. Как самостоятельная, не травматическая патология, бывают редко.
- Паутинные (субарахноидальные). Кровь скапливается в мозговых оболочках, увеличивая внутричерепное давление.
- Смешанные. Сочетается 2 или более видов геморрагий. Смешанные геморрагические инсульты всегда обширны и отличаются тяжелым течением.
Локализацию очага определяет врач при осмотре больного и по данным аппаратного исследования. Для человека, не работающего в медицине, нужно знать, от чего бывает мозговое кровоизлияние и как проявляется геморрагический инсульт.
Нейрохирургическое вмешательство
Раньше основным видом операции на головном мозге была трепанация черепа – вмешательство со вскрытием черепной коробки через вырезанный участок кости. Этот способ используется и поныне. Операция проводится под общим наркозом.
Для проведения такого хирургического вмешательства необходимо учитывать общее состояние организма больного. Противопоказанием может быть наличие хронических болезней внутренних органов, способное осложнить ход операции и восстановление в послеоперационный период.
Трепанация делается в самых серьезных случаях, например, при обширном кровоизлиянии в глубинные слои мозга.
Малоинвазивный метод – удаление кровяной массы (гематомы) путем растворения. Для этого в черепе проделывается одно отверстие, через которое вводится в несколько приемов (каждые 6 часов) специальная жидкость. Для введения используется катетер. После растворения сгустка жидкость откачивается, его остатки удаляются. Такая операция занимает длительное время – сутки и более.
Существует еще одна разновидность операции по кровоизвлечению. Это стереотаксический метод, при котором жидкость для растворения гематомы подается без катетера, прямо на место кровоизлияния.
Характерная симптоматика
Симптомы кровоизлияния в мозг появляются внезапно после стресса, травмы или гипертонического криза. Первые признаки не заметить сложно:
- спутанность сознания (человек не понимает, где находится, забывает основные факты своей биографии, не узнает окружающих и с трудом дает ответы на простые вопросы);
- сильная мигренеподобная боль;
- нарушение координации (пострадавший не может совершать точные движения, походка становится шаткой);
- изменение зрачков (со стороны локализации патологического очага зрачок расширен, а глазное яблоко движется медленнее или остается совсем неподвижным);
- нарушение зрения (происходит за счет нарушения аккомодации хрусталика или затруднения подвижности глазного яблока с одной стороны);
- тошнота и рвота, не приносящая облегчения;
- одностороннее снижение чувствительности и парез конечностей.
Возможно развитие судорожных припадков.
Не обязательно должны возникнуть все признаки кровоизлияния в мозг – симптоматика зависит от расположения очага геморрагии. Срочно вызвать «скорую» или доставить человека к врачу нужно, если возникли 2 и более симптома из перечисленных выше.
Важно помнить, что самым благоприятным временем для проведения медикаментозной терапии является первый час, после возникновения первых признаков геморрагии. Чем больше прошло времени с момента кровоизлияния, тем тяжелее восстановление после болезни.
Первая помощь
При кровоизлиянии человеку требуется срочная медицинская помощь. Поэтому первым делом нужно максимально быстро вызывать скорую, подробно описав состояние больного. В период ожидания врачей важно сделать все правильно, чтобы повысить шансы на сохранение жизни человека. Для этого требуется выполнить следующие действия:
- Положить больного так, чтобы голова и плечи находились на небольшом возвышении под углом 30°, повернуть его набок. Он должен быть неподвижным.
- Расстегнуть все пуговицы и замки на одежде больного, которые могут сдавливать тело.
- Измерить артериальное давление, запомнить показатели для информирования врачей. Если потребуется, дать пострадавшему таблетку или поставить его ступни в таз с прохладной водой.
- Приложить холодный компресс к его голове.
После вызова скорой и выполнения этих простых действий делать что-либо категорически запрещается. Больной должен просто лежать.
Стоит также вызвать бригаду медиков, если человек жалуется на внезапную интенсивную боль в голове, онемение конечностей и помутнение сознания.
Лечебные мероприятия
Доставленному в медицинское учреждение пациенту экстренно проводят медицинское обследование для уточнения локализации очага и возможной причины развития патологии, после чего больного помещают в реанимацию или палату интенсивной терапии.
