Полипы в кишечнике – это доброкачественные новообразования, локализующиеся на слизистых оболочках кишок, преимущественно с внутренней стороны, и прорастающие вглубь кишечного просвета. Состоят из железистого эпителия, показывают разные формы и размеры, могут располагаться на ножке либо на широком основании. Внешне выглядят как гриб, шар либо имеют разветвления. Располагаются одиночными наростами или кучковатыми группами. При большом их скоплении диагностируют полипоз. Полипы поражают любой отдел тонкого и толстого кишечника, но в верхних отделах растут редко.
Врачи относят патологию к предраковому состоянию, из-за расположенности к перерождению в онкологию. Кишечные полипы встречаются на практике часто, но диагностика их на начальных стадиях до перерождения в злокачественные формы затруднена из-за слабовыраженной симптоматики заболевания. По статистике кишечным полипозом страдают до 10% людей старше сорока лет, причём мужчины подтверждены патологии чаще женщин. Своевременное обнаружение и лечение полипов позволяет улучшить качество жизни человека, а в 90% случае удаление продлевает жизнь пациентам.
Что это такое
Полипы – доброкачественные образования. Они состоят из специальных железистых клеток. Весь организм крепиться на специальной ножке к стенке кишечника. Через ножку клеткам поступают питательные вещества. Обычно распространяются новообразования в различных участках толстой кишки.
Возраст, который больше всего подвержен заражению – это юность. Этому способствует воспалительные процессы, которые как раз происходят в организме в этот период. Если во время не выявить инородные тела – это может привести к развитию рака.
Мнение эксперта
Шубин Михаил
Врач гастроэнтеролог, эксперт сайта
Статистика показывает, что только у 25% пациентов в этом возрасте был выявлен полипоз кишечника. У взрослых и детей эти показатели ещё меньше. Только 15% больных имели проблемы с новообразованиями в кишечнике.
Чаще всего наросты локализуются в прямой кишке. При запущенности болезни могут вызвать рак.
Гораздо реже их можно встретить в двенадцатиперстной кишке. Полипы в этой области называют кислотно-обусловленными. Размножаются они рядом с луковицей и появляются у пациентов, которые страдают от гастрита.
Желче-обусловленные виды (ДПК) возникают в сфинктере. Они проявляются чаще сего у пациентов, у которых имеются такие виды болезней, как холецистит или желчнокаменная болезнь.
По поводу симптоматики кишечных полипов рекомендуем ознакомиться с комментариями врача терапевта частной клиники Натали-Мед по конкретному диагнозу пациента (женщина 25 лет): https://health.mail.ru/consultation/2374235/.
Профилактика
Чтобы снизить вероятность образования полипов в кишечнике, важно придерживаться таких советов:
- Обогатить рацион продуктами с грубой клетчаткой. К ним относятся яблоки, тыква, свекла, кабачок и капуста.
- Избегать употребления животных жиров. Лучше заменить их растительными.
- Регулярно проходить профилактическую диагностику и осмотр у врача.
- Своевременно лечить любые воспалительные заболевания желудка и кишечника.
- Избегать употребления крепких спиртных напитков.
- Отказаться от курения.
- Отказаться от переедания.
Практиковать народное лечение полипов можно только после разрешения врача, и то, если заболевание будет находиться в начальной форме протекания. Вообще, специалисты не рекомендуют заниматься самолечением данной патологии. Она требует серьезной длительной терапии.
Полип в желчном пузыре Рак прямой кишки Колоноскопия кишечника — что это такое и как подготовиться? Рак кишечника Дисбактериоз кишечника Язвенный колит кишечника
Причины возникновения полипов
По состоянию на 2019 год не выявлено точных причин образования полипов. Т.к. наука пока имеет очень скудные данные по новообразованиям. Но есть предположения, которые дают небольшую вероятность того, почему возникают в кишечнике наросты.
- Одна из причин – это воспаление слизистой. Т.е. – если на стенках слизистой имеются трещины или ранки, именно в этих местах могут появиться полипы.
- Изменение экологии. Сегодня это является большой проблемой, т.к. окружающая среда, например 20, 30, 50 лет назад была совсем другой. Это влияет на организм и у детей могут возникать те болезни, которые не встречались у их мам, пап, бабушек и дедушек.
- Раздражающая пища может быть причиной недуга. Острая, жирная, некачественная еда создаёт воспалительные процессы в кишечнике, создавая благоприятные условия для развития вредоносных микробов.
- Наличие гиподинамики.
- Злоупотребление вредными привычками, в частности горячительные напитки и табакокурение.
- Проблемы с сосудами. Здесь учитываются любые нарушения (например, варикоз или тромбоз).
- Наличие болезней, связанных с желудочно-кишечным трактом.
- Генетическая предрасположенность.
- Неправильное формирование кишечника в младенческом возрасте.
Причины
Ученые пока не могут дать однозначного ответа, почему появляются полипы в организме человека. По мнению специалистов, есть несколько факторов, которые могут спровоцировать рост новообразований в виде полипов:
- Наличие в организме всякого рода доброкачественных или злокачественных образований чаще всего носит наследственный характер. Если кто-либо в роду заболевал данной патологией, не исключено, что это передастся через поколение;
- Злоупотребление жирной пищей, переедание, вредные привычки, которые впоследствии, приводят к лишнему весу, могут спровоцировать образование полипов в кишечнике;
- Погрешности в еде, отсутствие в рационе клетчатки приводят к нарушению в работе кишечника. Полезные бактерии, которые живут в кишечнике, питаются только грубыми волокнами. Если их не хватает в пище, патогенных бактерий становится больше чем полезных. Данный факт приводит к запорам или дисбактериозу. Частое нарушение микрофлоры кишечника приводит к росту полипов;
- Современные условия жизни, когда нет необходимости прибегать к большим физическим нагрузкам приводит к малоподвижному образу жизни, а следовательно, нарушениям в обмене веществ, что и провоцирует образование полипов;
- Развитие промышленности привело к изменениям экологии. Особенно население, которое живет вблизи от всякого рода радиоактивных залежей, подвержено появлению патологий в организме.
Стадии, симптомы полипов в кишечнике
Все симптомы кишечных полипов подразделяются на несколько стадий. В зависимости от тяжести болезни, недуг будет проявлять себя по-разному.
| Стадии | Симптомы |
| 1-я стадия | Недуг настолько неприятный, что на первых стадиях симптоматика вообще никак не проявляется. Единственный метод, которым можно обнаружить новообразования – это колоноскопия. Если на этой стадии не начать лечение постоянное перемещение переработанной пищи в виде кала будет травмировать слизистую, что приведёт к увеличению травм кишечника. Поэтому первые симптомы начнут проявляться, когда полипы начнут разрастаться. |
| 2-я стадия |
|
| 3-я стадия | Вся симптоматика перерастает в хроническую стадию. Одним из самых страшных форм осложнений является рак. |
Как лечить полипы?
Лечение полипов должно начинаться на раннем этапе. При этом единственный действенный метод, который позволяет вылечиться от болезни – это операция. Консервативные способы используются также при множественных образованиях, которые покрывают собой слизистую ЖКТ. Однако выжидательной тактики придерживаются в отношении пожилых больных, имеющих противопоказания к оперативному вмешательству.
Медикаментозная терапия в таком состоянии предусматривает назначение следующих препаратов:
- Анальгетики и спазмолитики используются от болей (Но-шпа).
- Препараты для улучшения пищеварения.
- Средства от вздутия живота (Симетикон).
- Лекарства для нормализации стула.
- Иммуномодулирующие средства и витамины.
Если полипы у человека достигли крупных размеров, то тогда их нужно удалять хирургически.
Хирургическое вмешательство
Распространённые технологии хирургического вмешательства:
- Эндоскопическая полипэктомия. Этот вариант медики иногда сочетают с электрокоагуляцией основания нароста. Поскольку эта операция не способствует массивным повреждениям, реабилитационный период минимальный.
- Удаление с сегментом кишечника. Назначается при почти циркулярной опухоли, больших или множественных выростах. Новообразования убираются вместе с частью кишечника. Если диагностирован наследственный семейный полипоз, то в этом случае толстая кишка удаляется полностью.
- Трансанальная полипэктомия. Полипы убираются при помощи специальных ножниц или скальпеля. По окончании слизистые ткани ушиваются. Такие операции назначаются только в том случае, когда полипы располагаются в непосредственной близости с задним проходом. Отсечение проводится под местным наркозом, и для удобства специалиста анальное отверстие раздвигается ректальным зеркалом.
- Лазерное удаление. Назначается в случае доброкачественных крупных образований с толстыми или широкими основаниями.
- Полипэктомия через разрез в кишечной стенке. Назначается, когда полипы отличаются большими размерами или если они расположены в труднодоступном участке. В процессе операции вскрывается брюшная полость. Нарост иссекается иногда вместе с частью кишечной стенки.
Питание после удаления полипа кишечника должно быть сбалансированным и отвечать рекомендациям лечащего врача. В большинстве случаев придется отказаться от мясных жиров, алкоголя и курения. В рационе обязательно должны присутствовать свежие овощи, фрукты, злаковые, клетчатка, глютен, рыба и морепродукты. Кисломолочные продукты водятся в питание исключительно после консультации с диетологом.
Осложнения
Т.к. полипы считаются доброкачественной опухолью, удаление их на ранних стадиях могут исключить возникновение осложнений. Но если болезнь запустить, у больного может развиться рак. В этом случае самые опасные образования – это аденоматозный вид. Они могут в течение всей жизни развиваться, а пациент даже не будет знать о том, что внутри медленно прогрессирует злокачественная опухоль.
Кроме рака, новообразования могут перерасти в:
- хронические виды запоров;
- непрекращающееся кровотечение;
- непроходимость внутри кишечника;
- затяжной метеоризм;
- истощение от анемии;
- проблемы с желудочно-кишечным трактом, в результате которого наступают либо понос, либо запор;
- заворот кишок;
- сквозное повреждение слизистой кишечника;
- язву кишечника.
Пациентам, которые находятся в группе риска с плохой наследственностью или перенёсшие болезнь желудочно-кишечного тракта, следует регулярно проверяться в медицинских учреждениях.
Классификация
Согласно гистологическому строению определены виды полипов в кишечнике:
- Аденоматозный вид с круглой и гладкой, но плотной поверхностью. Покрыт обычно сосудистой сеткой, поэтому не выделяется. Размеры его могут быть большими, что повышает риск перехода в состояние рака.
- Ворсинчатый вид. Эти кишечные полипы разрастаются на широкой площади, образуя ковер, поскольку покрыты ворсинками. Из них 40% могут перерасти в злокачественную опухоль.
- Гиперпластический вид разрастается до небольших размеров, место их локализации стенки прямой кишки.
- Гамартоматозный вид — формирование происходит со здоровой тканью. Их появление связывают с неординарными сочетаниями клеток, но возможно, это результат аномалий.
- Ювенальный вид образуется у детей. Имеет внешний вид виноградной грозди, висящей на ножке. В онкологию не переходит.
Выявленный полип в кишечнике, признаки которого позволят определить, к какому виду он относится, нужно лечить. От того, на каком этапе находится его развитие, будет выбран соответствующий метод терапии.
Чем опасны?
Любое образование, даже самое безобидное всё равно считается болезнью. А любую болезнь надо лечить. Иначе результаты могут быть очень плачевными. Проблема полипов заключается в двух составляющих.
- Отсутствие знаний не даёт полной картины. Т.е. врачи не имеют понятия, как бороться с этой болезнью. Все методы заключаются в жёстком очищении инородных тел и соблюдением диет. А классическое лечение базируется на гипотезах и предположениях.
- Если большинство болезней дают о себе знать на ранних стадиях, то новообразования могут спокойно разрастаться внутри на протяжении длительного времени. Первые стадии вообще никак не диагностируются, если не использовать специальное оборудование.
Мнение эксперта
Светлана Архипова
Врач гастроэнтеролог, эксперт сайта
Таким образом, человек обращается в медицинское учреждение, только когда полипы начнут активно приносить вред кишечнику. Но — это не самое страшное. Разрастаясь и повреждая стенки сосудов, новообразования начинают прогрессировать, и это может привести к тяжёлым последствиям.
Почему появляются полипы
В медицине до сих пор не установлены точные причины возникновения полипов в кишечнике. На этот счет существует несколько теорий:
- Воспалительная. Согласно этому предположению, новообразования в кишечнике представляет собой нечто среднее между злокачественной опухолью и очагом воспаления.
- Эмбриональной дистопии. По этой версии разрастание мягких тканей кишечника связано с патологиями эмбрионального развития слизистой.
- Дисрегенераторная. Сторонники этого предположения сходятся во мнении, что причиной появления полипов бывает патология в процессе регенерации стенок кишечника после микротравм и воспалительных процессов.