В зависимости от вида скопления крови, выделяют 2 способа устранения очага:
- Оперативный. Необходим для больших (более 30 мл) гематом, чтобы предотвратить сдавление и некроз тканей.
- Консервативный. Используется при пропитке кровью мозговой структуры, небольших гематомах или после оперативного вмешательства.
При кровоизлиянии в мозг лечение консервативным способом состоит из нескольких этапов:
- Устранение мозгового отека. Для снижения внутричерепного давления применяют диуретические средства (Фуросемид) и кортикостероиды (Дексаметазон, Преднизолон).
- Прекращение кровотечения. Кровоостанавливающие медикаменты применяют для профилактики возможных внутримозговых кровотечений, используют Дицинон, Рутин или Троксевазин. При этом регулярно берут анализ на свертываемость крови. Это необходимо, чтобы снизить риск повторного инсульта из-за повышенного тромбообразования.
- Стабилизация давления. Одна из причин, почему происходит геморрагический инсульт – частые подъемы АД. Индивидуальный подбор гипотензивных средств поможет снизить риск развития осложнений.
- Обеспечение покоя. В первые дни посторонние раздражители усугубляют мозговые поражения и, помещая больного в ПИТ или реанимацию, человеку обеспечивают максимальный покой. Для снятия возбуждения назначают легкие транквилизаторы (Элениум, Феназепам).
Алгоритм консервативного лечения одинаков для небольших геморрагий и для восстановительной терапии после нейрохирургического удаления гематомы.
Возможный прогноз после перенесенного приступа
Практически половина больных уходят из жизни через месяц после кровоизлияния. Нерадостный прогноз на восстановление у следующих категорий:
- Больных в возрасте от 70 лет.
- Людей с объемными опухолями (около 50 мм).
- Пациентов в коме.
- Больных с гемиплегией, гипергликемией.
- Людей с нарушенными структурами «серого вещества».
- Пациентов с диагнозом кровоизлияния в желудочки.
Чаще всего приступ с летальным исходом случается при повреждении ствола. У некоторых больных присутствуют стойкие нарушения центральной нервной системы. Но восстановительная комплексная терапия оказывается иногда эффективной. Рецидивы кризиса возможны в 4-х процентах случаев (при диагнозе – амилоидная ангиопатия и аневризма выше).
Внутримозговое кровотечение очень опасно для человека, это заболевание легче предупредить, чем устранить его последствия. Правильный образ жизни, исключение вредных привычек, полноценное питание – первый шаг на пути к успеху. При настораживающих симптомах следует срочно обратиться к врачу или вызвать БСМП.
Последствия кровоизлияния в головной мозг
Спрогнозировать последствия геморрагического инсульта при поступлении пациента в стационар невозможно: исход болезни зависит от тяжести поражения мозга и от защитных сил организма. У некоторых больных в 73 года происходит восстановление нарушенных функций организма, а более молодые люди становятся инвалидами или умирают.
При кровоизлиянии в мозг последствия могут проявляться в виде:
- Снижение двигательной активности. Возникновение парезов или параличей приводит к тому, что человек не может совершать точные движения, вынужден ходить, пользуясь специальными ходунками или костылями. При тяжелых поражениях вынужден передвигаться в инвалидной коляске.
- Общемозговые нарушения. У человека затруднена речь, снижена память и затруднено мышление. При этом страдает и психика: люди становятся агрессивными и впадают в ярость из-за любого дискомфорта или погружаются в депрессию, считая себя обузой для окружающих.
- Отсутствия контроля за испражнениями. Человек перестает контролировать естественные позывы, мочеиспускание и дефекация происходят рефлекторно.
- Появление судорожных припадков.
- Летальный исход. При кровоизлиянии в мозг причиной смерти является нарушение работы жизненно важных центров (дыхание, сердцебиение).
У взрослых людей прогноз при мозговой геморрагии неблагоприятен – большинство пациентов, перенесших кровоизлияние, погибают или остаются инвалидами. У детей, поле незначительных гематом при родовых травмах отмечается полное выздоровления за счет физиологического роста мозговой ткани в младенческом возрасте.
Диагностика и дифференциальная диагностика
Геморрагический инсульт развивается бурно на фоне физической активности или стресса. Возможны предупреждающие признаки кровоизлияния в виде головной боли и приливов крови к лицу. Для геморрагического инсульта характерна длительная кома, увеличение температуры и артериального давления, хрипы, отсутствие реакции зрачка. Быстро нарушается тонус мышц, иногда рано возникают контрактуры – повышение рефлексов.