Ведение медицинской статистики помогло выявить некоторые факторы, которые могут стать толчком к росту новообразований. Среди них:
- наследственная предрасположенность (если близкие родственники страдают полипозом, у человека увеличивается риск развития данной патологии);
- отсутствие регулярной активности, малоподвижная работа;
- проживание в экологически неблагоприятном регионе;
- неправильное питание, которое проявляется в большом количестве углеводов и жиров;
- частое появление симптома дисбактериоза (в этом случае могут образовываться очаги воспаления и повреждения слизистой);
- частые запоры (каловые массы, которые образуются в кишках, с течением времени становятся плотными, что вызывает травмирование слизистой).
Полностью защитить себя от данной патологии не удастся, однако, зная факторы и причины образования полипов ободочной кишки, можно максимально снизить риск.
Диагностика
Выявить наросты тяжело. Часто симптомы очень сильно похожи на развитие других заболеваний. Поэтому некоторые европейские страны издали постановление для граждан, которые достигли сорокалетнего возраста и для пациентов с плохой генетической предрасположенностью к воспалению кишечника. Они должны в обязательном порядке сдать кал на анализ, чтобы выявить внутри кровь.
- МРТ (КТ) – выявляют наличие инородных тел внутри организма. Но процедура не даёт 100%-го результата.
- Ректоскоп намного надёжнее в этом плане. В прямую кишку вводят камеру, с помощью которой можно увидеть полипы на экране монитора.
- Пальпация. Метод позволяет обнаружить кишеные полипы, которые находятся ближе к анусу.
- Ирригоскопия выявляет наросты, которые достигают 1см. и больше.
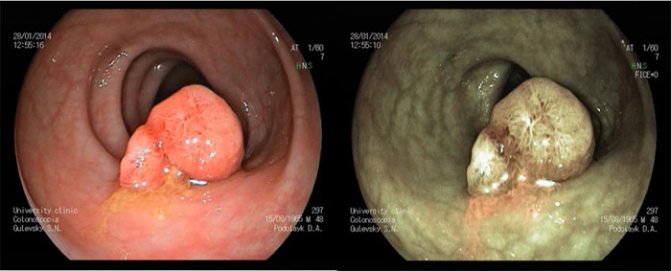
- Колоноскопия – это самый надёжный метод. В кишечник вводят эндоскоп, который выявляет полипы даже на ранних стадиях. Дополнительно собираются данные на гистологию и цитологию.
Симптомы и последствия заболевания
Зачастую симптомы отсутствуют. В большинстве случаев заболевание обнаруживают во время скрининга или обследования по поводу другой патологии. Людям, у которых повышен риск развития данной патологии, рекомендуется регулярно проходить скрининговые исследования.
Наиболее распространенный симптом — кишечные кровотечения. Они могут проявляться по-разному. Иногда в стуле присутствуют прожилки крови, иногда он приобретает темный, дегтеобразный вид (мелена). Могут беспокоить боли в животе, запоры или диарея.
Проявления патологии неспецифичны и могут возникать при ряде других заболеваний. Так, примесь крови в стуле — возможный признак геморроя, трещин прямой кишки.
Нужно обратиться к врачу и пройти обследование, если вас стали беспокоить следующие симптомы:
- Запоры или диарея, которые сохраняются в течение длительного времени.
- Примесь крови в стуле.
- Боли в животе.
Методы лечения
Чем раньше начнётся лечение, тем лучше. К сожалению, большую часть полипов приходиться удалять хирургическим путём. Но классические методы лечения подразумевают снижение количества новообразований, чтобы потом было меньше физического вмешательства в организм. Это применяется в том случае, если полипы размножились. И их стало очень много.
Трансанальное эндомикрохирургическое иссечение подразумевает введение в кишечник специального эндоскопа. Хирург дистанционно манипулирует аппаратом и с помощью специальных щипцов на конце вырывает с корнем все обнаружившие полипы. Это долгая и кропотливая работа, но она считается одной из эффективных.
Трансанальное удаление проводят особыми ножницами (скальпелем). Но такой способ допускается, если новообразования углубились не дальше 10см. Пациенту дают местный наркоз, анальное отверстие расширяют, а все кишечные полипы вырезают.
Трансанальная резекция показана для больных, у которых доброкачественные образования начали перерастать в раковую стадию. Прямую кишку извлекают через анус и во внешней среде удаляют все полипы.
Эндоскопическая операция проводится тем же методом, что и Трансанальное эндомикрохирургическое иссечение. Отличается только тем, что на опухоль воздействуют электрическим током, а только потом вырывают.
Колотомия проводитсья в крайних случаях. Для этого брюшную полость разрезают. Через открытый разрез выводят толстую кишку и вырезают все наросты.
Некоторые виды заболеваний, сочетающиеся с возникновением наростов (например, семейный или диффузный полипоз) требуют только удаление толстого кишечника.
Мнение эксперта
Шошорин Юрий
Врач терапевт, эксперт сайта
Виды полипов
Классифицируются по количеству новообразований на:
- Одиночные – легко поддаются операционному лечению, но демонстрируют слабовыраженную симптоматику. Поэтому чаще обнаруживаются, когда имеют большие размеры.
- Множественные – хирургически требуют удаления вместе с отсечением здоровых тканей кишечника. Опухоли считаются большими по размерам и поэтому показывают хотя бы один выразительный симптом.

- Железистые, или трубчатые – состоят из железистой ткани, редко перерождаются в раковые опухоли.
- Аденоматозные – малые размеры в диаметре, состоят из железистой ткани, часто имеют форму гриба, реже шара или плоскую (тубулярный тип), на ощупь плотные. Обладают бледно-розовым цветом, что позволяет им сливаться со слизистой оболочкой кишки. Аденоматозный полип, или аденома, крайне редко перерождается в злокачественную форму, не более 1% зарегистрированных случаев.
- Ворсинчатые – относятся к аденоматозному виду, размеры в диаметре до 3 см, состоят из эпителия, внешне напоминают узлы на ножке. Имеют большое число кровеносных сосудов, обладают ярко-красным цветом, склоны к повреждениям. Часто перерождаются в злокачественные опухоли.
- Трубчато-ворсинчатые – аденоматозные полипы, располагаются преимущественно в толстой кишке с дисплазией эпителия, предрасположены к малигнизации.
- Железисто-ворсинчатые – крупные наросты, делящиеся на дольки. Присутствует ярко выражена дисплазия эпителия. На ощупь мягкие, повышенный риск перерождения в рак.
- Гиперпластические – малые в диаметре, не более 0,5 мм, напоминают бляшки, по цвету выглядят как слизистая оболочка кишки, злокачественными становятся редко. Медицине известны также как зубчатая аденома толстой кишки либо зубчатый гиперпластический полип.
- Фиброзные – имеют в составе клетки соединительных тканей, ножку и широкое основание, мало подвержены озлокачествлению.