У больного открывается рвота, нарушения мочеиспускания, движений глазных яблок. Анализ крови выявляет повышение лейкоцитов, а в моче – эритроциты, белок и глюкозу.
Эпидуральное кровоизлияние характерно больше при черепно-мозговых травмах, но кровь в ликворе определяется при субарахноидальном кровоизлиянии в любом случае. Ее появление указывает на поражении мозжечка и моста при геморрагическом инсульте.
Для диагностики субарахноидального кровоизлияния используют шкалу HUNT, в которой определяют по признакам степень повреждений от 0 до 5. Увеличение степени поражений коррелирует с нарастанием менингеальной и общемозговой симптоматики: головной боли, ригидности затылочных мышц, нарушений сознания, ступора, вегетативных расстройств вплоть до комы и агонии.
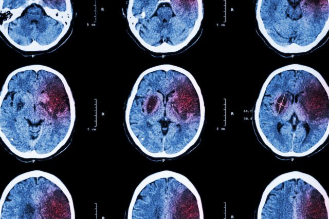
Компьютерная томография головного мозга
Подтверждение диагноза возможно только с помощью визуальных методов:
- компьютерная томография определяет размеры кровоизлияния, как в субарахноидальном пространстве, так и в паренхиме. Метод выявляет отек тканей, кровоизлияние в желудочки и гидроцефалию;
- магнитно-резонансная томография необходима при выявлении гематом малого размера в структурах заднего мозга (мост, продолговатый мозг), артериовенозных мальформаций без применения контраста в отличие от КТ.
Геморрагический инсульт на КТ в первые часы визуализируется с помощью плотного сгустка.
Восстановление нарушенных функций
Реабилитация состоит из нескольких этапов:
- Острая фаза болезни. Пациенту обеспечивают покой, снижают отечность мозговой ткани и проводят симптоматическую терапию, направленную на устранение появившихся симптомов.
- Ранний период. После перевода человека из реанимации в общую палату с ним начинают заниматься специалисты, восстанавливая нарушенные функции: учат ходить, говорить, проводят массаж и физиопроцедуры.
- Поздний период. Восстановление после геморрагического инсульта длительное и пациент на протяжении нескольких лет должен проходить поддерживающие курсы лечения.
Успех реабилитации зависит не только от врачей, но и от членов семьи. Если дома больному делают массаж конечностей, помогают писать буквы и рисовать, учат правильно выговаривать слова, то вероятность восстановления намного выше, чем в тех семьях, где человеку просто обеспечивают хороший уход.
Признаки
Симптомы инсульта описывают ощущения самого больного. Окружающим распознать, что у человека случилось кровоизлияние, можно по следующим признакам:
- эпилептические судороги, приступы;
- багровое или синюшное лицо;
- непроизвольный выход кала и мочи;
- паралич конечностей;
- «парусящая» щека с пораженной стороны;
- расхождение глаз или расширенный зрачок с пораженной стороны;
- повернутый в сторону или искривленный язык.;
- человек не может произнести простейшие фразы.
Можно ли предотвратить геморрагию
Способа, который на 100% гарантирует предотвращение патологии нет, но предлагаемые врачебные рекомендации значительно снизят риск мозгового кровоизлияния:
- Ежегодное прохождение медосмотров. Важен показатель холестерина и свертываемости крови.
- Контроль давления. Частые гипертонические кризы – основной провоцирующий фактор.
- Отказ от вредных привычек.
- Грамотное питание. В меню нужно уменьшить содержание животных жиров, отдавая предпочтение растительной пище.
- Контролировать вес. Ожирение нарушает полноценный кровоток.
- Умеренно заниматься спортом. Повышенные физические нагрузки не менее вредны, чем гиподинамия. Для поддержания физической активности подойдут пешие и велосипедные прогулки, плавание или ЛФК.
Советы по профилактике инсульта
Мозговые кровоизлияния опасны и, по данным мед статистики, почти всегда заканчиваются инвалидностью или смертью пациента. Своевременная доставка больного к врачу поможет уменьшить тяжелые последствия геморрагии.
Меры профилактики
Избежать кровоизлияния в головной мозг можно, если изменить образ жизни. Своевременная профилактика – залог крепкого здоровья. К ней относится:
- Отказ от употребления алкоголя и курения.
- Здоровый образ жизни, ежедневная зарядка, легкие занятия спортом.
- Сокращение употребляемых с пищей животных жиров.
- Поддержание нормального веса.
- Ежегодная проверка уровня холестерина, его своевременное снижение.
- Исключение сильных стрессов.
- Самостоятельная проверка артериального давления каждый день.
- Прием лекарственных препаратов только после их назначения врачом.
Такие простые рекомендации могут спасти жизнь.
Реабилитация
Реабилитация после геморрагического инсульта проводится в течение всего периода лечения. В острой фазе нарушения больному рекомендуется симптоматическая терапия и полный покой.
После купирования отека начинается восстановление нарушенных когнитивных, речевых и двигательных функций. Реабилитация может включать следующие процедуры:
- витаминотерапия, поддерживающее медикаментозное лечение;
- физиотерапия (магнитотерапия, массаж, иглорефлексотерапия, электростимуляция);
- ЛФК;
- занятия с логопедом и нейропсихологом;
- приобретение навыков самообслуживания.
Помимо восстановления основных функций, пациенту необходима психотерапия.
Больной восстанавливается в течение всей жизни. На позднем этапе реабилитации он самостоятельно продолжает принимать лекарства, заниматься лечебной физкультурой и специальными упражнениями для разработки когнитивных функций. Периодичность неврологических осмотров и поддерживающих курсов физиотерапии определяется лечащим врачом.
Необходимым условием реабилитации является коррекция образа жизни: соблюдение здоровой диеты с пониженным количеством жиров, отказ от вредных привычек, умеренная двигательная активность, коррекция режима сна и отдыха.
Сколько живут
Прогноз при внутримозговом кровоизлиянии неблагоприятен. Вероятность летального исхода составляет 70-82% (более 50% в течение года), после хирургического удаления гематом — до 50%.
Шансы выжить зависят от возраста больного, локализации и объема скопления крови, наличия вентрикулярного и стволового кровоизлияния, сопутствующих патологий сердечно-сосудистой системы. При обширном паренхиматозном и смешанном поражении риск смерти пациента возрастает. Поражение вегетативной системы также ухудшает прогноз.
Несмотря на тяжесть патологии, которые пациенты живут после перенесенного кровоизлияния более 10 лет. У большинства взрослых пострадавших наблюдаются последствия после геморрагического инсульта: снижение двигательной активности, частичные и полные параличи, затруднение речи, ухудшение памяти и мышления, судорожные припадки, отсутствие или снижение контроля дефекации и мочеиспускания, нарушения психики (депрессия, немотивированная агрессия).
Возможные последствия
При своевременном оказании медицинской помощи больным геморрагическим инсультом удается сохранить жизнь, однако обычно у них присутствуют неврологические патологические симптомы. Зависят они от локализации зоны кровотечения. Чаще всего это:
- расстройства двигательной активности, преимущественно одной части тела (конечности остаются в полусогнутом положении);
- расстройства речи или потеря возможности говорить;
- повышенный уровень раздражительности;
- боль в области головы, который присутствует постоянно;
- расстройства координации движений;
- потеря возможности самостоятельно передвигаться и даже находиться в сидячем положении;
- нарушение зрительного восприятия до полной потери зрения;
- асимметричность лица;
- провалы в памяти или полная ее потеря.
Последствия инсульта и их проявления будут зависеть от участка локализации зоны поражения и его величины. Наиболее тяжелыми и определяющими считаются первые трое суток заболевания. Значительная часть летальных случаев диагностируется именно в этот период. Пациенты выжившие проходят период реабилитации и восстанавливаются примерно через год.
Последствия поражения левой части мозга
При локализации кровотечения слева наблюдается нарушение функциональной способности правой половины тела. Нарушается работа не только конечностей, страдает еще и гортань и язык. Больным трудно передвигаться, правая рука напоминает челнок (согнутая в локтевом суставе). Они теряют способность четко и логично излагать мысли, ориентироваться во времени, писать.
Поражение правого полушария мозга
Локализация кровоизлияния справа является достаточно опасным, объясняется это тем, что появляется риск повреждения ствола головного мозга. В такой ситуации пациентам выжить удается редко, ведь отдел мозга отвечает за дыхательный центр и работу сердечной мышцы.