- Ювенильные, или гамартомные – состоят из остатков эмбриональной ткани, круглые большие наросты на тонкой ножке. Бывают преимущественно у молодых людей и детей. Гамартомный, или гамартоматозный, полипоз относится к наследственным заболеваниям.
У ряда пациентов после перенесённого язвенного колита, болезни Крона стенка кишок имеет выпуклости, псевдополипы. Они также возможны, если у больного протекает геморрагический колит в кишечнике. Это рубцы от регенерации тканей, к истинным полипам не имеют отношения, хотя мешают нормальному пищеварению.
Тонкая кишка
В тонкой кишке полипы образуются редко, обычно это единичные случаи. Причём пациенты, у которых они обнаружены в верхнем отделе кишечника, имели их также в других отделах желудочно-кишечного тракта.
Тонкую кишку поражает часто железистый полип, редко встречаются наросты другой структуры. Реже всего полипозом страдает двенадцатиперстная кишка. Распространённость заболевания одинаковая у женщин и мужчин от 20 до 60 лет.
Толстая кишка
Толстый отдел кишечника – самое распространённое местоположение новообразований. Они локализуются в районе нисходящего отдела толстой кишки, поражают сигмовидную либо прямую кишку. Встречаются единичный и множественный полипы. Проявляются обычно в период юности, редко встречаются у детей, у пациентов старше 40 лет риск особенно высокий. Из них 8 из 10 случаев при отсутствии лечения переходят в рак прямой кишки.
Препараты для лечения
Консервативные методы лечения действенны только на начальных стадиях или, если хирург хочет уничтожить как можно больше образований. Для этого используются любые средства: мази, таблетки, ректальные свечи, капли и т.д. Но самыми эффективными пока считаются свечи, которые действуют напрямую, через слизистую.
Мнение эксперта
Шошорин Юрий
Врач терапевт, эксперт сайта
Медикаментозное лечение назначает врач. Учитывая то, что о полипах собрано, очень мало информации, не рекомендуется использовать народные средства.
У данного метода есть свои противопоказания:
- различные тяжёлые формы патологий;
- обострение хронических заболеваний;
- непереносимость какого-то компонента препарата;
- тяжёлое состояние пациента.
Суппозитории работают следующим образом. Активное вещество всасывается в кровь и через слизистую начинает уничтожать наросты. Чистоболин считается эффективным средством в этом случае. В качестве действующего вещества выступает болиголов. Другие компоненты помогают снизить болевые ощущение в кишечнике и улучшают проходимость.
Фитосвечи. Хорошо помогают при борьбе с одиочными полипами. Растительные и эфирные масла блокируют распространение наростов и снижают риск возникновения рака. Терапевтический эффект возникает, благодаря маслу какао и туи. Вытяжка из экстракта чистотела и малюры оранжевой хорошо дополняют этот букет. Спиртовые настойки (календула, подорожник, чистотел, полынь) являются хорошими антисептиками.
Свечи Гепазолон прописывают, когда необходимо комплексное лечение полипов. Гормон преднизолон, гепарин и аннестезирующее вещество лидокаин успешно берется с болезненными ощущениями при испражнении. Такие симптомы обычно вызывают полипы прямой кишки. Курс лечения 14 суток.
При кровотечении прописывают следующие препараты:
- Гепариновый линимент – используют при отмирании клеток слизистой.
- Гепатромбин – при обильном кровотечении.
- Гепароид Зентива – для снижения воспалительных процессов.
Мнение эксперта
Шошорин Юрий
Врач терапевт, эксперт сайта
При снижении уровня гемоглобина назначают препараты, содержащие железо (Ферлатум, Феррум Лек, Фенюльс и т.д.). Но витаминный комплекс пациент должен пропить однозначно.
Лечение
Единственным методом избавления от полипоза кишечника является хирургическое вмешательство. Полностью вылечить полипоз с помощь медикаментов и народной медицины нельзя. На сегодняшний день много так называемых целителей, которые обещают избавить от болезни без операции. Ни в коем случае им верить нельзя.
Если больной отказывается от операции, врач назначает пациенту медикаменты, облегчающие симптомы.
Важно! Нельзя избавиться от полипов народными средствами. Только хирургическая операция по удалению полипов дает возможность избавиться от полипоза кишечника.
Удаление полипов кишечника выполняются нижеследующими хирургическими методами:
- Эндоскопическая полипэктомия (хирург пользуется ректоскопом или колоноскопом);
- Колотомия (осуществляется разрез в ободочной кишке, через который удаляется полип);
- Трансанальная (иссечение полипов через прямую кишку);
- Резекция (удаляется участок кишечника, где образовались многочисленные полипы);
Список разрешённых и запрещённых продуктов
| Можно кушать | Нельзя есть | Особое меню |
| Лёгкие супы | Жирную пищу | Сыр допускается, но в ограниченном количестве |
| Молочные каши или каши на воде (допускается небольшой кусочек масла) | Продукты, вызывающее брожение (квас, молоко, соя, горох, капуста) | Яйца можно, но не слишком много |
| Варёное мясо (любое) | Горячительные напитки | Снизить потребление соли |
| Вареные овощи или перемолотые в пюре | Чай или кофе | |
| Соки, компоты или кисель | Овощи и фрукты в сыром виде | |
| Сухари | Продукты быстрого питания (фастфуды, полуфабрикаты) | |
| Кисломолочные продукты | Соусы и пряности с резким ароматом | |
| Сырокопчёные продукты | ||
| Кондитерские изделия | ||
| Выпечка |
Диетическое питание
Диета после удаления полипов в кишечнике предусматривает соблюдение следующих рекомендаций по питанию:
- В течение пары недель после операции больному следует кушать перетертую пищу. Так она проще будет перевариваться.
- Следует полностью исключить употребление соли, спиртного и грубой пищи.
- Основу диетического меню в таком состоянии должны составлять перетертые каши и супы-пюре.
- Важно перейти на шестиразовое питание, однако порции при этом должны быть не больше горсти.
- Термическая обработка должна быть строго контролируемой. Таким образом, все блюда нужно готовить на пару, запекать или отваривать.
- Следует избегать перееданий и приемов пищи всухомятку. Вообще, желательно составить график питания и четко ему следовать, даже находясь на работе.
Строго запрещены в таком состоянии следующие продукты:
- Грибы и блюда с их добавлением.
- Консервы и маринованные овощи.
- Сладкие газированные напитки.
- Любые виды соусов.
- Жирное мясо и рыба.
- Консервы.
- Капуста.
- Сельдь и копчености.
- Кислые фрукты.