Диагностирование правостороннего геморрагического инсульта дело довольно сложное, ведь именно в этой зоне располагаются центры пространственной ориентации и ощущения. У правшей определяются расстройства речи.
Подводя итог, хочется акцентировать внимание на то, что геморрагический инсульт является достаточно серьезным заболеванием. Оно нуждается в квалифицированной и своевременной помощи. В связи с тем, что болезнь приводит к развитию осложнений и даже летальному исходу, рекомендуется принимать все возможные меры, направленные на предупреждение ее возникновения.
Диагностика геморрагического инсульта
Как правило, люди, пережившие приступ инсульта, попадают в больницу, где врачи диагностируют наступление тяжелого состояния. Специалисты изучают патологию, ее локализацию и тяжесть, выясняют, насколько обширное кровоизлияние в мозг произошло и как будет проходить терапия.
Для постановки точного диагноза принимаются следующие меры:
- определение давления и измерение температуры тела;
- консультация и осмотр невролога;
- компьютерная томография с целью визуализации очага поражения;
- магнитно-резонансное сканирование для определения стадии процесса;
- пункция спинномозговая (исключение воспаления).
Температура
Увеличение температурных показателей при развитии геморрагического мозгового удара – нормальная реакция человеческого организма на поражение. Но только если значение не выше 37,5 градусов. В этом случае болезнь имеет благоприятный прогноз и можно говорить о шансах на выздоровление.
Замечено, что чем крупнее кровоизлияние, тем выше поднимается температура, в таком случае прогноз будет негативным.
У некоторых пациентов в процессе развития инсульта температурные значения снижаются до 36,0 градусов. Это положительный признак, поскольку люди с таким симптомом выздоравливают быстрее, а неврологическая недостаточность намного ниже.
Опасность высокой температуры связана с тем, что в организме ускоряются процессы метаболизма, исчерпывается запас энергии клеток. Столь активный расход энергии в тканях головного мозга приводит к скорому отмиранию нейронов. Для всех процессов обмена в мозге требуется кислород, а во время инсульта наблюдается гипоксия нейронов, к которым не поступает кровь.
Важно! Если в этом состоянии еще и поднимается температура, это увеличивает скорость и масштабы поражения ткани мозга.
Коррекция гипертермии проводится с учетом ее причины. К примеру, в случае отека мозга назначаются диуретики, в случае наличия инфекционных болезней – антибактериальные медикаменты. Чем раньше определить причину и начать соответствующее лечение, тем благоприятнее будет прогноз.
Клиническая картина
Выраженность симптомов кровоизлияния в ГМ зависит от:
- локализации
- объема излившейся крови
Для внутримозгового кровоизлияния характерно острое начало. Клиническая картина напрямую зависит от локализации кровоизлияния.
Неврологические симптомы появляются неожиданно и характеризуются нарастающей симптоматикой.
О возникновении кровотечения свидетельствуют резкие, внезапно возникшие:
- головные боли,
- тошнота, рвота,
- потеря сознания и парциальные либо генерализированные судороги.
Для обширных кровоизлияний в полушария характерно появление гемипарезов, а при поражении задней ямки — возникновение симптомов поражения ствола либо мозжечка, проявляющиеся парезом взора, офтальмоплегией, стерторозным дыханием, точечными зрачками. При трасмуральном кровоизлиянии возможно развитие предкоматозного состояния и комы. Такие кровоизлияния чаще всего заканчиваются летальным исходом. У тех, кто выжил, по мере рассасывания излившейся крови наблюдается постепенное возвращение сознания и регресс неврологического дефицита.
Истечение крови в базальные ядра, сопровождающееся повреждением внутренней капсулы, как правило, вызывает глубокие контралатеральные гемипарезы, а при кровоизлиянии в мозговой ствол характерно развитие стволовой симптоматики.
Здесь вы узнаете Про субарахноидальное кровоизлияние головного мозга
А в этой статье мы расскажем про левосторонний инсульт https://insult-med.com/vidy/storona/levostoronniy
Основная опасность внутримозгового кровоизлияния – возникновение внутричерепной гипертензии. Гематома мозга – объемный процесс, вызывающий смещение структур ГМ, что становится причиной повышения внутричерепного давления.