- Колбасные изделия.
- Черный чай и кофе.
Разрешенными продуктами являются:
- Кисель.
- Зеленый чай.
- Галетное печенье.
- Овсянка и супы с ней.
- Картофельное пюре.
- Омлет на пару.
- Желе.
- Отварное куриное мясо и рыба, которые были измельчены.
- Измельченные отварные овощи.
- Нежирный кефир.
Важно! Соблюдать такое питание больному рекомендуется минимум в течение месяца. Все это время состояние пациента должен контролировать лечащий врач.
Диета
Диета назначается в зависимости от состояния пациента. Номера диет предполагают курс лечения и соблюдения режима по рекомендованным медицинским стандартам.
- Если у пациента развился колит, врач прописывает диету №4. Таким образом, нагрузка на слизистую будет не такой обильной.
- При запорах прописывают диету №3. Продукты подобраны таким образом, что кал становиться не таким жидким.
- Но если пациент чувствует себя хорошо, у него нет тяжёлых форм заболевания, ему прописывают диету №15.
Тактика после операции
Проведенное оперативное вмешательство вовсе не означает, что пациент может расслабиться и навсегда забыть о проблемах с кишечником.
Это означает, что необходимо регулярно проходить профилактическое обследование во избежание появления новых разрастаний, ведь склонность к их образований в данном организме уже есть.
После хирургического вмешательства все пациенты находятся на диспансерном учёте у хирурга по месту жительства. Необходимо ежегодно проходить колоноскопию, а по определенным показаниям даже чаще, сдавать общеклинические анализы и тщательно следить за своим самочувствием.
Этиология заболевания
Основными причинами появления полипов в толстой кишке являются:
- ежедневный рацион питания: употребление высококалорийной еды (жирные, соленые, маринованные блюда), преобладание пищи животного происхождения, полуфабрикатов; отсутствие продуктов, богатых клетчаткой, витаминами; минимальное включение в меню фруктов и овощей, кисломолочных ингредиентов, рыбы; переедание, перекусы всухомятку;злоупотребление спиртосодержащими напитками, табачными изделиями;
- патологии органов пищеварительной системы, носящие хронический характер или находящиеся в стадии обострении вследствие попадания инфекции: язвенный колит, гастрит, энтерит, болезнь Крона, брюшной тиф, дизентерия, дискинезия;
- регулярное применение послабляющих препаратов,антибиотиков, приводящее к продолжительным запорам;
- ожирение;
- отсутствие физической активности из-за специфики жизнедеятельности;
- возрастная категории старше 50 лет;
- генетическая предрасположенность;
- неблагоприятные условия проживания, плохая экология.
Неправильный рацион питания приводит к нарушению нормального функционирования кишечного тракта, перистальтики, уплотнению кала, раздражающего слизистую оболочку толстого кишечника.
Вредные продукты после переваривания трансформируются в патогенные соединения, являющиеся причиной воспалительного процесса. Дополнительные негативные факторы (пассивный образ жизни, вредные привычки, экологическая обстановка) способствуют прогрессированию заболеванию, увеличению количества полипов, которые со временем перерождаются в злокачественные опухоли.
Особенности заболевания
Полипы прямой кишки – новообразования, имеющие выраженный серо-красный, розоватый цвет. Патология встречается у детей младшего возраста, а также у взрослых людей, достигших 50 лет.
В зависимости от формы, размера, происхождения выделяется классификация полипов, образовавшихся в толстой кишке:
- количество: одиночные, множественные, диффузные (семейные);
- форма строения: аденоматозные, гамартромные, зубчатые, метапластические, ювенильные;
- происхождение: гиперпластические, воспалительные, неопластические;
- внешний вид: шарообразные, ветвистые, грибовидные.
Множественная форма отличается от одиночной группой воспалительных узлов, место расположения которых может сосредотачиваться в разных местах слизистой оболочки. Семейный полипоз толстой кишки, передающийся по генетическому коду, характеризуется наличием сотен/тысяч равномерно находящихся доброкачественных новообразований.
Аденоматозный полип толстой кишки — распространенная разновидность патологии, отличающаяся разрастанием красноватых узлов, размером около 3 см, имеет несколько типов:
- тубулярные;
- ворсинчатые (папиллярные);
- тубулярно-ворсинчатые.
Тубулярный аденоматозный вид — гладкие плотные полипы розового цвета, увеличивающиеся в размерах при прогрессировании заболевания. Ворсинчатый тип заболевания — красные новообразования множественного типа, имеющие ветвистую внешнюю форму большого размера (от 3 см), при несвоевременном лечении перерастают в злокачественную опухоль. Папиллярный тип заболевания по строению узла характеризуется прорыванием эпителия, что приводит к внутреннему кровотечению. Смешанная аденоматозная форма отличается образованием трубчатых и ворсинчатых плотных полипов.
Гамартомный вид заболевания наблюдается при патологии внутреннего кожного покрова толстой кишки. Метапластические полипы, располагающиеся над слизистой оболочкой, имеют мягкую внешнюю форму маленького размера. Зубчатая форма патологии толстой кишки отличается новообразованиями средней плотности красновато-розового цвета. Ювенильные полипы – аномальный тип заболевания, встречающийся редко у детей младшего и школьного возраста.
Гиперпластическая разновидность встречается вследствие деформации железистого эпителия толстой кишки. Полипы воспалительной этиологии образуются после перенесенных инфекционных, вирусных заболеваний при попадании патогенных бактерий, микробов. Неопластическая форма наблюдается при распространении атипичных клеток, которые могут перерасти в злокачественные новообразования.
Полипы в толстой кишке имеют разную внешнюю форму распространения внутреннего эпителия слизистой: шарообразную, ветвистую с широким основанием, грибовидную с характерной вытянутой ножкой.
Диагностирование
Симптомы образования полипов в толстом кишечнике совпадают с признаками заболеваний органов пищеварительной системы. Поэтому отсутствие выраженных проявлений на ранней стадии развития приводит к прогрессированию заболевания. Выявить форму, размер, внешний вид, зону распространения полипов внутри слизистой оболочки позволяют современные способы диагностики.
К основным методом исследования относят:
- лабораторная сдача крови, мочи для выявления воспалительного процесса;
- ирригоскопия;
- колоноскопия;
- ректороманоскопия;
- компьютерная томография органов малого таза.
Ирригоскопия – вид медицинского обследования толстого кишечника, особенностью которого является введение бариевой кислоты через анальное отверстие для обнаружения полипов, размером более 10 мм, после проведения рентгеноскопии. Колоноскопия предполагает ввод в задний проход зонда с оптической камерой для выявления внутренних повреждений, деформаций оболочки до 100 см. Дополнительные щипцы, прикрепленные к колоноскопу, позволяют осуществить забор эпителия внутри толстой кишки для гистологического анализа на наличие раковой опухоли.
Ректороманоскопия – метод диагностики, дающий возможность визуально рассмотреть нижнюю часть поверхности слизистой на глубине до 0,3 м. Внутренние и внешние повреждения толстого кишечника, множественные и диффузные полипы обнаруживаются после проведения комплексной компьютерной томографии малого таза.
Виды
Полипы кишечника могут быть:
- Аденоматозными. Учитывая высокую вероятность малигнизации, этот вид полипов нередко называют факультативным предраком.
- Ворсинчатыми. Полипы этого вида при разрастании способны образовать своеобразный ковер на стенках пораженной ими кишки. Вероятность их озлокачествления также составляет не менее 40%.
- Гиперпластическими. Отличающиеся небольшими размерами, они чаще всего локализуются на стенках прямой кишки.
- Гамартоматозными. Образуемые здоровыми тканями, полипы этого вида появляются либо благодаря необычным сочетаниям клеток, либо вследствие аномалий в развитии железистого эпителия.
- Представлены юношескими локальными выростами. Новообразования этого вида могут появиться у малышей возрастной категории 3-6 лет. Полипы в детском кишечнике, имеющие обыкновение самопроизвольно рассасываться, не озлокачествляются практически никогда, однако единичные случаи такого перерождения все же встречаются.
Полипы кишечника могут быть и одиночными, и множественными. Множественные полипы могут располагаться диффузно – вдоль всей кишки; нередко они объединяются в компактные группы.
Диагностика полипа
Высокий риск перерождения кишечных полипов в рак заставляет врачей принимать превентивные меры. К одной из таких мер относится анализ кала на скрытую кровь, так как при начальных стадиях заболевания выраженного кровотечения, как правило, не бывает.
Чувствительность метода очень высока, но, например, при зубном кровотечении результат будет ложноположительным.
Отсутствие крови в кале совсем не гарантирует того, что полипов в кишечнике нет.
В современной диагностике используют МРТ и КТ, для диагностики полипа сигмовидной или прямой кишки применяют ректороманоскопию, которая позволяет выполнить осмотр стенок кишечника.
Проктологи рекомендуют после 50 лет проходить процедуру гибкой ректороманоскопии 1 раз в 5 лет.
Иногда при выполнении диагностического обследования находят полипы терминальной части прямой кишки и анального канала, трещины, опухолевые новообразования, кисты.
Ирригоскопия — исследование толстой кишки при помощи введения контрастного вещества, которое позволяет диагностировать полипы диаметром до 1 см.
В современной проктологии метод используют редко, так как есть более безвредные способы. Самый информативный в диагностике новообразований кишечника способ — проведение колоноскопии. Во время процедуры возможно взятие биопсии для гистологии полипа кишечника.
Дифференциальный диагноз проводят:
• С раком кишечника (злокачественная опухоль большего, чем полип, размера и не имеет тонкой ножки).
• С липомой (опухоль из жировых клеток, доброкачественного характера), диагноз подтверждает гистологическое исследование.
• С ангиомой (сосудистая опухоль, буквально пронизана кровяной сетью, может вызвать массивное кровотечение из кишечника),
• С миомой (опухоль из мышечного слоя), не имеет ножки, в редких случаях разрастается настолько сильно, что приводит к кишечной непроходимости.
• С актиномикозом (поражение грибковыми агентами кишечника, встречается чаще в слепой кишке).
Болезнь Крона • С болезнью Крона (псевдомембранозный колит) может визуализироваться, как псевдополипоз толстого кишечника
Народные рецепты при полипах кишечника
Кардинально вылечить полипоз кишечника может лишь хирургия. Однако при подготовке к операции, во время восстановления пригодятся народные средства лечения. Противовоспалительная, антибактериальная, ранозаживляющая терапия снимет боль, отёки, стимулирует регенерацию.
Тимьян
Эффективным средством народной медицины для лечения кишечника является тимьян или чабрец. С мая по сентябрь по сухим склонам и полянам тимьян цветет мелкими розовыми цветками. Трава содержит тимол, борнеол, дубильные вещества, органические кислоты. Отвар готовят из 2 столовых ложек сухой травы и 300 мл кипящей воды. После часового настаивания и процеживания пьют по 2-3 столовых ложки трижды за день. Избавит от кишечных болей, кровотечения, даст отдых нервам.
Шалфей
Успокоит раздражённую слизистую, нормализует стул, остановит тошноту водный настой шалфея. Две чайных ложки измельчённой травы и листьев шалфея залить 200 мл горячей воды, но не кипятком. Потомить в эмалированной посуде на водяной бане 15 минут. Снять и дать настояться 30 минут. Теплый настой принимать по 100 мл 2-3 раза на дню.
Мать-и-мачеха
Мать-и-мачеха помогает не только от кашля. Применяют отвар растения при воспалительных поражениях пищеварительного тракта. Биологически активные компоненты запускают механизмы восстановления тканей. Отвар получают, залив 2 столовых ложки цветков и травы в термосе литром кипятка. Через час лекарство готово. Тёплый процеженный отвар пить по 100 мл четырежды за день.
Поможет ли народная медицина?
Многих людей интересует, поможет ли народная медицина от полипов в кишечнике? Стоит сразу отметить, что полипозные выросты относятся к серьезным новообразованиям, нередко осложняющимся колоректальным раком. Если вовремя не удалить аденоматозный полип или аденопапиллярные образования, в течение нескольких лет может наступить магнилизация тканей. Поэтому народные средства лечения стоит рассматривать только в качестве дополнения к хирургическим способам удаления новообразований кишечника. Даже если сейчас полип не имеет признаков озлокачествления, они могут появиться через несколько месяцев или лет.
Насчет эффективности народной медицины при полипозе до сих пор ведутся споры в научном мире. Многие врачи считают, что народные методы можно применять только с профилактической целью, а полипы нужно немедленно удалять, пока они не озлокачествились. Использовать или нет народные способы лечения — решать только вам.
Одним из известных способов борьбы с полипами является употребление специальной смеси на основе тыквенных семян, куриных желтков и растительного масла. Вам необходимо взять 12 десертных ложек семечек тыквы, размолоть их в муку, смешать с 7 вареными куриными желтками и 2 стаканами растительного масла. Полученный состав необходимо тщательно перемешать и продержать 15 минут на водяной бане. После этого можно начинать лечение. Средства принимают по утрам, до приема пищи, в течение недели. Разовая доза — 1 чайная ложка.