Инфаркт тканей ГМ отличается от спонтанного кровотечения тем, что повышение внутричерепного давления происходит параллельно нарастанию цитотоксического отека. При внутричерепном кровотечении наблюдается стремительное повышение церебрального давления, а при проникновении крови в желудочки ГМ возможно развитие гидроцефалии на фоне закупорки дренирующей желудочковой системы кровяными сгустками либо из-за ухудшения всасываемости СМЖ в пахионовой грануляции.
Развитие гидроцефалии отягощается резким повышением внутричерепного давления. Не менее опасным является и кровоизлияние в заднечерепную ямку. Оно сопровождается быстрым уменьшением резервного пространства, что вызывает повышение внутричерепного давления ниже палатки мозжечка. Это приводит к опущению или подъему содержимого задней черепной ямки. Поэтому при самопроизвольном кровоизлиянии в большие полушария мозга прогноз намного благоприятнее, чем при кровоизлиянии в ствол либо мозжечок, даже при одинаковых объемах поврежденного очага и излившейся крови.
Мелкие кровоизлияния могут вызывать развитие очаговой симптоматики без нарушения сознания, сопровождающееся тошнотой и не выраженной головной болью, либо проходить вовсе без них. Иногда они протекают по типу ишемических инсультов, с характерной очаговой симптоматикой.
Разновидности
Классификация заболевания построена на областях головного мозга, подвергшихся повреждениям. Различают следующие виды геморрагических инсультов:
- Паренхиматозный — затрагивается мозговое вещество (паренхима). Группа риска – люди среднего и старшего возраста (от 40 лет), страдающие от артериальной гипертензии. Как правило, разрыву сосудов предшествует серьезное нервное потрясение.
- Вентрикулярный. Характеризуется прорывом в желудочки с быстро развивающимся угнетением жизнедеятельности. В первые несколько часов после кровоизлияния наступает кома, намного реже, если кровь изливается медленно, наблюдается постепенная потеря сознания.
- Субкортикальный – кровь изливается в мозговые полушария, как правило, в область соприкосновения теменной, затылочной, лобной и височной областей. Кровотечения всегда обильные, потому состояние развивается стремительно.
- Субрахноидальный. Прорыв происходит в области аневризмы (местного расширения сосудистых стенок) артерии, вследствие чего кровь попадает в полость между мягкой и паутинной оболочкой. Спровоцировать состояние могут механические травмы головы.
- Арахноидальный. Локализация кровоизлияния такая же, как и в предыдущем виде. Но причиной разрыва является разрушение кисты, которая прикрепляется к стенке сосуда.
Основные причины
На первом месте среди причин выделяют длительную артериальную гипертензию (практически 50% всех случаев). В группу риска попадают люди, игнорирующие предпосылки к недугу и не принимающие средства для снижения АД. Дополнительно выделяют иные первопричины:
- Сосудистая аневризма. На некоторых участках артерия значительно расширяется. Природа недуга бывает либо врожденной, либо вследствие заболевания. К сожалению, протекает в скрытой форме, поэтому не может быть диагностирована своевременно.
- Травмирование сосуда механического характера. Это главная причина, которая приводит к инсульту в возрасте младше пятидесяти лет.
- Недостаточная свертываемость крови также имеет место быть среди причин, приводящим к кровоизлиянию.
- Последствия бесконтрольного приема антидепрессантов и антикоагулянтов.
- Энцефалит, что вызывает воспалительный процесс инфекционного характера.
Неэластичность костной структуры приводит к очень высокому давлению в нервных центрах вследствие кровоизлияния. Поэтому, при образовании гематомы больших размеров человек гибнет через 24 часа.
Причины образования ретро-церебеллярной ликворной капсулы
Среди сопутствующих факторов выделяют следующие:
- Ожирение.
- Присутствие вредных привычек на протяжении долгого периода времени.
- Пожилой возраст.
- Фактор наследственности.
- Некоторые заболевания, к примеру, сахарный диабет.
Лечение
Терапия определяется причиной, вызвавшей кровоизлияние, его типом и местом локализации гематомы. Существует 2 способа лечения инсульта:
- Медикаментозное. Цель консервативной терапии – стабилизировать состояние больного, снизить артериальное давление, улучшить свертываемость крови, уменьшить отек головного мозга и возобновить нервные ткани.
- Оперативное. Показано в случае больших и свежих кровоизлияний. При назначении операции учитываются общее состояние организма, место скопления крови и ее объем.
Медицинские препараты
При выборе медикаментозного лечения стоит знать, что здесь высок риск повторения кровоизлияния. По этой причине чаще специалисты отдают предпочтение операции. Если объем излившейся в мозг крови совсем небольшой, то лечение геморрагического инсульта в остром периоде проводится при помощи следующих групп лекарств:
- Кровеостанавливающие. Здесь часто применяется средство Дицинон. Активным веществом в составе является этамзилат. Гемостатический эффект развивается уже через 10-15 минут. Важно, чтобы причиной инсульта не был прием антикоагулянтов, иначе Дицинон применяют с осторожностью. Преимуществом препарата является небольшое количество побочных действия и быстрый эффект.
- Осмотические диуретики. Необходимы для уменьшения отека головного мозга. Например, препарат Маннитол. Основан на одноименном действующем веществе. Помимо отека мозга препарат имеет большой список показаний. Минусом можно считать побочный реакции вплоть до судорог и мышечной слабости.
- Снижающие артериальное давление. Сюда относят спазмолитики, ингибиторы АТФ и бета-блокаторы. Представителем этой группы является препарат Капотен. Он основан на каптоприле. Показанием к применению является высокое давление. Преимуществом препарата выступает возможность совмещения с приемом других лекарств. Недостатком же считается большое количество побочных эффектов.
Операция при инсульте
Только лечащий врач может определить целесообразность операции для каждого пациента. Показаниями к ее проведению являются следующие критерии:
- тяжелое состояние пациента;
- кровоизлияние в боковом желудочке;
- объем крови, попавшей в мозговую ткань, больше 50 мл.
Целью операции является удаление кровяного сгустка из головного мозга. Она может проводиться разными способами, основными из которых являются:
- Трепанация черепа. Проводится под общим наркозом, если у пациента обширное внутримозговое кровоизлияние.
- Малоинвазивная операция. Над местом образования сгустка делают отверстие, куда вставляют катетер, который растворяет сгусток крови. Затем его извлекают. Процедура длится в течение 2 дней, на протяжение которых новые порции раствора вливают каждые 6 часов.
- Стереотаксическое удаление. В этом случае используют специальный прибор, который тоже предназначен для доставки к участку поражения особого раствора.
Общая характеристика
Инсульт характеризуется острым нарушением кровообращения и ишемическим некрозом (инфарктом) участка головного мозга. Он чрезвычайно опасен для жизни человека своим внезапным наступлением. Патологическое состояние стремительно развивается, разрушая мозговые ткани, что нередко приводит к летальному исходу.
Обратите внимание! В последнее время наблюдается тенденция к увеличению количества случаев появления этой патологии среди как молодых, так и пожилых людей.
Геморрагический инсульт является следствием кровоизлияния в ствол головного мозга, мозжечок или другие участки, которое происходит в результате разрыва сосудов. Во внутричерепной полости образуется плотная гематома, которая начинает давить на окружающие ее ткани. Через некоторое время развивается явление, которое в медицине принято называть «мозговой катастрофой» — головной мозг отекает, приводя к массовому разрушению нейронов.
Классификация
Разнообразие особенностей и проявлений поражения позволяет составить многофакторную классификацию:
- По локализации кровоизлияния. Вытекание, возникающее в желудочках, называют вентрикулярным, в пространстве между оболочками – субарахноидальным. Несколько участков свидетельствует о комбинированном виде. Более чем в 80% случаев очаг возникает в полушариях. С точки зрения локализации выделяется также левосторонняя и правосторонняя геморрагия.
- По расположению гематом. Латеральная свидетельствует о поражении базальных ядер, медиальная – таламуса, лобарная – одной из долей. При множественных гематомах говорят о смешанном типе.
- По происхождению. Гипертонический криз приводит к первичному поражению, врожденные и приобретенные аномалии сосудов – к вторичному.
- По области поражения. При обширном геморрагическом инсульте обнаруживается сразу несколько участков. Развитие отека прогрессирует очень быстро. Микроинсульты характеризуются малым размером очага патологии, достаточно мягкими симптомами. Игнорирование признаков и рекомендованного лечения, однако, приводит к повторному приступу геморрагического инсульта.