Полипы заднего прохода удаляют смесью из сухого порошка чистотела и борного вазелина. Тампоны с этим составом вставляют в задний проход несколько раз в день. Лечат полипы и отваром из шишек хмеля. Средство применяют в течение недели, а потом делают небольшой перерыв. При полипозе полезны пчелопродукты. Регулярно принимайте натуральный мед, цветочную пыльцу, маточное молочко. Все эти продукты обладают повышенной биологической активностью, способностью активизировать внутренние резервные запасы организма и настраивать его на выздоровление.
Как обнаружить кишечные полипы?
С целью выявления полипозных выростов на стенках кишечника специалисты применяют следующие методы исследования:
- колоноскопия;
- эзофагогастродуоденоскопия;
- эндоскопическая биопсия;
- компьютерная томография;
- магнитно-резонансная томография;
- ирригоскопия;
- ректороманоскопия;
- гистологическое исследование.
Для постановки точного диагноза, определения количества и места локализации новообразований требуется пройти не одно исследование, а сразу несколько. Если специалисты пока не назначают операцию и выбирают выжидательную тактику, проводятся регулярные эндоскопические осмотры просвета кишечника, в ходе которых можно оценивать состояние слизистой и качество проводимого лечения.
Симптоматика
В подавляющем большинстве ситуаций у полипов в толстой кишке симптомы полностью отсутствуют, на фоне чего они выявляются случайно при прохождении профилактического осмотра у гастроэнтеролога или во время инструментального обследования во время диагностирования совершенно другого заболевания.
На степень выраженности клинических проявлений оказывают влияние такие факторы, как численность и объемы описываемого новообразования. Таким образом, основные признаки болезни представлены:
- болевыми ощущениями, локализующимися в боковых отделах передней стенки брюшной полости. Болезненность склонна к усилению во время опорожнения кишечника. Зачастую боли бывают распирающими, ноющими или схваткообразными;
- нарушением акта дефекации, а именно чередованием запоров и диареи;
- головокружениями;
- бледностью кожных покровов;
- тошнотой, приводящей к рвотным позывам;
- изжогой и отрыжкой;
- неприятным запахом из ротовой полости;
- появлением вкраплений крови или слизи в испражнениях, что часто приводит к появлению зуда в зоне анального отверстия;
- незначительным возрастанием температурных показателей до 37-37.5 градусов.
Вышеуказанная симптоматика является неспецифичной, а это означает, что она характерна для множества иных патологий ЖКТ. Именно из-за этого при возникновении первых признаков необходимо как можно скорее обратиться за квалифицированной помощью.
Полипы толстой кишки
Потенциальные осложнения
Крупные неоплазии в некоторых случаях могут стать причиной частичного закрытия просвета толстой кишки и возникновения кишечной непроходимости, симптомами которой выступают:
- тошнота, вздутие живота, рвота;
- отсутствие дефекации;
- интенсивные болевые ощущения схваткообразного характера.
Для устранения этих последствий требуется экстренная госпитализация пациента и проведение неотложного хирургического вмешательства.
Одно из возможных осложнений – развитие колоректального рака
Еще одно возможное осложнение – малигнизация клеток новообразований с развитием колоректального рака, образованием гематогенных и лимфогенных метастазов.
Есть ли вероятность того, что полип переродится в рак
Какова вероятность перерождения полипа в рак? Какие полипы могут стать злокачественной опухолью? Эти вопросы наиболее часто слышат проктологи после проведенной диагностики. Раку кишечника на 75 % предшествует аденоматозный полип.
Если аденоматозный полип существует в кишечнике более 5 лет, вероятность перерождения в рак составляет 90 %. Наиболее опасный в плане малигнизации — ворсинчатый тип.
Еще отмечена зависимость между размерами полипа и вероятностью ракового перерождения, чем больше размер новообразования, тем активнее в нем атипичные процессы.
Представляем вашему вниманию макропрепарат (удаленный сегмент кишечника) вверху на макропрепарате – полип, внизу — злокачественная опухоль (рак). С каждым увеличением образования на 2 см риск возрастает на 20 %, именно поэтому даже самые маленькие полипы подлежат удалению. В идеальном варианте, чтобы не умереть от рака кишечника, необходимо проходить сигмоидоскопию при полипе сигмовидной кишки или колоноскопию, с подозрением на разрастания.
Если у пациента хотя бы раз удалили полип в кишечнике, то избирается тактика активного наблюдения, чтобы вовремя диагностировать и удалить вероятные полипы.
При подозрении на генетическую патологию, существует специальный тест, который с большой точностью выявляет синдром с наследственной предрасположенностью к раку кишечника. При получении положительного результата стоит как можно быстрее пройти инструментальную диагностику. Чем раньше станет известен диагноз, тем больше шансов на благоприятный исход.
Методы терапии
Лечение полипов в толстой кишке назначается врачом после получения результатов медицинского исследования. Единственным эффективным методом терапии является хирургическое вмешательство. Своевременное проведение операции препятствует перерастанию новообразований в раковые опухоли.
Полипы толстой кишки удаляются разными способами в зависимости от формы строения, внешнего вида, места локализации:
- эндоскопическая полипэктомия;
- лазерная электрокагуляция;
- радиоволновая хирургия.
Одиночные, множественные новообразования отсекаются во время проведения колоноскопии. Эндоскопическая полипэктомия проводится эластичным зондом с петлевым электродом, вставленным в задний проход и проведенным через толстый кишечник к месту распространения. Новообразования небольших размеров выжигаются диатермокоагулятором. Большие полипы удаляются постепенно методом пережимания и отсечения основания, а удаленные отдельные части при помощи эндоскопа отравляют на гистологический анализ. Время восстановления после колоноскопии – один день.
Лазерная, электрокоагуляция, радиоволновая хирургия воздействуют на полипы на клеточном уровне, не повреждая эпителий слизистой оболочки прямой кишки. Современные методы лечения позволяют не только удалить новообразования, но и предотвратить выделения крови. Преимущества данных видов оперативного вмешательства — отсутствие болевого синдрома, короткий период реабилитации.
Удаление полипов толстой кишки диффузного типа предполагает тотальное вырезание новообразований под общим наркозом с применением традиционных хирургических методов. После вмешательства назначаются спазмолитики и антибактериальные, противовоспалительные препараты. Резекция множественной, ворсинчатой формы требует регулярной проверки состояния здоровья на протяжении двух лет с плановым проведением колоноскопии через год после операции. Колотомия злокачественных новообразований толстой кишки предполагает ежемесячное медицинское обследование в течение года.
При обнаружении полипов незначительных размеров и склонности к аллергическим реакциям на медикаментозные препараты в ходе операций на ободочной кишке назначаются методы лечения, основанные на народных способах. Терапия направлена не на удаление новообразований, а на снятие беспокоящих симптоматических признаков.
Эффективными ингредиентами, применяемыми в народной медицине, являются:
- калина;
- чистотел;
- золотой ус;
- семена тыквы и яичны желтки;
- камфарное, облепиховое масло.
Из травяных сборов приготавливают отвар для внутреннего использования при воспалительном процессе или для применения клизм и теплых ванночек, компрессов.
После удаления полипов назначается диетическое питание для нормализации функционирования органов желудочно-кишечного тракта:
- исключение из рациона соли, бобовых культур, капусты, морепродуктов, ингредиентов животного происхождения, кофе;
- отказ от жирной, копченой, соленой еды, блюда с добавлением специй, соусов, маринадов;
- порционный прием пищи не менее 5 раз за сутки;
- употребление продуктов в вареном и пареном виде, предварительно протертых до пюреобразной консистенции.
Продолжительность диетотерапии после хирургического вмешательства – месяц. По истечении 4 недель назначается повторная колоноскопия для визуального рассмотрения слизистой оболочки прямой кишки.
Лечение полипов толстого кишечника
Практика показывает, что консервативные методики для избавления от полипов толстого кишечника бесполезны. Все новообразования, обнаруженные в ходе проведения диагностических процедур, в обязательном порядке подлежат удалению с последующим гистологическим и цитологическим исследованием.
Незамедлительное устранение даже самых небольших выростов является основной мерой для предотвращения развития злокачественных опухолей в нижних отделах пищеварительного тракта.
Для удаления полипов толстого кишечника применяется эндоскопическая методика лечения, которая малотравматична и не требует обезболивания. Пациенту вводят в задний проход эндоскоп практически аналогичный прибору для колоноскопии. Устройство оснащено особым электродом петлевого типа, с помощью которого вырост пережимается у основания и срезается.
Маленькие полипы толстой кишки вместе с окружающим участком слизистой просто прижигаются диатермокоагулятором.
После эндоскопической операции пациент уже на следующий день после ликвидации полипа может отправляться домой.
Если новообразование имеет значительные размеры, то его удаляют не целиком, а отдельными фрагментами.
При диффузном полипозе хирурги прибегают к полостной операции под общей анестезией, поскольку данная разновидность патологии требует резекции участка кишечника.
Биологический материал, полученный при операции, в обязательном порядке отправляется на гистологическое исследование с целью исключения или подтверждения малигнизации.
Важно: если полипоз поражает всю прямую кишку, а патологические разрастания вызывают кровотечения и сопровождаются развитием гнойного проктита, это является показанием к резекции.
Если пациенту проведено удаление крупных выростов (более 2 см в поперечнике), множественных новообразований (более 5 шт.), а также ворсинчатых аденом (одной или нескольких), то спустя год после операции обязательно требуется провести контрольную колоноскопию.
Вероятность рецидива ничтожно мала, но хирургическое лечение не способно устранить факторы, предрасполагающие к образованию полипов толстой кишки. Даже если новых выростов не обнаружено, то диагностическую процедуру повторяют раз в три года, поскольку такие пациенты автоматически включаются в группу риска.
Важно: любой полип толстой кишки следует рассматривать как предраковое заболевание.
Симптомы
Независимо от вида нароста, симптомы, сопровождающие больного, всегда одни и те же. Наиболее частым признаком наличия образования будет раздражение кожи в зоне анального отверстия агрессивной слизью, выходящей из полипов толстого кишечника. Часто сопровождается зудом и жжением. Сигналом к немедленному посещению врача будет кровь в каловых массах либо на нижнем белье больного.
В отдельных случаях на наличие полипов указывают нарушения пищеварительной системы. Большой опухолевидный нарост, мешающий естественному движению хумуса по каналу, вызывает запоры, метеоризмы.
Существенным признаком наличия болезни может являться большое выделение слизи из анального отверстия.
Иногда симптомы отсутствуют вовсе, что не позволяет своевременно обнаружить патологический процесс. Небольшой нарост не вызывает неприятных ощущений, человек не догадывается о его существовании. Выявить новообразование способен специалист при помощи исследования.
Диффузный полипоз
Диффузный полипоз — это наследственная патология, сопровождающаяся множественным поражением полипами всего толстого кишечника и прилегающих отделов пищеварительного тракта. Заболевание чаще всего встречается среди родственников больных такой же патологией. Полипоз приводит к развитию колоректального рака. Избежать развития заболевания практически невозможно, так как оно возникает в результате мутации в определенном гене, отвечающем за пролиферацию слизистой пищеварительного канала. Вследствие этого дефекта происходит быстрое разрастание эпителиальных тканей с формированием множественных полипов.
О наличии диффузного полипоза пациенты чаще всего узнают в подростковом возрасте, когда появляются боли в животе, кровавый понос и другие характерные признаки заболевания. Такие больные плохо набирают вес, часто выглядят истощенными. Из-за хронической кровопотери развивается анемия, кожа становится бледной. Обнаружить многочисленные полипы проктологу удается даже во время обычного ректального осмотра.
Магнилизация полипозных образований возникает у большинства пациентов. Лечение всегда оперативное, и чем раньше больные обращаются за помощью, тем ниже риск развития рака кишечника. На раннем этапе возможно проведение резекции прямой и сигмовидной кишки. При этом сфинктер удается сохранить. При широком распространении полипоза требуется применение анастомоза. В случае обнаружения рака проводится тотальная колэктомия с удалением сфинктера и созданием стомы в брюшной стенке.
Причины появления полипов толстой кишки
К числу наиболее вероятных причин формирования доброкачественных новообразований толстой кишки относятся:
- частые (хронические) запоры;
- дискинезия кишечника;
- особенности питания.
Очень важную роль в развитии патологических изменений также играет семейная (генетически обусловленная) предрасположенность.
Полипы в настоящее время диагностируются все чаще в связи с тем, что у значительной части населения изменился характер питания. Развитию выростов в кишечнике способствует потребление большого количества мяса и различных рафинированных продуктов, а также нехватка в рационе грубой растительной клетчатки.
Исследования подтвердили, что хронические и острые воспаления ускоряют старение эпителия, что провоцирует неравномерное разрастание ткани.
Заболевания, которые могут спровоцировать формирование полипов толстой кишки:
Обратите внимание: отмечено, что полипы чаще развиваются у лиц, страдающих гастритами с пониженной кислотностью желудка.



















